MAZ antibody (N-Term)
Quick Overview for MAZ antibody (N-Term) (ABIN6741567)
Target
See all MAZ AntibodiesReactivity
Host
Clonality
Conjugate
Application
-
-
Binding Specificity
- N-Term
-
Specificity
- Human MAZ
-
Predicted Reactivity
- Percent identity by BLAST analysis: Human, Mouse, Rat (100%).
-
Purification
- Immunoaffinity purified
-
Immunogen
-
Synthetic peptide from N-Terminus of human MAZ (P56270, NP_002374). Percent identity by BLAST analysis: Human, Chimpanzee, Mouse, Rat, Hamster (100%).
Type of Immunogen: Synthetic peptide -
Isotype
- IgG
-
-
-
-
Application Notes
-
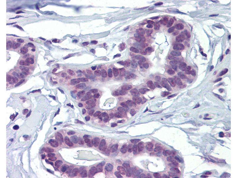
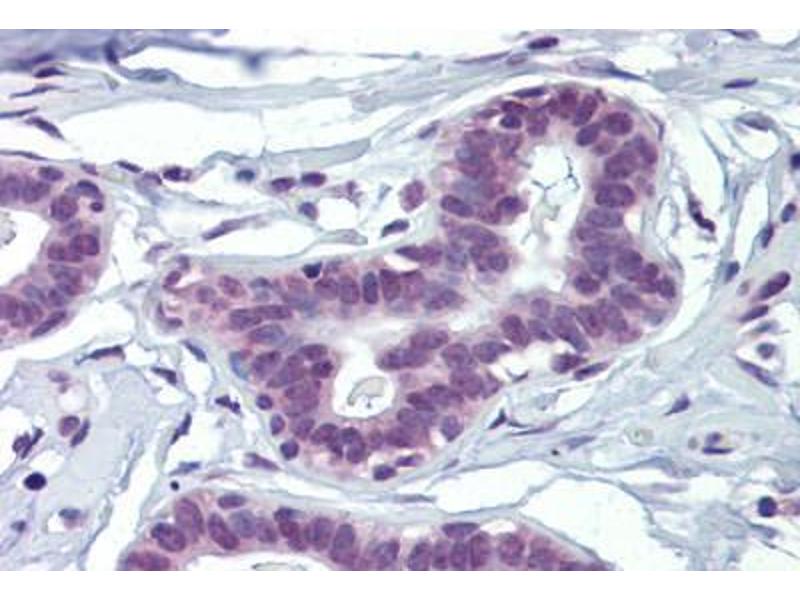
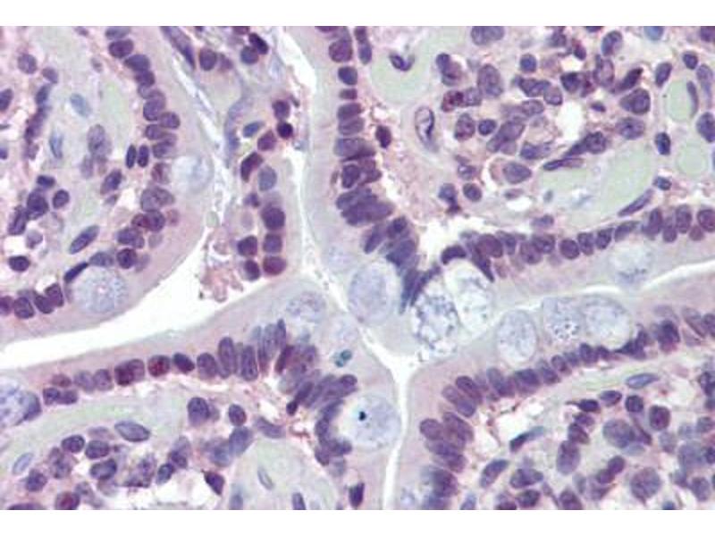
Approved: IHC, IHC-P (10 μg/mL), WB (0.2 - 1 μg/mL)
Usage: Immunohistochemistry: This antibody was validated for use in immunohistochemistry on a panel of 21 formalin-fixed, paraffin-embedded (FFPE) human tissues after heat induced antigen retrieval in pH 6.0 citrate buffer. After incubation with the primary antibody, slides were incubated with biotinylated secondary antibody, followed by alkaline phosphatase-streptavidin and chromogen. The stained slides were evaluated by a pathologist to confirm staining specificity. The optimal working concentration for this antibody was determined to be 10 μg/mL. Western Blot: Suggested dilution at 1 μg/mL in 5 % skim milk / PBS buffer, and HRP conjugated anti-Rabbit IgG should be diluted in 1:50000 - 100000 as second antibody. ELISA titer in peptide based assay: 1:312500. -
Comment
-
Target Species of Antibody: Human
-
Restrictions
- For Research Use only
-
-
-
Format
- Lyophilized
-
Reconstitution
- Distilled water
-
Concentration
- Lot specific
-
Buffer
- Lyophilized from PBS with 2 % sucrose
-
Handling Advice
- Avoid repeat freeze-thaw cycles.
-
Storage
- 4 °C,-20 °C
-
Storage Comment
-
Long term: -20°C, the use of 50% glycerol is recommended if storing aliquots in -20°C for long term use (up to 1 year)
Short term (less than 1 week): 4°C. Avoid freeze-thaw cycles.
-
-
- MAZ (MYC-Associated Zinc Finger Protein (Purine-Binding Transcription Factor) (MAZ))
-
Alternative Name
- MAZ
-
Background
-
Name/Gene ID: MAZ
Synonyms: MAZ, Pur-1, SAF-2, SAF-3, MAZI, ZF87, Zif87, ZNF801, Transcription factor Zif87, Zinc finger protein 801, PUR1, SAF-1 -
Gene ID
- 4150
-
NCBI Accession
- NP_002374
-
UniProt
- P56270
-
Pathways
- Chromatin Binding
Target
-