Phone:
+1 877 302 8632
Fax:
+1 888 205 9894 (Toll-free)
E-Mail:
orders@antibodies-online.com

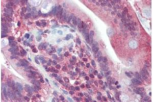
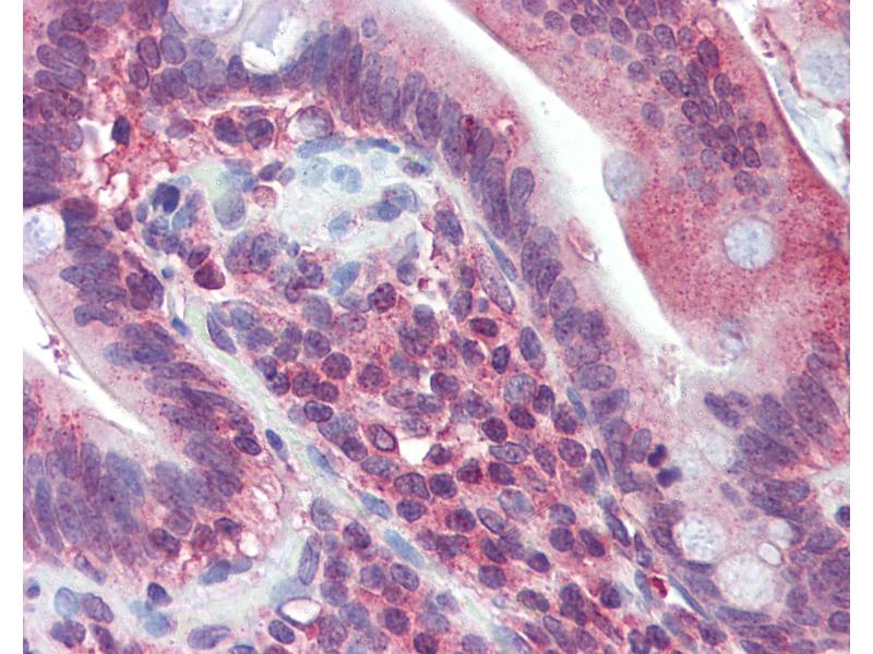
JAZF1 antibody (C-Term)

This Rabbit Polyclonal antibody specifically detects JAZF1 in WB, IHC and IHC (p). It exhibits reactivity toward Human, Mouse, Zebrafish (Danio rerio), Rat, Guinea Pig, Horse, Rabbit, Dog, Chicken, Cow, Monkey, Bat, Pig and Xenopus laevis.
Catalog No. ABIN6741585
$476.30
Plus shipping costs $50.00
100 μL
Shipping to: United States
Delivery in 11 to 15 Business Days

Quick Overview for JAZF1 antibody (C-Term) (ABIN6741585)

Target

See all JAZF1 Antibodies
JAZF1 (JAZF Zinc Finger 1 (JAZF1))

Reactivity

Human, Mouse, Zebrafish (Danio rerio), Rat, Guinea Pig, Horse, Rabbit, Dog, Chicken, Cow, Monkey, Bat, Pig, Xenopus laevis

Host

  • 20
  • 4
Rabbit

Clonality

  • 23
  • 1
Polyclonal

Conjugate

  • 17
  • 1
  • 1
  • 1
  • 1
  • 1
  • 1
  • 1
This JAZF1 antibody is un-conjugated

Application

  • 16
  • 3
  • 3
  • 2
  • 1
  • 1
  • 1
Western Blotting (WB), Immunohistochemistry (IHC), Immunohistochemistry (Paraffin-embedded Sections) (IHC (p))
  • Binding Specificity

    • 4
    • 4
    • 2
    • 1
    • 1
    • 1
    • 1
    • 1
    C-Term

    Specificity

    Human JAZF1

    Predicted Reactivity

    Percent identity by BLAST analysis: Human, Mouse, Rat, Dog, Bovine, Rabbit, Horse, Pig, Guinea pig, Chicken, Zebrafish (100%).

    Purification

    Immunoaffinity purified

    Immunogen

    Synthetic peptide from C-Terminus of human JAZF1 (Q86VZ6, NP_778231). Percent identity by BLAST analysis: Human, Chimpanzee, Gorilla, Orangutan, Gibbon, Monkey, Galago, Marmoset, Mouse, Rat, Elephant, Dog, Bovine, Bat, Rabbit, Horse, Pig, Opossum, Guinea pig, Turkey, Zebra finch, Chicken, Platypus, Xenopus, Pufferfish, Zebrafish (100%).

    Type of Immunogen: Synthetic peptide

    Isotype

    IgG
  • Application Notes

    Approved: IHC, IHC-P (5 - 7.5 μg/mL), WB (0.2 - 1 μg/mL)

    Usage: Immunohistochemistry: This antibody was validated for use in immunohistochemistry on a panel of 21 formalin-fixed, paraffin-embedded (FFPE) human tissues after heat induced antigen retrieval in  pH 6.0 citrate buffer. After incubation with the primary antibody, slides were incubated with biotinylated secondary antibody, followed by alkaline phosphatase-streptavidin and chromogen. The stained slides were evaluated by a pathologist to confirm staining specificity. The optimal working concentration for this antibody was determined to be 10 μg/mL. ELISA titer using peptide based assay: 1:312500. Western Blot: Suggested dilution at 1 μg/mL in 5 % skim milk / PBS buffer, and HRP conjugated anti-Rabbit IgG should be diluted in 1:50000 - 100000 as second antibody.

    Comment

    Target Species of Antibody: Human

    Restrictions

    For Research Use only
  • Format

    Lyophilized

    Reconstitution

    Distilled Water.

    Concentration

    Lot specific

    Buffer

    Lyophilized from PBS with 2 % sucrose

    Handling Advice

    Avoid repeat freeze-thaw cycles.

    Storage

    4 °C,-20 °C

    Storage Comment

    Long term: -20°C, the use of 50% glycerol is recommended if storing aliquots in -20°C for long term use (up to 1 year)
    Short term (less than 1 week): 4°C. Avoid freeze-thaw cycles.
  • Target

    JAZF1 (JAZF Zinc Finger 1 (JAZF1))

    Alternative Name

    JAZF1

    Background

    Name/Gene ID: JAZF1

    Synonyms: JAZF1, ZNF802, TIP27, Zinc finger protein 802, JAZF zinc finger 1, TAK1-interacting protein 27

    Gene ID

    221895

    NCBI Accession

    NP_778231

    UniProt

    Q86VZ6
You are here:
Chat with us!