Phone:
+1 877 302 8632
Fax:
+1 888 205 9894 (Toll-free)
E-Mail:
orders@antibodies-online.com

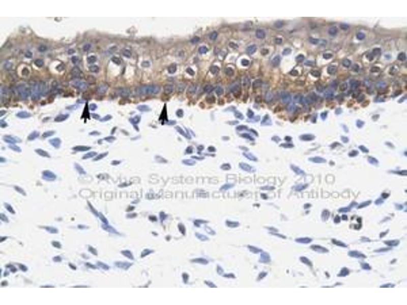
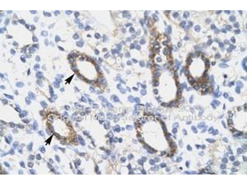
SOX10 antibody (AA 191-240)

There are 2+ publications for this product available. The Rabbit Polyclonal anti-SOX10 antibody is suitable to detect SOX10 in samples from Human and Rat. It has been validated for WB, IHC and IHC (p).
Catalog No. ABIN6746058
$690.07
Plus shipping costs $50.00
100 μL
Shipping to: United States
Delivery in 11 to 15 Business Days

Quick Overview for SOX10 antibody (AA 191-240) (ABIN6746058)

Target

See all SOX10 Antibodies
SOX10 (SRY (Sex Determining Region Y)-Box 10 (SOX10))

Reactivity

  • 131
  • 81
  • 45
  • 8
  • 6
  • 2
  • 1
  • 1
  • 1
  • 1
Human, Rat

Host

  • 105
  • 50
  • 2
Rabbit

Clonality

  • 99
  • 58
Polyclonal

Conjugate

  • 65
  • 14
  • 7
  • 5
  • 4
  • 4
  • 4
  • 4
  • 4
  • 4
  • 4
  • 3
  • 3
  • 3
  • 3
  • 3
  • 3
  • 3
  • 2
  • 2
  • 2
  • 1
  • 1
  • 1
  • 1
  • 1
  • 1
  • 1
  • 1
  • 1
  • 1
  • 1
This SOX10 antibody is un-conjugated

Application

  • 117
  • 65
  • 48
  • 41
  • 41
  • 22
  • 15
  • 15
  • 15
  • 13
  • 12
  • 11
  • 4
  • 3
  • 2
  • 2
  • 1
Western Blotting (WB), Immunohistochemistry (IHC), Immunohistochemistry (Paraffin-embedded Sections) (IHC (p))
  • Binding Specificity

    • 56
    • 16
    • 8
    • 8
    • 4
    • 4
    • 4
    • 4
    • 3
    • 2
    • 2
    • 2
    • 2
    • 2
    • 1
    • 1
    • 1
    • 1
    • 1
    • 1
    • 1
    • 1
    • 1
    AA 191-240

    Specificity

    Human SOX10

    Predicted Reactivity

    Percent identity by BLAST analysis: Human (100%) Mouse, Dog, Bovine, Rabbit, Horse, Pig, Guinea pig (92%) Rat (85%).

    Purification

    Immunoaffinity purified

    Immunogen

    Synthetic peptide located between aa191-240 of human SOX10 (P56693, NP_008872). Percent identity by BLAST analysis: Human, Chimpanzee, Gibbon, Monkey (100%), Galago, Marmoset, Mouse, Hamster, Dog, Bovine, Bat, Rabbit, Horse, Pig, Guinea pig (92%), Rat, Elephant (85%), Opossum, Zebra finch (84%).

    Type of Immunogen: Synthetic peptide
  • Application Notes

    Approved: IHC, IHC-P, WB (0.25 μg/mL)

    Usage: Western Blot: Suggested dilution at 1 μg/mL in 5 % skim milk / PBS buffer, and HRP conjugated anti-Rabbit IgG should be diluted in 1: 50,000 - 100,000 as secondary antibody.

    Comment

    Target Species of Antibody: Human

    Restrictions

    For Research Use only
  • Format

    Lyophilized

    Reconstitution

    Distilled water

    Concentration

    Lot specific

    Buffer

    Lyophilized from PBS with 2 % sucrose

    Handling Advice

    Avoid repeat freeze-thaw cycles.

    Storage

    4 °C,-20 °C

    Storage Comment

    Long term: -20°C, the use of 50% glycerol is recommended if storing aliquots in -20°C for long term use (up to 1 year)
    Short term (less than 1 week): 4°C. Avoid freeze-thaw cycles.
  • Suhr, Senut, Whitelegge, Faull, Cuizon, Gage: "Identities of sequestered proteins in aggregates from cells with induced polyglutamine expression." in: The Journal of cell biology, Vol. 153, Issue 2, pp. 283-94, (2001) (PubMed).

    Hunt, Morimoto: "Conserved features of eukaryotic hsp70 genes revealed by comparison with the nucleotide sequence of human hsp70." in: Proceedings of the National Academy of Sciences of the United States of America, Vol. 82, Issue 19, pp. 6455-9, (1985) (PubMed).

  • Target

    SOX10 (SRY (Sex Determining Region Y)-Box 10 (SOX10))

    Alternative Name

    SOX10

    Background

    Name/Gene ID: SOX10
    Family: Transcription factor

    Synonyms: SOX10, DOM, Transcription factor SOX-10, WS4, PCWH, WS2E, SRY-related HMG-box gene 10, WS4C

    Gene ID

    6663

    NCBI Accession

    NP_008872

    UniProt

    P56693

    Pathways

    Chromatin Binding
You are here:
Chat with us!