ETFA antibody (AA 218-267)
Quick Overview for ETFA antibody (AA 218-267) (ABIN6756648)
Target
See all ETFA AntibodiesReactivity
Host
Clonality
Conjugate
Application
-
-
Binding Specificity
- AA 218-267
-
Specificity
- Human ETFA
-
Purification
- Immunoaffinity purified
-
Immunogen
-
Synthetic peptide located between aa218-267 of human ETFA (P13804, NP_000117). Percent identity by BLAST analysis: Human, Chimpanzee, Orangutan, Gibbon, Monkey, Marmoset, Mouse, Rat, Elephant, Dog, Bovine, Bat, Rabbit, Horse, Pig, Guinea pig, Turkey, Zebra finch, Chicken, Xenopus (100%), Galago (93%), Opossum, Platypus, Trout, Catfish, Salmon, Smelt, Sablefish, Stickleback, Pufferfish, Zebrafish, Drosophila, Nematode, Beetle (92%), Slime mold, Rice (85%).
Type of Immunogen: Synthetic peptide -
Isotype
- IgG
-
-
-
-
Application Notes
-
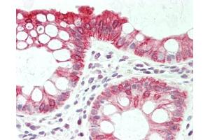
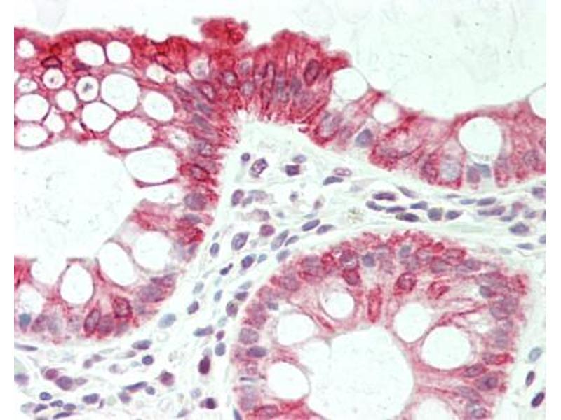
Approved: IHC, IHC-P (15 μg/mL), WB (0.2 - 1 μg/mL)
Usage: ELISA titer using peptide based assay: 1:62500. Western Blot: Suggested dilution at 1 μg/mL in 5 % skim milk / PBS buffer, and HRP conjugated anti-Rabbit IgG should be diluted in 1:50000 - 100000 as second antibody. -
Comment
-
Target Species of Antibody: Human
-
Restrictions
- For Research Use only
-
-
-
Format
- Lyophilized
-
Reconstitution
- Distilled Water.
-
Concentration
- Lot specific
-
Buffer
- Lyophilized from PBS with 2 % sucrose
-
Handling Advice
- Avoid repeat freeze-thaw cycles.
-
Storage
- 4 °C,-20 °C
-
Storage Comment
-
Long term: -20°C, the use of 50% glycerol is recommended if storing aliquots in -20°C for long term use (up to 1 year)
Short term (less than 1 week): 4°C. Avoid freeze-thaw cycles.
-
-
- ETFA (Electron-Transfer-Flavoprotein, alpha Polypeptide (ETFA))
-
Alternative Name
- ETFA
-
Background
-
Name/Gene ID: ETFA
Synonyms: ETFA, Alpha-ETF, GA2, EMA, Glutaric aciduria II -
Gene ID
- 2108
-
NCBI Accession
- NP_000117
-
Pathways
- SARS-CoV-2 Protein Interactome
Target
-