Phone:
+1 877 302 8632
Fax:
+1 888 205 9894 (Toll-free)
E-Mail:
orders@antibodies-online.com

Recombinant IGHM antibody

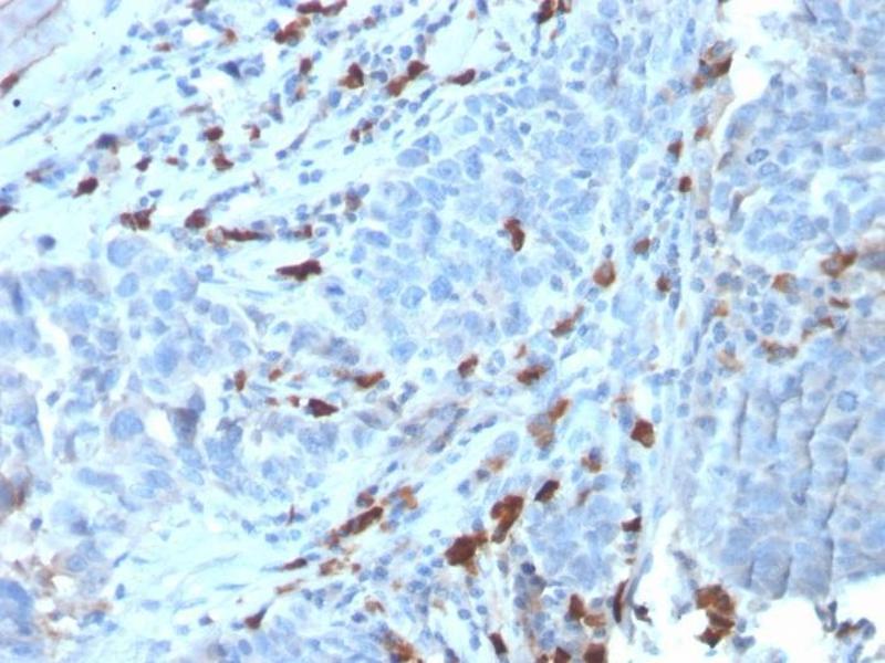
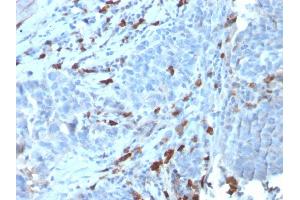
The Rabbit Monoclonal anti-IGHM antibody (Clone IGHM-3135R) (ABIN6939736) specifically detects IGHM in IHC and StM. The antibody is reactive with Human samples.
Catalog No. ABIN6939736
$640.46
Plus shipping costs $50.00
Shipping to: United States
Delivery in 2 to 5 Business Days

Quick Overview for Recombinant IGHM antibody (ABIN6939736)

Target

IGHM (Immunoglobulin Heavy Constant mu (IGHM))

Antibody Type

Recombinant Antibody

Reactivity

  • 25
  • 1
  • 1
Human

Host

  • 14
  • 11
Rabbit

Clonality

  • 16
  • 9
Monoclonal

Conjugate

  • 21
  • 1
  • 1
  • 1
  • 1
This IGHM antibody is un-conjugated

Application

  • 12
  • 12
  • 11
  • 8
  • 7
  • 6
  • 6
  • 4
  • 2
  • 1
  • 1
Immunohistochemistry (IHC), Staining Methods (StM)

Clone

IGHM-3135R
  • Specificity

    Recognizes a protein of 75 kDa, identified as mu heavy chain of human immunoglobulins. It does not cross-react with alpha (IgA), gamma (IgG), epsilon (IgE), or delta (IgD), heavy chains, T-cells, monocytes, granulocytes, or erythrocytes. Monomeric IgM is expressed as a membrane bound antibody on the surface of B cells and as a pentamer when secreted by plasma cells. IgM antibody is prominent in early immune responses to most antigens. Aberrant levels are associated with immune deficiency states, hereditary deficiencies, myeloma, Waldenstrom's macroglobulinemia, chronic infection and hepatocellular disease. This MAb is useful in the identification of leukemias, plasmacytomas, and certain non-Hodgkin's lymphomas. The most common feature of these malignancies is the restricted expression of a single heavy chain class. Demonstration of clonality in lymphoid infiltrates indicates that the infiltrate is clonal and therefore malignant.

    Purification

    Purified by Protein A/G

    Immunogen

    Recombinant full-length human IGHM protein

    Isotype

    IgG
  • Application Notes

    Positive Control: 293T, Raji or hPBL cells. Tonsil or Spleen.

    Known Application: Immunohistochemistry (Formalin-fixed) (0.5-1 μg/mL for 30 minutes at RT)(Staining of formalin-fixed tissues requires boiling tissue sections in 10 mM citrate buffer, pH 6.0, for 10-20 min followed by cooling at RT for 20 minutes)Optimal dilution for a specific application should be determined.

    Restrictions

    For Research Use only
  • Concentration

    200 μg/mL

    Buffer

    10 mM PBS with 0.05 % BSA & 0.05 % azide.

    Preservative

    Sodium azide

    Precaution of Use

    This product contains Sodium azide: a POISONOUS AND HAZARDOUS SUBSTANCE which should be handled by trained staff only.

    Storage

    4 °C,-80 °C

    Storage Comment

    Antibody with azide - store at 2 to 8°C. Antibody without azide - store at -20 to -80°C. Antibody is stable for 24 months. Non-hazardous. No MSDS required.

    Expiry Date

    24 months
  • Target

    IGHM (Immunoglobulin Heavy Constant mu (IGHM))

    Alternative Name

    IGHM

    Molecular Weight

    50-75kDa

    Gene ID

    3507

    UniProt

    P01871, P20769
You are here:
Chat with us!