Phone:
+1 877 302 8632
Fax:
+1 888 205 9894 (Toll-free)
E-Mail:
orders@antibodies-online.com

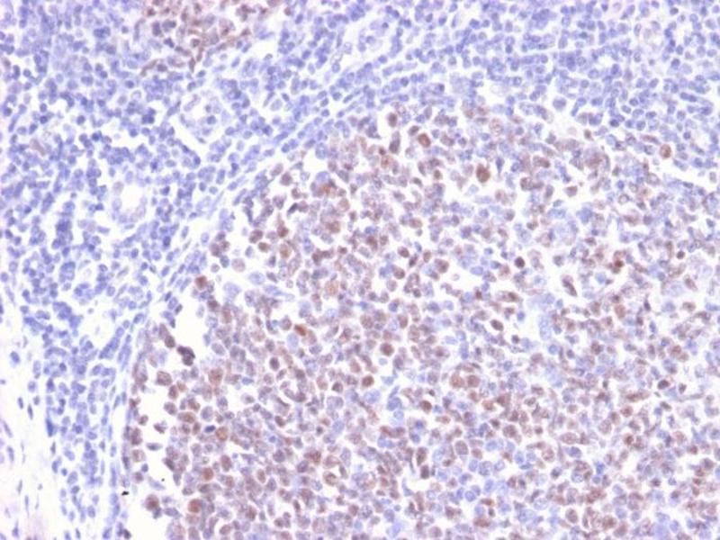
Recombinant BCL6 antibody (AA 256-389)

The Rabbit Monoclonal anti-BCL6 antibody (Clone BCL6-2497R) (ABIN6940532) specifically detects BCL6 in IHC and StM. The antibody is reactive with Human samples.
Catalog No. ABIN6940532
$640.46
Plus shipping costs $50.00
Shipping to: United States
Delivery in 2 to 5 Business Days

Quick Overview for Recombinant BCL6 antibody (AA 256-389) (ABIN6940532)

Target

See all BCL6 Antibodies
BCL6 (B-Cell CLL/lymphoma 6 (BCL6))

Antibody Type

Recombinant Antibody

Reactivity

  • 169
  • 58
  • 26
  • 9
  • 3
  • 2
  • 1
  • 1
  • 1
  • 1
  • 1
Human

Host

  • 104
  • 65
  • 1
Rabbit

Clonality

  • 107
  • 63
Monoclonal

Conjugate

  • 83
  • 14
  • 7
  • 6
  • 6
  • 6
  • 6
  • 6
  • 6
  • 4
  • 4
  • 4
  • 4
  • 4
  • 4
  • 4
  • 1
  • 1
This BCL6 antibody is un-conjugated

Application

  • 82
  • 81
  • 39
  • 39
  • 36
  • 32
  • 27
  • 17
  • 11
  • 11
  • 4
  • 2
  • 2
  • 2
  • 1
  • 1
  • 1
  • 1
Immunohistochemistry (IHC), Staining Methods (StM)

Clone

BCL6-2497R
  • Binding Specificity

    • 60
    • 12
    • 11
    • 7
    • 4
    • 4
    • 3
    • 3
    • 3
    • 3
    • 2
    • 2
    • 1
    • 1
    • 1
    • 1
    • 1
    • 1
    • 1
    • 1
    • 1
    • 1
    • 1
    • 1
    • 1
    • 1
    • 1
    • 1
    • 1
    • 1
    • 1
    • 1
    • 1
    AA 256-389

    Specificity

    Recognizes a protein of 95 kDa, which is identified as Bcl-6. Antibody to bcl-6 is helpful in a number of diagnostic settings: (1) In the differential diagnosis of small B-cell lymphoma. Follicular lymphoma will show bcl-6 (and CD10) positivity whereas other small B-cell lymphomas are usually negative. (2) Bcl-6 is an important prognostic marker in diffuse large B-cell lymphomas (DLBCL), where CD10, bcl-6 and MUM1/IRF4 are used to identify germinal center and activated B-cell phenotypes. (3) Bcl-6 can be valuable in distinguishing classical Hodgkin lymphoma from nodular lymphocyte predominant Hodgkin lymphoma (NLPHL). The Reed-Sternberg cells of classical Hodgkin lymphoma are bcl-6 negative whereas the large ('LH') cells of NLPHL are bcl-6 positive. In contrast, anti-Bcl-6 rarely stains mantle-cell lymphoma and MALT lymphoma.

    Purification

    Purified by Protein A/G

    Immunogen

    Recombinant human bcl-6 protein fragment (aa256-389) (exact sequence is proprietary)

    Isotype

    IgG
  • Application Notes

    Positive Control: Raji or Ramos cells. Tonsil or Hodgkin's lymphoma.

    Known Application: Immunohistochemistry (Formalin-fixed) (1-2 μg/mL for 30 minutes at RT)(Staining of formalin-fixed tissues requires boiling tissue sections in 10 mM Tris with 1 mM EDTA, pH 9.0, for 10-20 min followed by cooling at RT for 20 minutes)Optimal dilution for a specific application should be determined.

    Restrictions

    For Research Use only
  • Concentration

    200 μg/mL

    Buffer

    10 mM PBS with 0.05 % BSA & 0.05 % azide.

    Preservative

    Sodium azide

    Precaution of Use

    This product contains Sodium azide: a POISONOUS AND HAZARDOUS SUBSTANCE which should be handled by trained staff only.

    Storage

    4 °C,-80 °C

    Storage Comment

    Antibody with azide - store at 2 to 8°C. Antibody without azide - store at -20 to -80°C. Antibody is stable for 24 months. Non-hazardous. No MSDS required.

    Expiry Date

    24 months
  • Target

    BCL6 (B-Cell CLL/lymphoma 6 (BCL6))

    Alternative Name

    BCL6

    Molecular Weight

    95kDa

    Gene ID

    604

    UniProt

    P41182

    Pathways

    Chromatin Binding, Regulation of Leukocyte Mediated Immunity, Production of Molecular Mediator of Immune Response, Protein targeting to Nucleus
You are here:
Chat with us!