Phone:
+1 877 302 8632
Fax:
+1 888 205 9894 (Toll-free)
E-Mail:
orders@antibodies-online.com

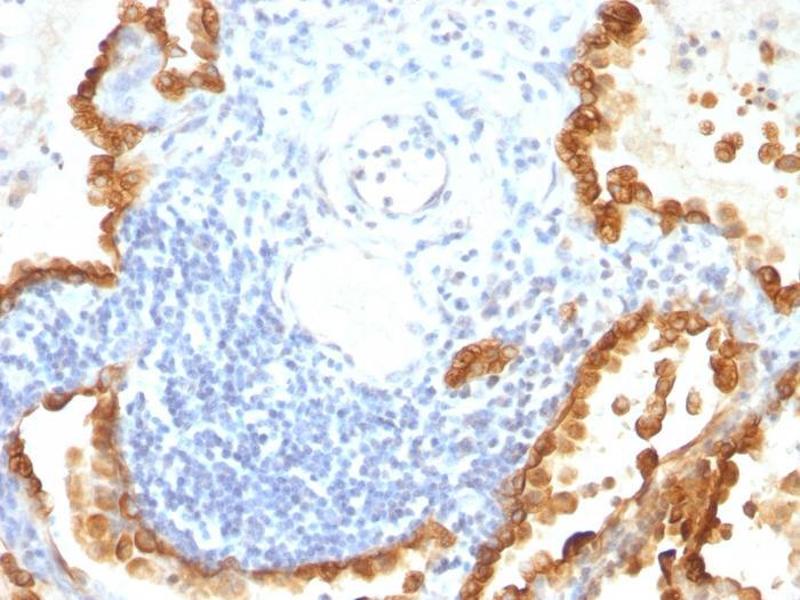
KRT8, KRT18 antibody

The Mouse Monoclonal anti-KRT8, KRT18 antibody is suitable to detect KRT8, KRT18 in samples from Human. It has been validated for IHC and StM.
Catalog No. ABIN6941351
$640.46
Plus shipping costs $50.00
Shipping to: United States
Delivery in 2 to 5 Business Days

Quick Overview for KRT8, KRT18 antibody (ABIN6941351)

Target

KRT8, KRT18

Reactivity

  • 6
  • 1
  • 1
  • 1
  • 1
Human

Host

  • 4
  • 2
Mouse

Clonality

  • 6
Monoclonal

Conjugate

  • 6
Un-conjugated

Application

  • 4
  • 3
  • 3
  • 3
  • 2
  • 2
Immunohistochemistry (IHC), Staining Methods (StM)

Clone

KRT8-803-KRT18-835
  • Specificity

    Cytokeratin 8 (CK8) belongs to the type II (or B or basic) subfamily of high molecular weight cytokeratins and exists in combination with cytokeratin 18 (CK18). This MAb cocktail recognizes all simple epithelia including glandular epithelium, for example thyroid, female breast, gastrointestinal tract, respiratory tract, and urogenital tract including transitional epithelium. All adenocarcinomas and most squamous carcinomas are positive but keratinizing squamous carcinomas are usually negative. This antibody is useful in demonstrating the presence of Paget cells, there is very little keratin 18 in the normal epidermis so only Paget cells are stained.Immuno-histochemical staining with this MAb is indistinguishable from that obtained with monoclonal antibody 5D3.

    Purification

    Purified by Protein A/G

    Immunogen

    Recombinant full-length human KRT8 protein (KRT8/803), Recombinant full-length human KRT18 protein (KRT18/835)

    Isotype

    IgG1 kappa
  • Application Notes

    Positive Control: MCF-7 or A431 cells. Skin, colon, lung or breast carcinoma.

    Known Application: Immunohistochemistry (Formalin-fixed) (0.1-0.2 μg/mL for 30 min at RT)(Staining of formalin-fixed tissues requires boiling tissue sections in 10 mM citrate buffer, pH 6.0, for 10-20 min followed by cooling at RT for 20 minutes)Optimal dilution for a specific application should be determined.

    Restrictions

    For Research Use only
  • Concentration

    200 μg/mL

    Buffer

    10 mM PBS with 0.05 % BSA & 0.05 % azide.

    Preservative

    Sodium azide

    Precaution of Use

    This product contains Sodium azide: a POISONOUS AND HAZARDOUS SUBSTANCE which should be handled by trained staff only.

    Storage

    4 °C,-80 °C

    Storage Comment

    Antibody with azide - store at 2 to 8°C. Antibody without azide - store at -20 to -80°C. Antibody is stable for 24 months. Non-hazardous. No MSDS required.

    Expiry Date

    24 months
  • Target

    KRT8, KRT18

    Alternative Name

    KRT8 & KRT18

    Molecular Weight

    52.5kDa (CK8), 45kDa (CK18)

    Gene ID

    3856, 3875

    UniProt

    P05787, P05783
You are here:
Chat with us!