Phone:
+1 877 302 8632
Fax:
+1 888 205 9894 (Toll-free)
E-Mail:
orders@antibodies-online.com

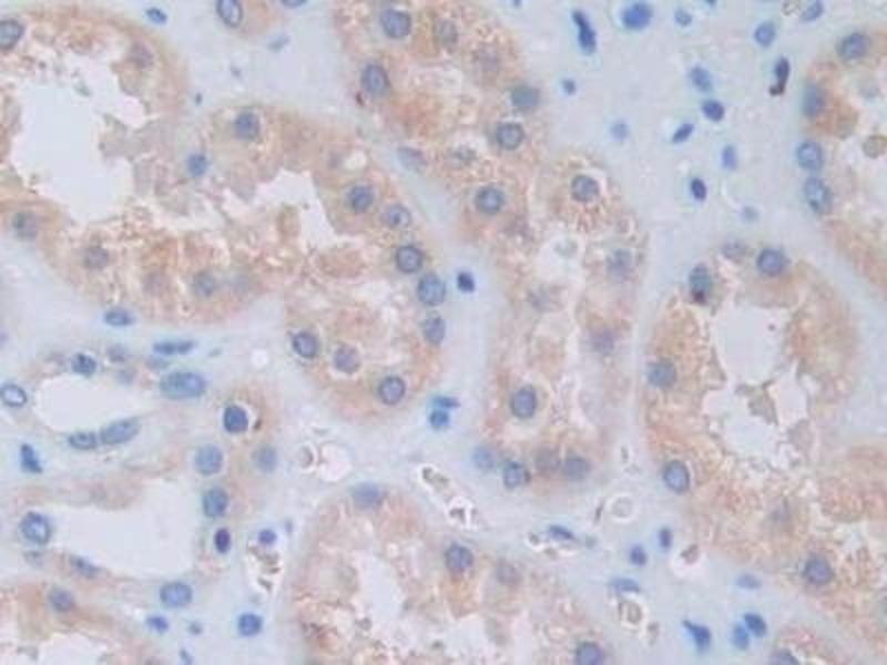
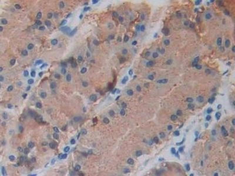
GHRH antibody (AA 19-108)

The Mouse Monoclonal anti-GHRH antibody is suitable to detect GHRH in samples from Human. It has been validated for WB, IHC, IP and ICC.
Catalog No. ABIN7425857
$316.13
Plus shipping costs $50.00
Shipping to: United States
Delivery in 13 to 17 Business Days

Quick Overview for GHRH antibody (AA 19-108) (ABIN7425857)

Target

See all GHRH Antibodies
GHRH (Growth Hormone Releasing Hormone (GHRH))

Reactivity

  • 31
  • 31
  • 28
  • 4
  • 1
  • 1
Human

Host

  • 59
  • 3
Mouse

Clonality

  • 60
  • 1
Monoclonal

Conjugate

  • 29
  • 11
  • 3
  • 2
  • 1
  • 1
  • 1
  • 1
  • 1
  • 1
  • 1
  • 1
  • 1
  • 1
  • 1
  • 1
  • 1
  • 1
  • 1
  • 1
  • 1
This GHRH antibody is un-conjugated

Application

  • 42
  • 17
  • 13
  • 13
  • 12
  • 6
  • 6
  • 5
  • 5
  • 4
  • 3
  • 3
  • 3
  • 1
  • 1
  • 1
  • 1
  • 1
Western Blotting (WB), Immunohistochemistry (IHC), Immunoprecipitation (IP), Immunocytochemistry (ICC)

Clone

C2
  • Binding Specificity

    • 15
    • 5
    • 4
    • 4
    • 4
    • 3
    • 2
    • 2
    • 1
    • 1
    • 1
    • 1
    • 1
    • 1
    AA 19-108

    Purpose

    Monoclonal Antibody to Growth Hormone Releasing Hormone (GHRH)

    Specificity

    The antibody is a mouse monoclonal antibody raised against GHRH. It has been selected for its ability to recognize GHRH in immunohistochemical staining and western blotting.

    Purification

    Protein A + Protein G affinity chromatography

    Immunogen

    Recombinant Growth Hormone Releasing Hormone (GHRH) corresdonding to Cys19~Gly108 (Accession # P01286) with N-terminal His and GST Tag

    Isotype

    IgG2a kappa
  • Application Notes

    Western blotting: 0.5-5 μg/mL,Immunohistochemistry: 5-50 μg/mL,Immunocytochemistry: 5-50 μg/mL,Optimal working dilutions must be determined by end user.

    Comment

    The thermal stability is described by the loss rate. The loss rate was determined by accelerated thermal degradation test, that is, incubate the protein at 37°C for 48h, and no obvious degradation and precipitation were observed. The loss rate is less than 5% within the expiration date under appropriate storage condition.

    Restrictions

    For Research Use only
  • Format

    Liquid

    Concentration

    1 mg/mL

    Buffer

    PBS, pH 7.4, containing 0.02 % Sodium azide, 50 % glycerol.

    Preservative

    Sodium azide

    Precaution of Use

    This product contains Sodium azide: a POISONOUS AND HAZARDOUS SUBSTANCE which should be handled by trained staff only.

    Storage

    4 °C,-20 °C

    Storage Comment

    Store at 4°C for frequent use. Stored at -20°C in a manual defrost freezer for two year without detectable loss of activity. Avoid repeated freeze-thaw cycles.

    Expiry Date

    24 months
  • Target

    GHRH (Growth Hormone Releasing Hormone (GHRH))

    Alternative Name

    GHRH

    Background

    GRF, GHRF, Somatocrinin, Growth-Hormone-Releasing Factor, Sermorelin, Somatoliberin

    UniProt

    P01286

    Pathways

    Hormone Transport, Hormone Activity, cAMP Metabolic Process
You are here:
Chat with us!