Phone:
+1 877 302 8632
Fax:
+1 888 205 9894 (Toll-free)
E-Mail:
orders@antibodies-online.com

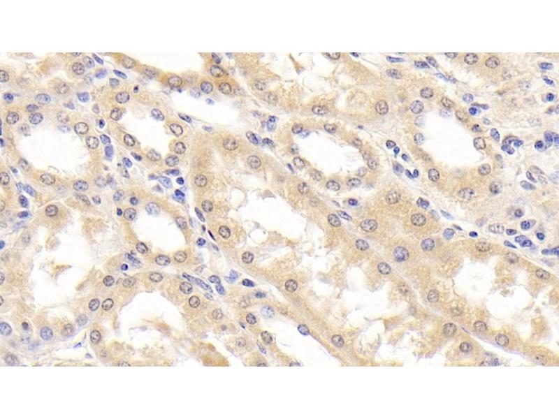
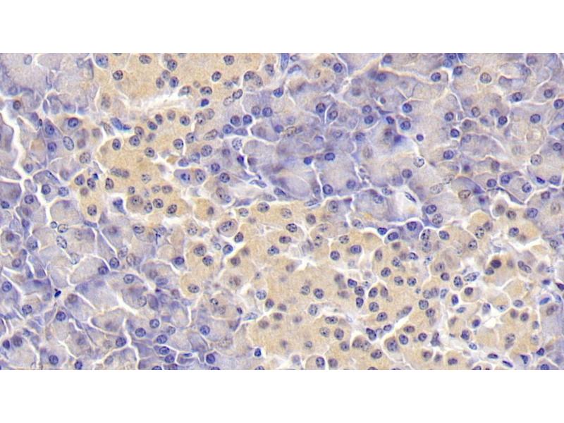
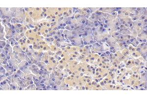
RBP4 antibody (AA 18-201)

The Mouse Monoclonal anti-RBP4 antibody is suitable to detect RBP4 in samples from Human. It has been validated for WB, IHC, ICC and IP.
Catalog No. ABIN7428578
$374.22
Plus shipping costs $50.00
Shipping to: United States
Delivery in 13 to 17 Business Days

Quick Overview for RBP4 antibody (AA 18-201) (ABIN7428578)

Target

See all RBP4 Antibodies
RBP4 (Retinol Binding Protein 4, Plasma (RBP4))

Reactivity

  • 147
  • 40
  • 28
  • 14
  • 12
  • 10
  • 9
  • 8
  • 8
  • 6
  • 3
  • 2
  • 2
  • 2
  • 1
  • 1
  • 1
Human

Host

  • 140
  • 59
  • 8
  • 3
  • 1
  • 1
Mouse

Clonality

  • 137
  • 75
Monoclonal

Conjugate

  • 122
  • 28
  • 16
  • 6
  • 5
  • 5
  • 4
  • 4
  • 4
  • 4
  • 4
  • 4
  • 4
  • 1
  • 1
This RBP4 antibody is un-conjugated

Application

  • 115
  • 105
  • 55
  • 48
  • 33
  • 32
  • 18
  • 11
  • 10
  • 7
  • 5
  • 2
  • 2
  • 2
  • 1
  • 1
  • 1
  • 1
  • 1
  • 1
  • 1
  • 1
Western Blotting (WB), Immunohistochemistry (IHC), Immunocytochemistry (ICC), Immunoprecipitation (IP)

Clone

C9
  • Binding Specificity

    • 26
    • 20
    • 7
    • 6
    • 6
    • 5
    • 4
    • 4
    • 4
    • 3
    • 3
    • 3
    • 2
    • 1
    • 1
    • 1
    • 1
    • 1
    • 1
    • 1
    • 1
    • 1
    • 1
    • 1
    AA 18-201

    Purpose

    Monoclonal Antibody to Retinol Binding Protein 4 (RBP4)

    Specificity

    The antibody is a mouse monoclonal antibody raised against RBP4. It has been selected for its ability to recognize RBP4 in immunohistochemical staining and western blotting.

    Cross-Reactivity

    Pig

    Purification

    Protein A + Protein G affinity chromatography

    Immunogen

    Eukaryotic Retinol Binding Protein 4 (RBP4) corresdonding to Ala18~Leu201 with N-terminal His Tag

    Isotype

    IgG1 kappa
  • Application Notes

    Western blotting: 0.01-2 μg/mL,Immunohistochemistry: 5-30 μg/mL,Immunocytochemistry: 5-20 μg/mL,Optimal working dilutions must be determined by end user.

    Comment

    The thermal stability is described by the loss rate. The loss rate was determined by accelerated thermal degradation test, that is, incubate the protein at 37°C for 48h, and no obvious degradation and precipitation were observed. The loss rate is less than 5% within the expiration date under appropriate storage condition.

    Restrictions

    For Research Use only
  • Format

    Liquid

    Concentration

    1 mg/mL

    Buffer

    0.01M PBS, pH 7.4, containing 0.05 % Proclin-300, 50 % glycerol.

    Preservative

    ProClin

    Precaution of Use

    This product contains ProClin: a POISONOUS AND HAZARDOUS SUBSTANCE which should be handled by trained staff only.

    Storage

    4 °C,-20 °C

    Storage Comment

    Store at 4°C for frequent use. Stored at -20°C in a manual defrost freezer for two year without detectable loss of activity. Avoid repeated freeze-thaw cycles.

    Expiry Date

    24 months
  • Target

    RBP4 (Retinol Binding Protein 4, Plasma (RBP4))

    Alternative Name

    RBP4

    Background

    PRBP, RBP, Plasma retinol-binding protein, Retinol Binding Protein 4, Plasma

    UniProt

    P02753

    Pathways

    Regulatory RNA Pathways, Positive Regulation of Peptide Hormone Secretion, Carbohydrate Homeostasis, Production of Molecular Mediator of Immune Response
You are here:
Chat with us!