Phone:
+1 877 302 8632
Fax:
+1 888 205 9894 (Toll-free)
E-Mail:
orders@antibodies-online.com

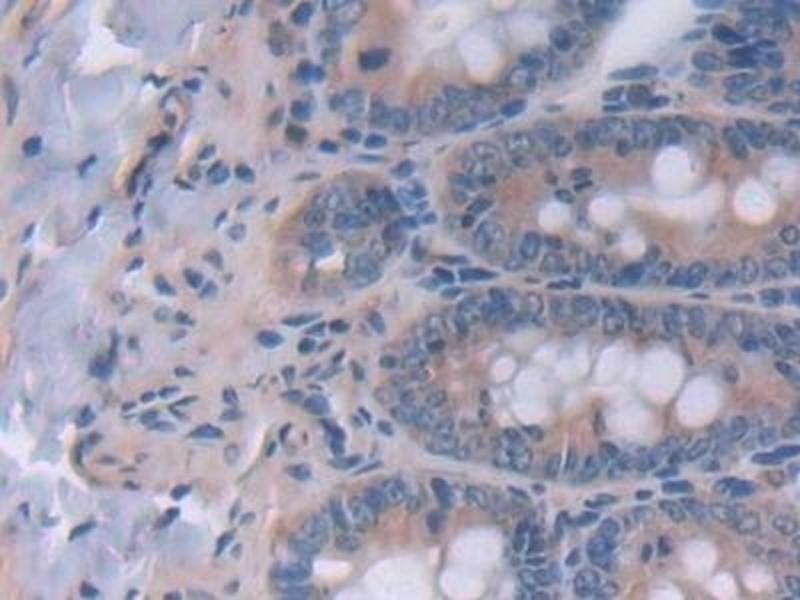
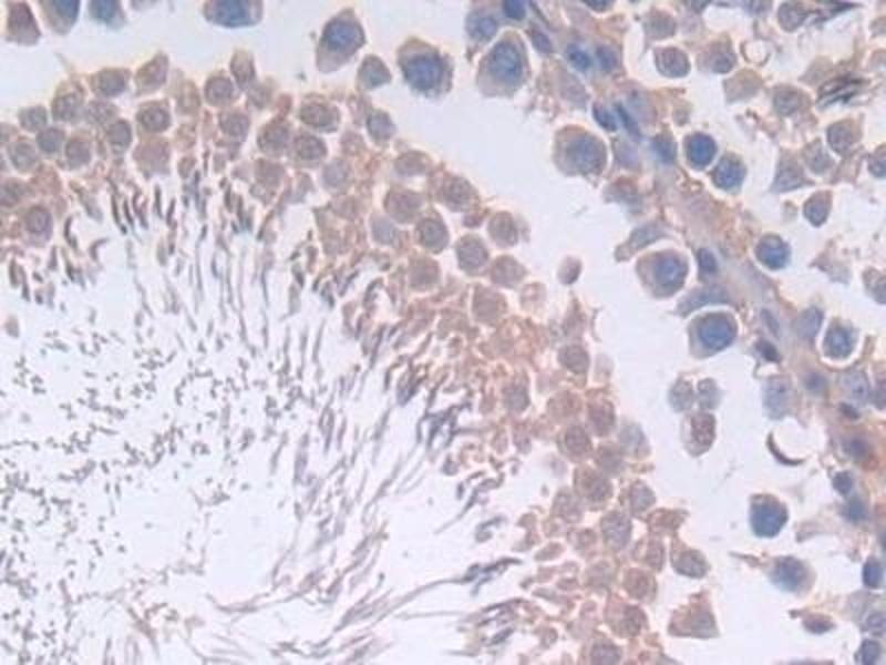
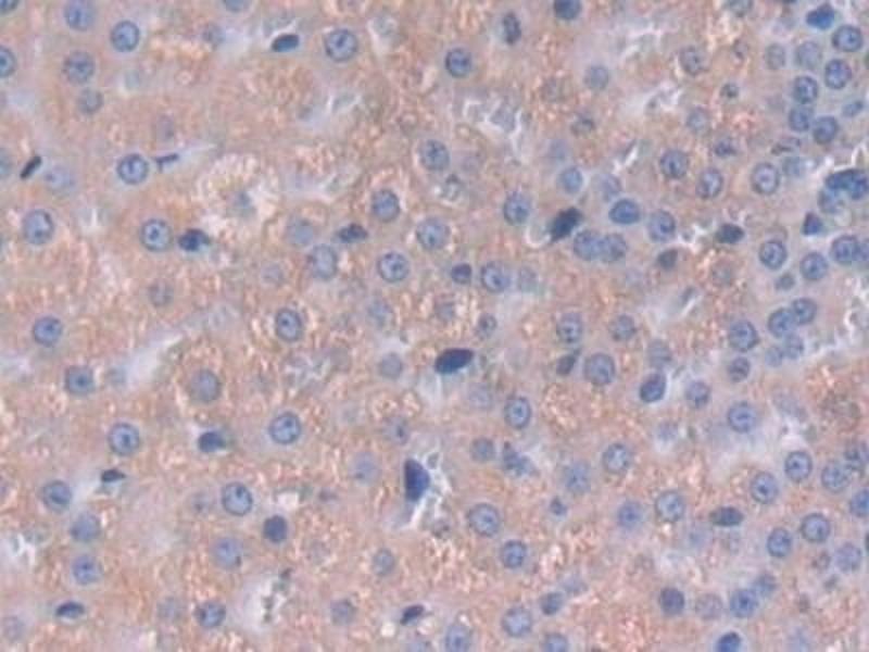
IL12A antibody (AA 23-215)

This Rabbit Polyclonal antibody specifically detects IL12A in WB, IHC, IP and ICC. It exhibits reactivity toward Rat.
Catalog No. ABIN7430657
$320.14
Plus shipping costs $50.00
Shipping to: United States
Delivery in 13 to 17 Business Days

Quick Overview for IL12A antibody (AA 23-215) (ABIN7430657)

Target

See all IL12A Antibodies
IL12A (Interleukin 12 alpha (IL12A))

Reactivity

  • 65
  • 15
  • 6
  • 4
  • 4
  • 4
  • 1
  • 1
  • 1
Rat

Host

  • 51
  • 22
  • 5
  • 2
  • 2
Rabbit

Clonality

  • 58
  • 24
Polyclonal

Conjugate

  • 48
  • 13
  • 7
  • 2
  • 2
  • 2
  • 1
  • 1
  • 1
  • 1
  • 1
  • 1
  • 1
  • 1
This IL12A antibody is un-conjugated

Application

  • 58
  • 34
  • 28
  • 13
  • 11
  • 9
  • 7
  • 7
  • 6
  • 4
  • 4
  • 2
  • 1
  • 1
  • 1
  • 1
  • 1
Western Blotting (WB), Immunohistochemistry (IHC), Immunoprecipitation (IP), Immunocytochemistry (ICC)
  • Binding Specificity

    • 13
    • 8
    • 5
    • 3
    • 3
    • 2
    • 2
    • 1
    • 1
    • 1
    • 1
    • 1
    • 1
    • 1
    • 1
    • 1
    • 1
    AA 23-215

    Purpose

    Polyclonal Antibody to Interleukin 12A (IL12A)

    Specificity

    The antibody is a rabbit polyclonal antibody raised against IL12A. It has been selected for its ability to recognize IL12A in immunohistochemical staining and western blotting.

    Cross-Reactivity

    Mouse

    Purification

    Antigen-specific affinity chromatography followed by Protein A affinity chromatography

    Immunogen

    Recombinant Interleukin 12A (IL12A) corresdonding to Arg23~Ser215

    Isotype

    IgG
  • Application Notes

    Western blotting: 0.5-2 μg/mL,Immunohistochemistry: 5-20 μg/mL,Immunocytochemistry: 5-20 μg/mL,Optimal working dilutions must be determined by end user.

    Comment

    The thermal stability is described by the loss rate. The loss rate was determined by accelerated thermal degradation test, that is, incubate the protein at 37°C for 48h, and no obvious degradation and precipitation were observed. The loss rate is less than 5% within the expiration date under appropriate storage condition.

    Restrictions

    For Research Use only
  • Format

    Liquid

    Concentration

    500 μg/mL

    Buffer

    0.01M PBS, pH 7.4, containing 0.05 % Proclin-300, 50 % glycerol.

    Preservative

    ProClin

    Precaution of Use

    This product contains ProClin: a POISONOUS AND HAZARDOUS SUBSTANCE which should be handled by trained staff only.

    Storage

    4 °C,-20 °C

    Storage Comment

    Store at 4°C for frequent use. Stored at -20°C in a manual defrost freezer for two year without detectable loss of activity. Avoid repeated freeze-thaw cycles.

    Expiry Date

    24 months
  • Target

    IL12A (Interleukin 12 alpha (IL12A))

    Alternative Name

    IL12A

    Background

    P35, IL12-A, CLMF1, NFSK, NKSF1, Natural Killer Cell Stimulatory Factor 1, Cytotoxic Lymphocyte Maturation Factor 1, NF Cell Stimulatory Factor Chain 1

    UniProt

    Q9R103

    Pathways

    JAK-STAT Signaling, Regulation of Leukocyte Mediated Immunity, Positive Regulation of Immune Effector Process, Activated T Cell Proliferation
You are here:
Chat with us!