Phone:
+1 877 302 8632
Fax:
+1 888 205 9894 (Toll-free)
E-Mail:
orders@antibodies-online.com

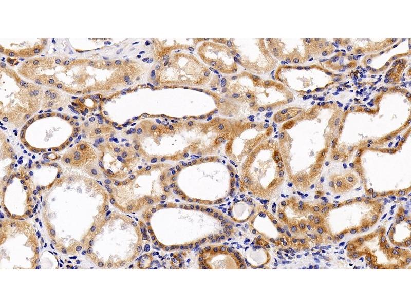
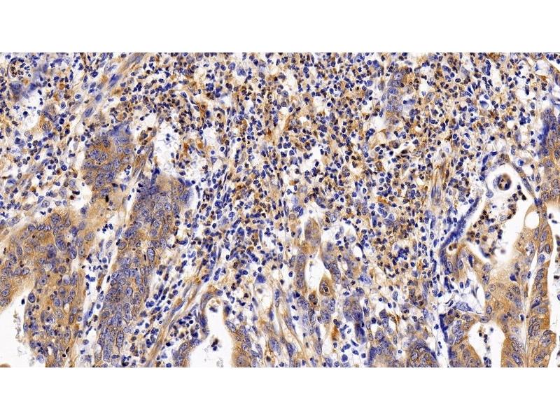
LIFR antibody (AA 522-691)

The Rabbit Polyclonal anti-LIFR antibody (ABIN7437668) specifically detects LIFR in WB, IHC, IP, ICC and FACS. The antibody is reactive with Human samples.
Catalog No. ABIN7437668
$302.11
Plus shipping costs $50.00
Shipping to: United States
Delivery in 13 to 17 Business Days

Quick Overview for LIFR antibody (AA 522-691) (ABIN7437668)

Target

See all LIFR Antibodies
LIFR (Leukemia Inhibitory Factor Receptor alpha (LIFR))

Reactivity

  • 42
  • 14
  • 12
  • 1
  • 1
  • 1
  • 1
  • 1
Human

Host

  • 56
  • 7
Rabbit

Clonality

  • 57
  • 6
Polyclonal

Conjugate

  • 32
  • 15
  • 8
  • 1
  • 1
  • 1
  • 1
  • 1
  • 1
  • 1
  • 1
This LIFR antibody is un-conjugated

Application

  • 48
  • 21
  • 18
  • 12
  • 8
  • 6
  • 4
  • 3
  • 2
  • 1
  • 1
  • 1
  • 1
Western Blotting (WB), Immunohistochemistry (IHC), Immunoprecipitation (IP), Immunocytochemistry (ICC), Flow Cytometry (FACS)
  • Binding Specificity

    • 6
    • 4
    • 4
    • 3
    • 3
    • 3
    • 3
    • 3
    • 3
    • 2
    • 2
    • 2
    • 2
    • 1
    • 1
    • 1
    • 1
    • 1
    • 1
    • 1
    • 1
    • 1
    AA 522-691

    Purpose

    Polyclonal Antibody to Leukemia Inhibitory Factor Receptor (LIFR)

    Specificity

    The antibody is a rabbit polyclonal antibody raised against LIFR. It has been selected for its ability to recognize LIFR in immunohistochemical staining and western blotting.

    Purification

    Antigen-specific affinity chromatography followed by Protein A affinity chromatography

    Immunogen

    Recombinant Leukemia Inhibitory Factor Receptor (LIFR) corresdonding to Trp522~Phe691 (Accession # P42702)

    Isotype

    IgG
  • Application Notes

    Western blotting: 0.5-2 μg/mL,Immunohistochemistry: 5-20 μg/mL,Immunocytochemistry: 5-20 μg/mL,Flow cytometry:20 μg/mL,Optimal working dilutions must be determined by end user.,

    Comment

    The thermal stability is described by the loss rate. The loss rate was determined by accelerated thermal degradation test, that is, incubate the protein at 37°C for 48h, and no obvious degradation and precipitation were observed. The loss rate is less than 5% within the expiration date under appropriate storage condition.

    Restrictions

    For Research Use only
  • Format

    Liquid

    Concentration

    500 μg/mL

    Buffer

    PBS, pH 7.4, containing 0.02 % Sodium azide, 50 % glycerol.

    Preservative

    Sodium azide

    Precaution of Use

    This product contains Sodium azide: a POISONOUS AND HAZARDOUS SUBSTANCE which should be handled by trained staff only.

    Storage

    4 °C,-20 °C

    Storage Comment

    Store at 4°C for frequent use. Stored at -20°C in a manual defrost freezer for two year without detectable loss of activity. Avoid repeated freeze-thaw cycles.

    Expiry Date

    24 months
  • Target

    LIFR (Leukemia Inhibitory Factor Receptor alpha (LIFR))

    Alternative Name

    LIFR

    Background

    CD118, SJS2, STWS, SWS

    UniProt

    P42702

    Pathways

    JAK-STAT Signaling, Growth Factor Binding
You are here:
Chat with us!