Phone:
+1 877 302 8632
Fax:
+1 888 205 9894 (Toll-free)
E-Mail:
orders@antibodies-online.com

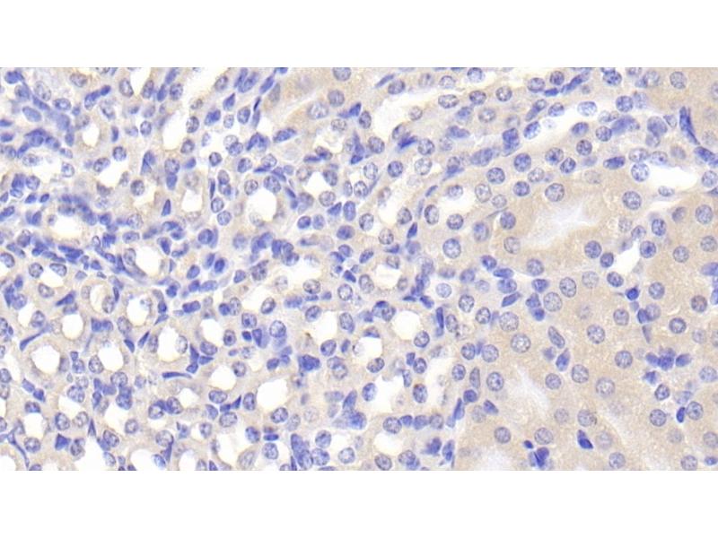
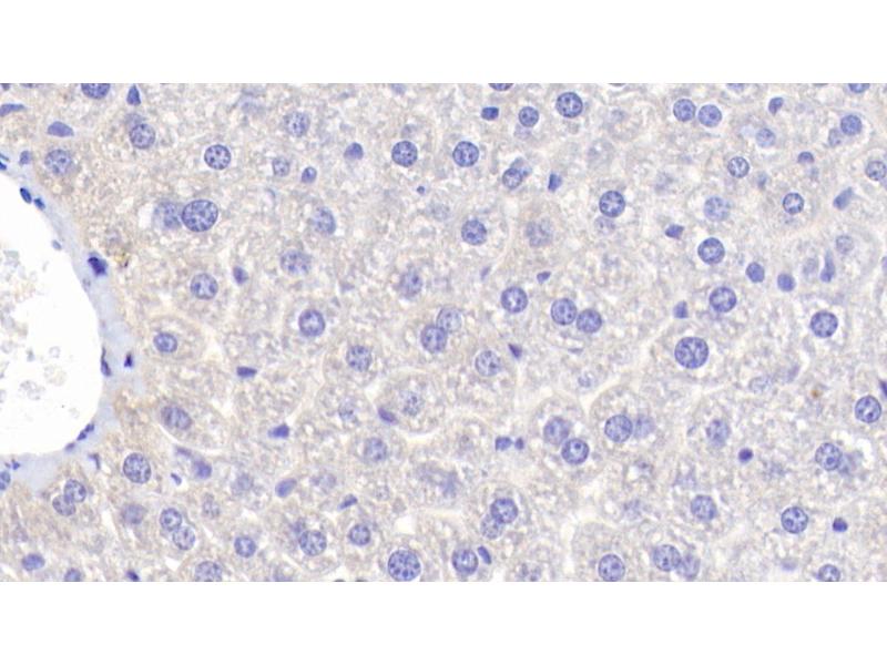
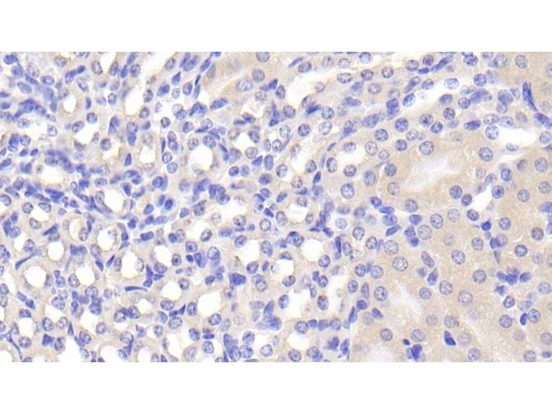
FUCA1 antibody (AA 185-447)

The Rabbit Polyclonal anti-FUCA1 antibody (ABIN7439933) specifically detects FUCA1 in WB, IHC, IP and ICC. The antibody is reactive with Mouse samples.
Catalog No. ABIN7439933
$308.12
Plus shipping costs $50.00
Shipping to: United States
Delivery in 13 to 17 Business Days

Quick Overview for FUCA1 antibody (AA 185-447) (ABIN7439933)

Target

See all FUCA1 Antibodies
FUCA1 (Fucosidase, alpha-L- 1, Tissue (FUCA1))

Reactivity

  • 35
  • 32
  • 11
  • 7
  • 3
  • 3
  • 3
  • 2
  • 2
  • 1
  • 1
  • 1
Mouse

Host

  • 56
  • 6
  • 1
Rabbit

Clonality

  • 59
  • 4
Polyclonal

Conjugate

  • 33
  • 5
  • 5
  • 3
  • 1
  • 1
  • 1
  • 1
  • 1
  • 1
  • 1
  • 1
  • 1
  • 1
  • 1
  • 1
  • 1
  • 1
  • 1
  • 1
  • 1
This FUCA1 antibody is un-conjugated

Application

  • 47
  • 20
  • 13
  • 13
  • 11
  • 8
  • 5
  • 4
  • 3
  • 3
  • 3
  • 3
  • 2
  • 2
  • 2
  • 2
Western Blotting (WB), Immunohistochemistry (IHC), Immunoprecipitation (IP), Immunocytochemistry (ICC)
  • Binding Specificity

    • 15
    • 6
    • 5
    • 3
    • 2
    • 2
    • 2
    • 2
    • 1
    • 1
    • 1
    • 1
    • 1
    • 1
    • 1
    • 1
    AA 185-447

    Purpose

    Polyclonal Antibody to Fucosidase Alpha L1, Tissue (FUCa1)

    Specificity

    The antibody is a rabbit polyclonal antibody raised against FUCa1. It has been selected for its ability to recognize FUCa1 in immunohistochemical staining and western blotting.

    Cross-Reactivity

    Rat

    Purification

    Antigen-specific affinity chromatography followed by Protein A affinity chromatography

    Immunogen

    Recombinant Fucosidase Alpha L1, Tissue (FUCa1) corresdonding to Asn185~Lys447 (Accession # Q99LJ1)

    Isotype

    IgG
  • Application Notes

    Western blotting: 0.01-2 μg/mL,Immunohistochemistry: 5-20 μg/mL,Immunocytochemistry: 5-20 μg/mL,Optimal working dilutions must be determined by end user.

    Comment

    The thermal stability is described by the loss rate. The loss rate was determined by accelerated thermal degradation test, that is, incubate the protein at 37°C for 48h, and no obvious degradation and precipitation were observed. The loss rate is less than 5% within the expiration date under appropriate storage condition.

    Restrictions

    For Research Use only
  • Format

    Liquid

    Concentration

    0.5 mg/mL

    Buffer

    PBS, pH 7.4, containing 0.02 % Sodium azide, 50 % glycerol.

    Preservative

    Sodium azide

    Precaution of Use

    This product contains Sodium azide: a POISONOUS AND HAZARDOUS SUBSTANCE which should be handled by trained staff only.

    Storage

    4 °C,-20 °C

    Storage Comment

    Store at 4°C for frequent use. Stored at -20°C in a manual defrost freezer for two year without detectable loss of activity. Avoid repeated freeze-thaw cycles.

    Expiry Date

    24 months
  • Target

    FUCA1 (Fucosidase, alpha-L- 1, Tissue (FUCA1))

    Alternative Name

    FUCa1

    Background

    A-FU, aFU, Alpha-L-Fucosidase, Alpha-L-fucoside fucohydrolase 1

    UniProt

    Q99LJ1

    Pathways

    Glycosaminoglycan Metabolic Process
You are here:
Chat with us!