Phone:
+1 877 302 8632
Fax:
+1 888 205 9894 (Toll-free)
E-Mail:
orders@antibodies-online.com

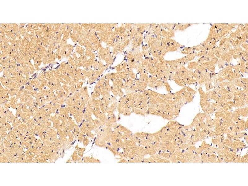
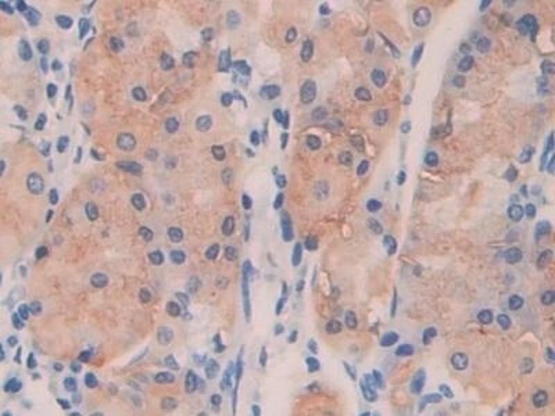
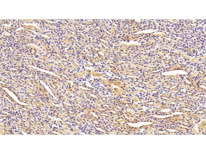
ANGPTL4 antibody (AA 182-388)

The Rabbit Polyclonal anti-ANGPTL4 antibody is suitable to detect ANGPTL4 in samples from Human. It has been validated for WB, IHC, IP and ICC.
Catalog No. ABIN7433018
$313.13
Plus shipping costs $50.00
Shipping to: United States
Delivery in 13 to 17 Business Days

Quick Overview for ANGPTL4 antibody (AA 182-388) (ABIN7433018)

Target

See all ANGPTL4 Antibodies
ANGPTL4 (Angiopoietin-Like 4 (ANGPTL4))

Reactivity

  • 56
  • 29
  • 26
  • 5
  • 4
  • 1
Human

Host

  • 64
  • 19
  • 1
  • 1
Rabbit

Clonality

  • 67
  • 18
Polyclonal

Conjugate

  • 62
  • 12
  • 5
  • 1
  • 1
  • 1
  • 1
  • 1
  • 1
  • 1
This ANGPTL4 antibody is un-conjugated

Application

  • 66
  • 35
  • 32
  • 14
  • 12
  • 6
  • 5
  • 5
  • 3
  • 1
  • 1
  • 1
Western Blotting (WB), Immunohistochemistry (IHC), Immunoprecipitation (IP), Immunocytochemistry (ICC)
  • Binding Specificity

    • 11
    • 7
    • 4
    • 4
    • 3
    • 3
    • 2
    • 2
    • 2
    • 2
    • 2
    • 2
    • 2
    • 2
    • 2
    • 2
    • 1
    • 1
    • 1
    • 1
    • 1
    • 1
    • 1
    • 1
    • 1
    AA 182-388

    Purpose

    Polyclonal Antibody to Angiopoietin Like Protein 4 (ANGPTL4)

    Specificity

    The antibody is a rabbit polyclonal antibody raised against ANGPTL4. It has been selected for its ability to recognize ANGPTL4 in immunohistochemical staining and western blotting.

    Cross-Reactivity

    Mouse, Pig, Rat

    Purification

    Antigen-specific affinity chromatography followed by Protein A affinity chromatography

    Immunogen

    Recombinant Angiopoietin Like Protein 4 (ANGPTL4) corresdonding to His182~Tyr388 with N-terminal His and GST Tag

    Isotype

    IgG
  • Application Notes

    Western blotting: 0.01-2 μg/mL,Immunohistochemistry: 5-30 μg/mL,Immunocytochemistry: 5-20 μg/mL,Optimal working dilutions must be determined by end user.

    Comment

    The thermal stability is described by the loss rate. The loss rate was determined by accelerated thermal degradation test, that is, incubate the protein at 37°C for 48h, and no obvious degradation and precipitation were observed. The loss rate is less than 5% within the expiration date under appropriate storage condition.

    Restrictions

    For Research Use only
  • Format

    Liquid

    Concentration

    0.5 mg/mL

    Buffer

    0.01M PBS, pH 7.4, containing 0.05 % Proclin-300, 50 % glycerol.

    Preservative

    ProClin

    Precaution of Use

    This product contains ProClin: a POISONOUS AND HAZARDOUS SUBSTANCE which should be handled by trained staff only.

    Storage

    4 °C,-20 °C

    Storage Comment

    Store at 4°C for frequent use. Stored at -20°C in a manual defrost freezer for two year without detectable loss of activity. Avoid repeated freeze-thaw cycles.

    Expiry Date

    24 months
  • Target

    ANGPTL4 (Angiopoietin-Like 4 (ANGPTL4))

    Alternative Name

    ANGPTL4

    Background

    ARP4, FIAF, HFARP, NL2, PGAR, Pp1158, Fasting-Induced Adipose Factor, Hepatic Angiopoietin-Related Protein, Hepatic Fibrinogen/Angiopoietin-Related Protein

    UniProt

    Q9BY76

    Pathways

    Regulation of Lipid Metabolism by PPARalpha
You are here:
Chat with us!