Phone:
+1 877 302 8632
Fax:
+1 888 205 9894 (Toll-free)
E-Mail:
orders@antibodies-online.com

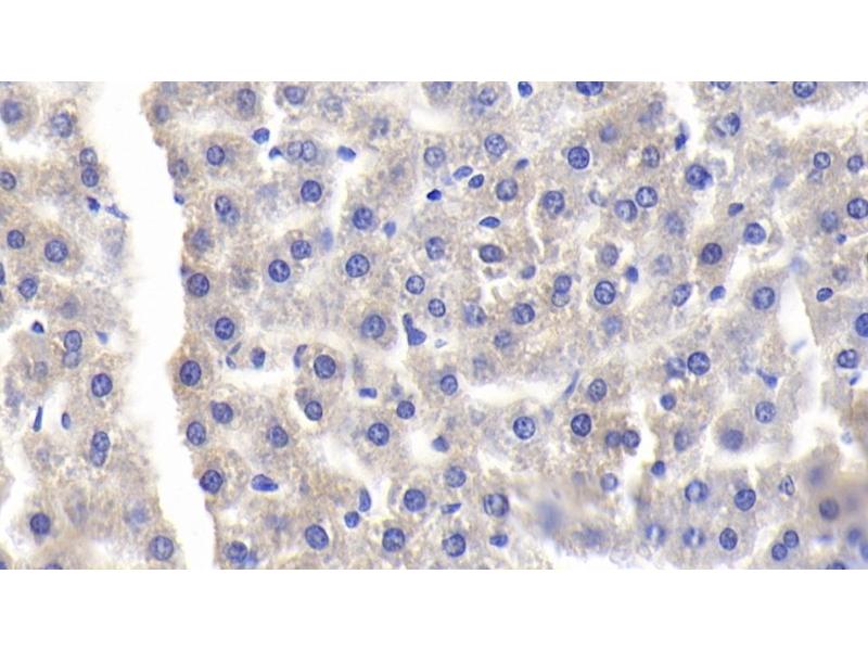
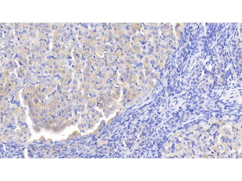
LBP antibody (AA 226-480)

The Rabbit Polyclonal anti-LBP antibody is suitable to detect LBP in samples from Rat. It has been validated for WB, IHC, IP and ICC.
Catalog No. ABIN7433612
$334.16
Plus shipping costs $50.00
Shipping to: United States
Delivery in 13 to 17 Business Days

Quick Overview for LBP antibody (AA 226-480) (ABIN7433612)

Target

See all LBP Antibodies
LBP (Lipopolysaccharide Binding Protein (LBP))

Reactivity

  • 44
  • 22
  • 17
  • 10
  • 10
  • 8
  • 4
  • 3
  • 3
  • 2
  • 2
Rat

Host

  • 50
  • 20
  • 7
  • 5
Rabbit

Clonality

  • 55
  • 27
Polyclonal

Conjugate

  • 65
  • 8
  • 3
  • 3
  • 2
  • 1
This LBP antibody is un-conjugated

Application

  • 56
  • 31
  • 26
  • 25
  • 16
  • 12
  • 7
  • 5
  • 3
  • 3
  • 3
  • 3
  • 2
  • 2
  • 1
  • 1
  • 1
Western Blotting (WB), Immunohistochemistry (IHC), Immunoprecipitation (IP), Immunocytochemistry (ICC)
  • Binding Specificity

    • 6
    • 5
    • 4
    • 4
    • 2
    • 2
    • 2
    • 1
    • 1
    • 1
    • 1
    • 1
    • 1
    • 1
    • 1
    • 1
    • 1
    • 1
    • 1
    • 1
    • 1
    • 1
    • 1
    AA 226-480

    Purpose

    Polyclonal Antibody to Lipopolysaccharide Binding Protein (LBP)

    Specificity

    The antibody is a rabbit polyclonal antibody raised against LBP. It has been selected for its ability to recognize LBP in immunohistochemical staining and western blotting.

    Cross-Reactivity

    Human, Mouse

    Purification

    Antigen-specific affinity chromatography followed by Protein A affinity chromatography

    Immunogen

    Recombinant Lipopolysaccharide Binding Protein (LBP) corresdonding to Leu226~Arg480 (Accession # Q63313)

    Isotype

    IgG
  • Application Notes

    Western blotting: 0.5-2 μg/mL,Immunohistochemistry: 5-20 μg/mL,Immunocytochemistry: 5-20 μg/mL,Optimal working dilutions must be determined by end user.

    Comment

    The thermal stability is described by the loss rate. The loss rate was determined by accelerated thermal degradation test, that is, incubate the protein at 37°C for 48h, and no obvious degradation and precipitation were observed. The loss rate is less than 5% within the expiration date under appropriate storage condition.

    Restrictions

    For Research Use only
  • Format

    Liquid

    Concentration

    0.5 mg/mL

    Buffer

    PBS, pH 7.4, containing 0.02 % Sodium azide, 50 % glycerol.

    Preservative

    Sodium azide

    Precaution of Use

    This product contains Sodium azide: a POISONOUS AND HAZARDOUS SUBSTANCE which should be handled by trained staff only.

    Storage

    4 °C,-20 °C

    Storage Comment

    Store at 4°C for frequent use. Stored at -20°C in a manual defrost freezer for two year without detectable loss of activity. Avoid repeated freeze-thaw cycles.

    Expiry Date

    24 months
  • Target

    LBP (Lipopolysaccharide Binding Protein (LBP))

    Alternative Name

    Lipopolysaccharide Binding Protein

    Background

    LPS-Binding Protein

    UniProt

    Q63313

    Pathways

    TLR Signaling, Activation of Innate immune Response, Cellular Response to Molecule of Bacterial Origin, Positive Regulation of Immune Effector Process, Toll-Like Receptors Cascades, Monocarboxylic Acid Catabolic Process
You are here:
Chat with us!