Phone:
+1 877 302 8632
Fax:
+1 888 205 9894 (Toll-free)
E-Mail:
orders@antibodies-online.com

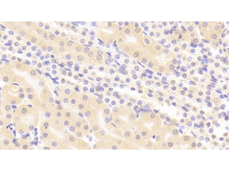
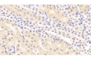
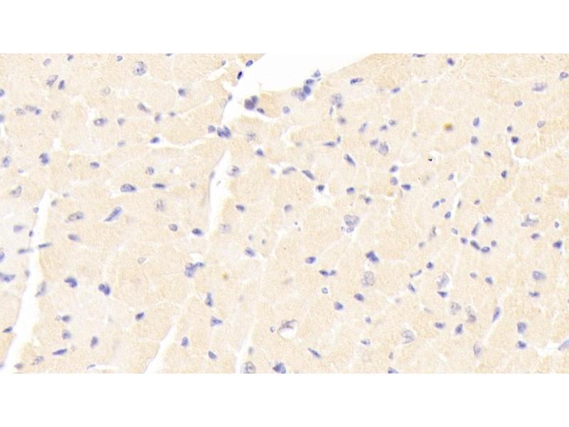
ADCY7 antibody (AA 309-491)

The Rabbit Polyclonal anti-ADCY7 antibody (ABIN7443068) specifically detects ADCY7 in IHC, WB, IP and ICC. The antibody is reactive with Mouse samples.
Catalog No. ABIN7443068
-15% Promotion 2026
$272.12
$320.14
save $48.02 (-15 %)
Plus shipping costs $50.00
Shipping to: United States
Delivery in 13 to 16 Business Days

Quick Overview for ADCY7 antibody (AA 309-491) (ABIN7443068)

Target

See all ADCY7 (Adcy7) Antibodies
ADCY7 (Adcy7) (Adenylate Cyclase 7 (Adcy7))

Reactivity

  • 29
  • 19
  • 17
Mouse

Host

  • 28
  • 1
Rabbit

Clonality

  • 29
Polyclonal

Conjugate

  • 8
  • 2
  • 1
  • 1
  • 1
  • 1
  • 1
  • 1
  • 1
  • 1
  • 1
  • 1
  • 1
  • 1
  • 1
  • 1
  • 1
  • 1
  • 1
  • 1
  • 1
This ADCY7 antibody is un-conjugated

Application

  • 19
  • 13
  • 13
  • 8
  • 5
  • 4
  • 4
  • 4
  • 3
  • 3
  • 2
Immunohistochemistry (IHC), Western Blotting (WB), Immunoprecipitation (IP), Immunocytochemistry (ICC)
  • Binding Specificity

    • 15
    • 1
    • 1
    • 1
    • 1
    • 1
    • 1
    AA 309-491

    Purpose

    Polyclonal Antibody to Adenylate Cyclase 7 (ADCY7)

    Specificity

    The antibody is a rabbit polyclonal antibody raised against ADCY7. It has been selected for its ability to recognize ADCY7 in immunohistochemical staining and western blotting.

    Cross-Reactivity

    Human, Mouse

    Purification

    Antigen-specific affinity chromatography followed by Protein A affinity chromatography

    Immunogen

    Recombinant Adenylate Cyclase 7 (ADCY7) corresdonding to Leu309~Glu491 (Accession # P51829)

    Isotype

    IgG
  • Application Notes

    Western blotting: 0.01-3 μg/mL,Immunohistochemistry: 5-30 μg/mL,Immunocytochemistry: 5-30 μg/mL,Optimal working dilutions must be determined by end user.

    Comment

    The thermal stability is described by the loss rate. The loss rate was determined by accelerated thermal degradation test, that is, incubate the protein at 37°C for 48h, and no obvious degradation and precipitation were observed. The loss rate is less than 5% within the expiration date under appropriate storage condition.

    Restrictions

    For Research Use only
  • Format

    Liquid

    Concentration

    0.5 mg/mL

    Buffer

    PBS, pH 7.4, containing 0.02 % Sodium azide, 50 % glycerol.

    Preservative

    Sodium azide

    Precaution of Use

    This product contains Sodium azide: a POISONOUS AND HAZARDOUS SUBSTANCE which should be handled by trained staff only.

    Storage

    4 °C,-20 °C

    Storage Comment

    Store at 4°C for frequent use. Stored at -20°C in a manual defrost freezer for two year without detectable loss of activity. Avoid repeated freeze-thaw cycles.

    Expiry Date

    24 months
  • Target

    ADCY7 (Adcy7) (Adenylate Cyclase 7 (Adcy7))

    Alternative Name

    ADCY7

    Background

    AC7, ATP pyrophosphate-lyase 7, Adenylate cyclase type VII

    UniProt

    P51829

    Pathways

    EGFR Signaling Pathway, Neurotrophin Signaling Pathway, Thyroid Hormone Synthesis, cAMP Metabolic Process, Myometrial Relaxation and Contraction, G-protein mediated Events, Interaction of EGFR with phospholipase C-gamma
You are here:
Chat with us!