Phone:
+1 877 302 8632
Fax:
+1 888 205 9894 (Toll-free)
E-Mail:
orders@antibodies-online.com

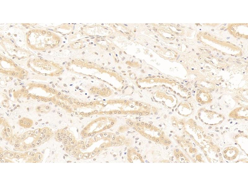
TARDBP antibody (AA 104-262)

The Rabbit Polyclonal anti-TARDBP antibody is suitable to detect TARDBP in samples from Human. It has been validated for WB, IHC, IP and ICC.
Catalog No. ABIN7434404
$313.13
Plus shipping costs $50.00
Shipping to: United States
Delivery in 13 to 17 Business Days

Quick Overview for TARDBP antibody (AA 104-262) (ABIN7434404)

Target

See all TARDBP Antibodies
TARDBP (TAR DNA Binding Protein (TARDBP))

Reactivity

  • 127
  • 80
  • 78
  • 22
  • 8
  • 8
  • 7
  • 6
  • 5
  • 5
  • 5
  • 4
  • 3
  • 1
Human

Host

  • 120
  • 25
  • 1
Rabbit

Clonality

  • 79
  • 67
Polyclonal

Conjugate

  • 81
  • 8
  • 5
  • 5
  • 5
  • 5
  • 5
  • 5
  • 4
  • 3
  • 3
  • 2
  • 2
  • 2
  • 1
  • 1
  • 1
  • 1
  • 1
  • 1
  • 1
  • 1
  • 1
  • 1
  • 1
This TARDBP antibody is un-conjugated

Application

  • 123
  • 76
  • 67
  • 43
  • 41
  • 36
  • 33
  • 18
  • 14
  • 13
  • 4
  • 3
  • 3
  • 3
  • 2
  • 2
  • 1
  • 1
Western Blotting (WB), Immunohistochemistry (IHC), Immunoprecipitation (IP), Immunocytochemistry (ICC)
  • Binding Specificity

    • 15
    • 12
    • 8
    • 8
    • 7
    • 4
    • 2
    • 2
    • 2
    • 2
    • 2
    • 2
    • 2
    • 2
    • 1
    • 1
    • 1
    • 1
    • 1
    • 1
    • 1
    • 1
    • 1
    AA 104-262

    Purpose

    Polyclonal Antibody to Tar DNA Binding Protein 43kDa (TDP43)

    Specificity

    The antibody is a rabbit polyclonal antibody raised against TDP43. It has been selected for its ability to recognize TDP43 in immunohistochemical staining and western blotting.

    Purification

    Antigen-specific affinity chromatography followed by Protein A affinity chromatography

    Immunogen

    Recombinant Tar DNA Binding Protein 43kDa (TDP43) corresdonding to Ser104~Pro262 with N-terminal His Tag

    Isotype

    IgG
  • Application Notes

    Western blotting: 0.01-2 μg/mL,Immunohistochemistry: 5-20 μg/mL,Immunocytochemistry: 5-20 μg/mL,Optimal working dilutions must be determined by end user.

    Comment

    The thermal stability is described by the loss rate. The loss rate was determined by accelerated thermal degradation test, that is, incubate the protein at 37°C for 48h, and no obvious degradation and precipitation were observed. The loss rate is less than 5% within the expiration date under appropriate storage condition.

    Restrictions

    For Research Use only
  • Format

    Liquid

    Concentration

    0.5 mg/mL

    Buffer

    0.01M PBS, pH 7.4, containing 0.05 % Proclin-300, 50 % glycerol.

    Preservative

    ProClin

    Precaution of Use

    This product contains ProClin: a POISONOUS AND HAZARDOUS SUBSTANCE which should be handled by trained staff only.

    Storage

    4 °C,-20 °C

    Storage Comment

    Store at 4°C for frequent use. Stored at -20°C in a manual defrost freezer for two year without detectable loss of activity. Avoid repeated freeze-thaw cycles.

    Expiry Date

    24 months
  • Target

    TARDBP (TAR DNA Binding Protein (TARDBP))

    Alternative Name

    TDP43

    Background

    TARDBP, ALS10

    UniProt

    Q13148

    Pathways

    Positive Regulation of Peptide Hormone Secretion
You are here:
Chat with us!