Phone:
+1 877 302 8632
Fax:
+1 888 205 9894 (Toll-free)
E-Mail:
orders@antibodies-online.com

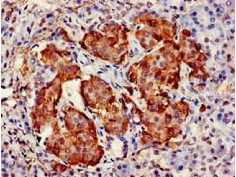
TARDBP antibody (AA 1-396)

The Rabbit Polyclonal anti-TARDBP antibody is suitable to detect TARDBP in samples from Human. It has been validated for WB, IHC, IF and ELISA.
Catalog No. ABIN7171509
$394.68
Plus shipping costs $50.00
Shipping to: United States
Delivery in 13 to 17 Business Days

Quick Overview for TARDBP antibody (AA 1-396) (ABIN7171509)

Target

See all TARDBP Antibodies
TARDBP (TAR DNA Binding Protein (TARDBP))

Reactivity

  • 127
  • 80
  • 78
  • 22
  • 8
  • 8
  • 7
  • 6
  • 5
  • 5
  • 5
  • 4
  • 3
  • 1
Human

Host

  • 120
  • 25
  • 1
Rabbit

Clonality

  • 79
  • 67
Polyclonal

Conjugate

  • 81
  • 8
  • 5
  • 5
  • 5
  • 5
  • 5
  • 5
  • 4
  • 3
  • 3
  • 2
  • 2
  • 2
  • 1
  • 1
  • 1
  • 1
  • 1
  • 1
  • 1
  • 1
  • 1
  • 1
  • 1
This TARDBP antibody is un-conjugated

Application

  • 123
  • 76
  • 66
  • 44
  • 40
  • 36
  • 34
  • 18
  • 14
  • 13
  • 4
  • 3
  • 3
  • 3
  • 2
  • 2
  • 1
  • 1
Western Blotting (WB), Immunohistochemistry (IHC), Immunofluorescence (IF), ELISA
  • Binding Specificity

    • 15
    • 12
    • 8
    • 8
    • 7
    • 3
    • 3
    • 2
    • 2
    • 2
    • 2
    • 2
    • 2
    • 2
    • 1
    • 1
    • 1
    • 1
    • 1
    • 1
    • 1
    • 1
    • 1
    AA 1-396

    Purpose

    TARDBP Antibody

    Purification

    Protein G purified

    Purity

    >95 %

    Immunogen

    Recombinant Human TAR DNA-binding protein 43 protein (1-396AA)

    Isotype

    IgG
  • Application Notes

    Optimal working dilution should be determined by the investigator.

    Restrictions

    For Research Use only
  • Format

    Liquid

    Buffer

    Preservative: 0.03 % Proclin 300
    Constituents: 50 % Glycerol, 0.01M PBS, pH 7.4

    Preservative

    ProClin

    Precaution of Use

    This product contains ProClin: a POISONOUS AND HAZARDOUS SUBSTANCE which should be handled by trained staff only.

    Storage

    -20 °C,-80 °C

    Storage Comment

    Upon receipt, store at -20°C or -80°C. Avoid repeated freeze.
  • Target

    TARDBP (TAR DNA Binding Protein (TARDBP))

    Alternative Name

    TARDBP

    Background

    Background: DNA and RNA-binding protein which regulates transcription and splicing. Involved in the regulation of CFTR splicing. It promotes CFTR exon 9 skipping by binding to the UG repeated motifs in the polymorphic region near the 3\\\'-splice site of this exon. The resulting aberrant splicing is associated with pathological features typical of cystic fibrosis. May also be involved in microRNA biogenesis, apoptosis and cell division. Can repress HIV-1 transcription by binding to the HIV-1 long terminal repeat. Stabilizes the low molecular weight neurofilament (NFL) mRNA through a direct interaction with the 3\\\' UTR.

    Aliases: ALS10 antibody, OTTHUMP00000002171 antibody, OTTHUMP00000002172 antibody, OTTHUMP00000002173 antibody, TADBP_HUMAN antibody, TAR DNA binding protein 43 antibody, TAR DNA binding protein antibody, TAR DNA-binding protein 43 antibody, TARDBP antibody, TDP 43 antibody, TDP-43 antibody, TDP43 antibody

    UniProt

    Q13148

    Pathways

    Positive Regulation of Peptide Hormone Secretion
You are here:
Chat with us!