Phone:
+1 877 302 8632
Fax:
+1 888 205 9894 (Toll-free)
E-Mail:
orders@antibodies-online.com

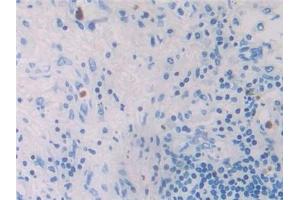
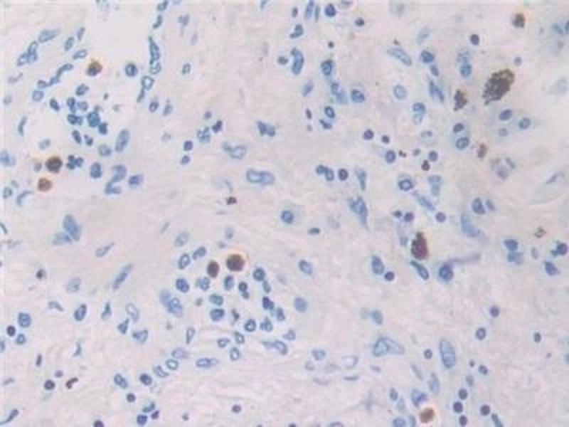
CCL26 antibody (AA 24-94)

The Rabbit Polyclonal anti-CCL26 antibody is suitable to detect CCL26 in samples from Human. It has been validated for WB, IHC, IP and ICC.
Catalog No. ABIN7442372
$248.03
Plus shipping costs $50.00
Shipping to: United States
Delivery in 13 to 17 Business Days

Quick Overview for CCL26 antibody (AA 24-94) (ABIN7442372)

Target

See all CCL26 Antibodies
CCL26 (Chemokine (C-C Motif) Ligand 26 (CCL26))

Reactivity

  • 67
  • 17
  • 16
Human

Host

  • 46
  • 16
  • 6
Rabbit

Clonality

  • 54
  • 14
Polyclonal

Conjugate

  • 28
  • 7
  • 3
  • 3
  • 3
  • 2
  • 2
  • 2
  • 2
  • 2
  • 2
  • 2
  • 2
  • 2
  • 2
  • 2
  • 2
This CCL26 antibody is un-conjugated

Application

  • 61
  • 29
  • 26
  • 26
  • 23
  • 10
  • 7
  • 7
  • 6
  • 5
  • 3
  • 3
  • 2
  • 2
  • 2
Western Blotting (WB), Immunohistochemistry (IHC), Immunoprecipitation (IP), Immunocytochemistry (ICC)
  • Binding Specificity

    • 16
    • 16
    • 4
    • 3
    • 2
    • 2
    • 1
    • 1
    • 1
    • 1
    • 1
    AA 24-94

    Purpose

    Polyclonal Antibody to Macrophage Inflammatory Protein 4 Alpha (MIP4a)

    Specificity

    The antibody is a rabbit polyclonal antibody raised against MIP4a. It has been selected for its ability to recognize MIP4a in immunohistochemical staining and western blotting.

    Purification

    Antigen-specific affinity chromatography followed by Protein A affinity chromatography

    Immunogen

    Recombinant Macrophage Inflammatory Protein 4 Alpha (MIP4a) corresdonding to Thr24~Leu94 (Accession # Q9Y258) with N-terminal His and GST Tag

    Isotype

    IgG
  • Application Notes

    Western blotting: 0.5-2 μg/mL,Immunohistochemistry: 5-20 μg/mL,Immunocytochemistry: 5-20 μg/mL,Optimal working dilutions must be determined by end user.

    Comment

    The thermal stability is described by the loss rate. The loss rate was determined by accelerated thermal degradation test, that is, incubate the protein at 37°C for 48h, and no obvious degradation and precipitation were observed. The loss rate is less than 5% within the expiration date under appropriate storage condition.

    Restrictions

    For Research Use only
  • Format

    Liquid

    Concentration

    500 μg/mL

    Buffer

    0.01M PBS, pH 7.4, containing 0.05 % Proclin-300, 50 % glycerol.

    Preservative

    ProClin

    Precaution of Use

    This product contains ProClin: a POISONOUS AND HAZARDOUS SUBSTANCE which should be handled by trained staff only.

    Storage

    4 °C,-20 °C

    Storage Comment

    Store at 4°C for frequent use. Stored at -20°C in a manual defrost freezer for two year without detectable loss of activity. Avoid repeated freeze-thaw cycles.

    Expiry Date

    24 months
  • Target

    CCL26 (Chemokine (C-C Motif) Ligand 26 (CCL26))

    Alternative Name

    MIP4a

    Background

    CCL26, SCYA26, IMAC, TSC-1, Eotaxin 3, Thymic stroma chemokine-1, Chemokine(C-C-Motif)ligand 26, Thymic Stroma Chemokine-1, Small Inducible Cytokine Subfamily A 26

    UniProt

    Q9Y258

    Pathways

    Regulation of Actin Filament Polymerization
You are here:
Chat with us!