Phone:
+1 877 302 8632
Fax:
+1 888 205 9894 (Toll-free)
E-Mail:
orders@antibodies-online.com

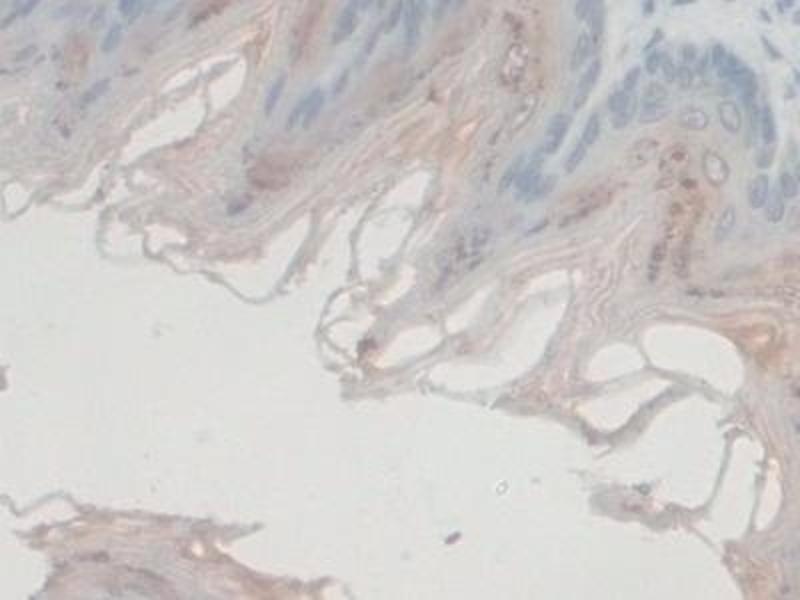
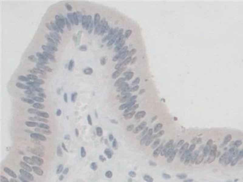
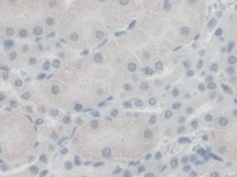
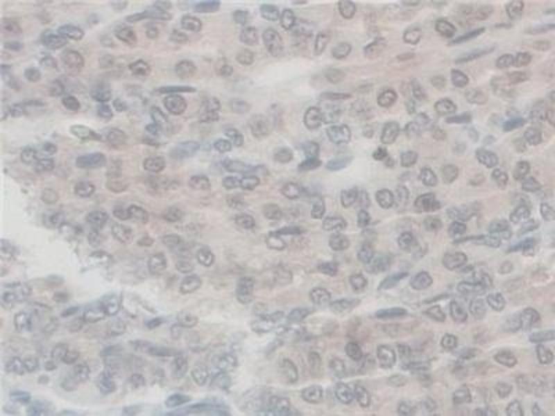
GFM1 antibody (AA 511-751)

The Rabbit Polyclonal anti-GFM1 antibody is suitable to detect GFM1 in samples from Mouse. It has been validated for WB, IHC, IP and ICC.
Catalog No. ABIN7444172
$333.16
Plus shipping costs $50.00
Shipping to: United States
Delivery in 13 to 17 Business Days

Quick Overview for GFM1 antibody (AA 511-751) (ABIN7444172)

Target

See all GFM1 Antibodies
GFM1 (G-Elongation Factor, Mitochondrial 1 (GFM1))

Reactivity

  • 23
  • 22
  • 6
  • 3
  • 2
  • 2
  • 1
  • 1
  • 1
  • 1
  • 1
  • 1
Mouse

Host

  • 31
  • 7
Rabbit

Clonality

  • 31
  • 7
Polyclonal

Conjugate

  • 24
  • 1
  • 1
  • 1
  • 1
  • 1
  • 1
  • 1
  • 1
  • 1
  • 1
  • 1
  • 1
  • 1
  • 1
This GFM1 antibody is un-conjugated

Application

  • 36
  • 13
  • 13
  • 12
  • 11
  • 9
  • 6
  • 4
  • 3
  • 3
  • 3
Western Blotting (WB), Immunohistochemistry (IHC), Immunoprecipitation (IP), Immunocytochemistry (ICC)
  • Binding Specificity

    • 15
    • 3
    • 1
    • 1
    • 1
    • 1
    • 1
    • 1
    AA 511-751

    Purpose

    Polyclonal Antibody to G-Elongation Factor, Mitochondrial 1 (GFM1)

    Specificity

    The antibody is a rabbit polyclonal antibody raised against GFM1. It has been selected for its ability to recognize GFM1 in immunohistochemical staining and western blotting.

    Cross-Reactivity

    Human, Rat

    Purification

    Antigen-specific affinity chromatography followed by Protein A affinity chromatography

    Immunogen

    Recombinant G-Elongation Factor, Mitochondrial 1 (GFM1) corresdonding to Glu511~Asn751

    Isotype

    IgG
  • Application Notes

    Western blotting: 0.5-2 μg/mL,Immunohistochemistry: 5-20 μg/mL,Immunocytochemistry: 5-20 μg/mL,Optimal working dilutions must be determined by end user.

    Comment

    The thermal stability is described by the loss rate. The loss rate was determined by accelerated thermal degradation test, that is, incubate the protein at 37°C for 48h, and no obvious degradation and precipitation were observed. The loss rate is less than 5% within the expiration date under appropriate storage condition.

    Restrictions

    For Research Use only
  • Format

    Liquid

    Concentration

    500 μg/mL

    Buffer

    0.01M PBS, pH 7.4, containing 0.05 % Proclin-300, 50 % glycerol.

    Preservative

    ProClin

    Precaution of Use

    This product contains ProClin: a POISONOUS AND HAZARDOUS SUBSTANCE which should be handled by trained staff only.

    Storage

    4 °C,-20 °C

    Storage Comment

    Store at 4°C for frequent use. Stored at -20°C in a manual defrost freezer for two year without detectable loss of activity. Avoid repeated freeze-thaw cycles.

    Expiry Date

    24 months
  • Target

    GFM1 (G-Elongation Factor, Mitochondrial 1 (GFM1))

    Alternative Name

    GFM1

    Background

    COXPD1, EFG, EFG1, EFGM, EGF1, GFM, hEFG1

    UniProt

    Q8K0D5
You are here:
Chat with us!