GFM1 antibody
Quick Overview for GFM1 antibody (ABIN7261181)
Target
See all GFM1 AntibodiesReactivity
Host
Clonality
Conjugate
Application
-
-
Characteristics
- Polyclonal Antibody
-
Purification
- Affinity purification
-
Immunogen
- Recombinant fusion protein of human GFM1 (NP_079272.4).
-
Isotype
- IgG
-
-
-
-
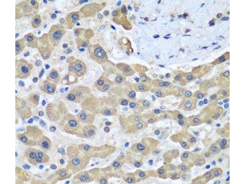
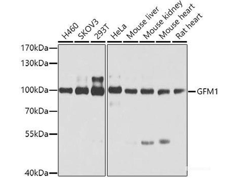
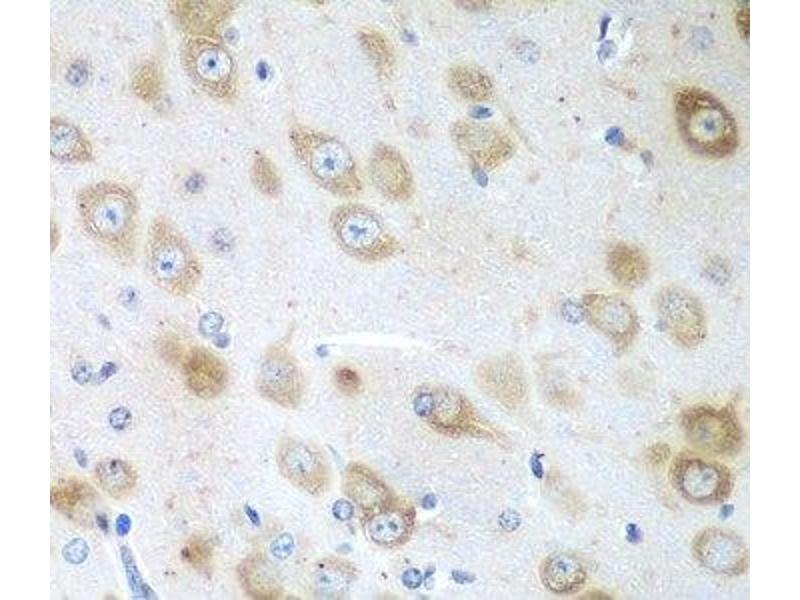
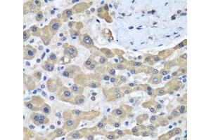
Application Notes
- WB 1:500-1:2000 IHC 1:50-1:200 IF 1:50-1:200
-
Restrictions
- For Research Use only
-
-
-
Format
- Liquid
-
Concentration
- 1 mg/mL
-
Buffer
- PBS with 0.02 % sodium azide, 50 % glycerol, pH 7.3
-
Preservative
- Sodium azide
-
Precaution of Use
- This product contains Sodium azide: a POISONOUS AND HAZARDOUS SUBSTANCE which should be handled by trained staff only.
-
Storage
- -20 °C
-
Storage Comment
- Store at -20°C. Avoid freeze / thaw cycles.
-
-
- GFM1 (G-Elongation Factor, Mitochondrial 1 (GFM1))
-
Alternative Name
- GFM1
-
Background
- Eukaryotes contain two protein translational systems, one in the cytoplasm and one in the mitochondria. Mitochondrial translation is crucial for maintaining mitochondrial function and mutations in this system lead to a breakdown in the respiratory chain-oxidative phosphorylation system and to impaired maintenance of mitochondrial DNA. This gene encodes one of the mitochondrial translation elongation factors. Its role in the regulation of normal mitochondrial function and in different disease states attributed to mitochondrial dysfunction is not known.
-
Molecular Weight
-
Observed_MW: 100 kDa
Calculated_MW: 83 kDa/85 kDa
-
Gene ID
- 85476
-
UniProt
- Q96RP9
Target
-