Phone:
+1 877 302 8632
Fax:
+1 888 205 9894 (Toll-free)
E-Mail:
orders@antibodies-online.com

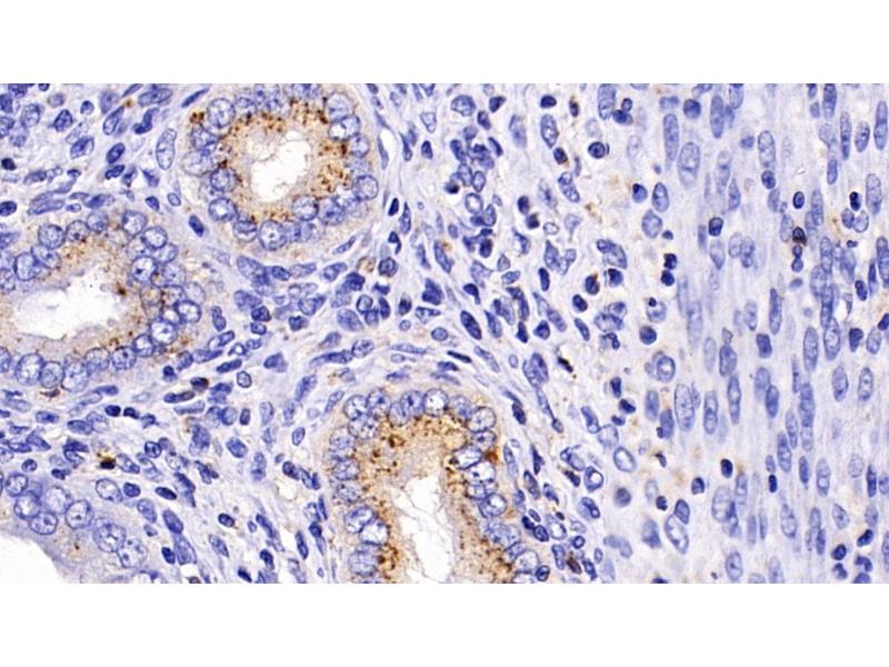
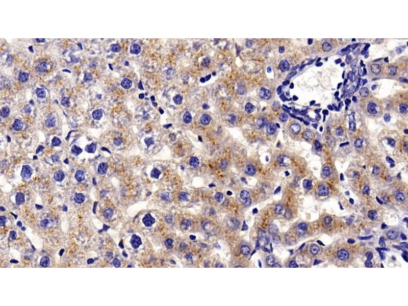
Prosaposin antibody (AA 17-524)

This Rabbit Polyclonal antibody specifically detects Prosaposin in WB, IHC, IF and ICC. It exhibits reactivity toward Human.
Catalog No. ABIN7435130
$326.15
Plus shipping costs $50.00
Shipping to: United States
Delivery in 13 to 17 Business Days

Quick Overview for Prosaposin antibody (AA 17-524) (ABIN7435130)

Target

See all Prosaposin (PSAP) Antibodies
Prosaposin (PSAP)

Reactivity

  • 56
  • 25
  • 24
Human

Host

  • 57
  • 15
Rabbit

Clonality

  • 48
  • 24
Polyclonal

Conjugate

  • 36
  • 4
  • 4
  • 3
  • 2
  • 2
  • 2
  • 2
  • 2
  • 2
  • 1
  • 1
  • 1
  • 1
  • 1
  • 1
  • 1
  • 1
  • 1
  • 1
  • 1
  • 1
  • 1
This Prosaposin antibody is un-conjugated

Application

  • 55
  • 30
  • 23
  • 14
  • 14
  • 12
  • 9
  • 7
  • 6
  • 5
  • 5
  • 1
  • 1
  • 1
  • 1
Western Blotting (WB), Immunohistochemistry (IHC), Immunofluorescence (IF), Immunocytochemistry (ICC)
  • Binding Specificity

    • 15
    • 5
    • 4
    • 2
    • 2
    • 2
    • 2
    • 1
    • 1
    • 1
    • 1
    • 1
    • 1
    • 1
    • 1
    • 1
    • 1
    • 1
    • 1
    AA 17-524

    Purpose

    Polyclonal Antibody to Prosaposin (PSAP)

    Specificity

    The antibody is a rabbit polyclonal antibody raised against PSAP. It has been selected for its ability to recognize PSAP in immunohistochemical staining and western blotting.

    Cross-Reactivity

    Pig, Rat

    Purification

    Antigen-specific affinity chromatography followed by Protein A affinity chromatography

    Immunogen

    Recombinant Prosaposin (PSAP) corresdonding to Gly17~Asn524 with N-terminal His Tag

    Isotype

    IgG
  • Application Notes

    Western blotting: 0.01-2 μg/mL,Immunohistochemistry: 5-20 μg/mL,Immunocytochemistry: 5-20 μg/mL,Optimal working dilutions must be determined by end user.

    Comment

    The thermal stability is described by the loss rate. The loss rate was determined by accelerated thermal degradation test, that is, incubate the protein at 37°C for 48h, and no obvious degradation and precipitation were observed. The loss rate is less than 5% within the expiration date under appropriate storage condition.

    Restrictions

    For Research Use only
  • Format

    Liquid

    Concentration

    0.5 mg/mL

    Buffer

    0.01M PBS, pH 7.4, containing 0.05 % Proclin-300, 50 % glycerol.

    Preservative

    ProClin

    Precaution of Use

    This product contains ProClin: a POISONOUS AND HAZARDOUS SUBSTANCE which should be handled by trained staff only.

    Storage

    4 °C,-20 °C

    Storage Comment

    Store at 4°C for frequent use. Stored at -20°C in a manual defrost freezer for two year without detectable loss of activity. Avoid repeated freeze-thaw cycles.

    Expiry Date

    24 months
  • Target

    Prosaposin (PSAP)

    Alternative Name

    PSAP

    Background

    SAP1, GLBA, CSAct, Dispersin, Pro-Saposin, Proactivator polypeptide, Glucosylceramidase activator, Sulfatide/GM1 activator, Cerebroside sulfate activator, Sphingolipid Activator 1

    UniProt

    P07602

    Pathways

    Positive Regulation of Endopeptidase Activity
You are here:
Chat with us!