Phone:
+1 877 302 8632
Fax:
+1 888 205 9894 (Toll-free)
E-Mail:
orders@antibodies-online.com

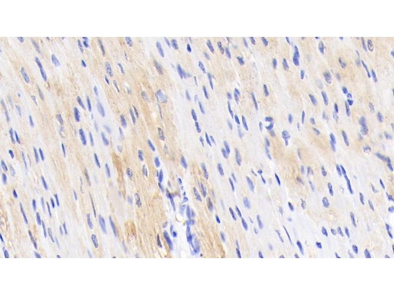
Cardiac Troponin T2 antibody (AA 56-271)

The Rabbit Polyclonal anti-Cardiac Troponin T2 antibody (ABIN7441007) specifically detects Cardiac Troponin T2 in WB, IHC, IP and ICC. The antibody is reactive with Pig samples.
Catalog No. ABIN7441007
$375.22
Plus shipping costs $50.00
Shipping to: United States
Delivery in 13 to 17 Business Days

Quick Overview for Cardiac Troponin T2 antibody (AA 56-271) (ABIN7441007)

Target

See all Cardiac Troponin T2 (cTnT) Antibodies
Cardiac Troponin T2 (cTnT) (Cardiac Troponin T (cTnT))

Reactivity

  • 96
  • 41
  • 33
  • 5
  • 5
  • 5
  • 4
  • 3
  • 3
  • 3
  • 2
  • 2
  • 2
  • 1
  • 1
  • 1
Pig

Host

  • 67
  • 39
  • 2
  • 1
Rabbit

Clonality

  • 58
  • 50
Polyclonal

Conjugate

  • 66
  • 10
  • 8
  • 6
  • 3
  • 3
  • 2
  • 2
  • 2
  • 2
  • 2
  • 2
  • 1
This Cardiac Troponin T2 antibody is un-conjugated

Application

  • 58
  • 46
  • 38
  • 14
  • 13
  • 13
  • 13
  • 6
  • 4
  • 4
  • 3
  • 3
  • 1
  • 1
  • 1
Western Blotting (WB), Immunohistochemistry (IHC), Immunoprecipitation (IP), Immunocytochemistry (ICC)
  • Binding Specificity

    • 7
    • 7
    • 6
    • 6
    • 5
    • 3
    • 2
    • 2
    • 2
    • 2
    • 1
    • 1
    • 1
    • 1
    • 1
    • 1
    • 1
    • 1
    • 1
    • 1
    • 1
    • 1
    • 1
    • 1
    • 1
    • 1
    AA 56-271

    Purpose

    Polyclonal Antibody to Troponin T Type 2, Cardiac (TNNT2)

    Specificity

    The antibody is a rabbit polyclonal antibody raised against TNNT2. It has been selected for its ability to recognize TNNT2 in immunohistochemical staining and western blotting.

    Cross-Reactivity

    Mouse

    Purification

    Antigen-specific affinity chromatography followed by Protein A affinity chromatography

    Immunogen

    Recombinant Troponin T Type 2, Cardiac (TNNT2) corresdonding to Glu56~Thr271 with N-terminal His Tag

    Isotype

    IgG
  • Application Notes

    Western blotting: 0.5-2 μg/mL,1:500-2000,Immunohistochemistry: 5-20 μg/mL,1:50-200,Immunocytochemistry: 5-20 μg/mL,1:50-200,Optimal working dilutions must be determined by end user.

    Comment

    The thermal stability is described by the loss rate. The loss rate was determined by accelerated thermal degradation test, that is, incubate the protein at 37°C for 48h, and no obvious degradation and precipitation were observed. The loss rate is less than 5% within the expiration date under appropriate storage condition.

    Restrictions

    For Research Use only
  • Format

    Liquid

    Concentration

    1 mg/mL

    Buffer

    PBS, pH 7.4, containing 0.02 % Sodium azide, 50 % glycerol.

    Preservative

    Sodium azide

    Precaution of Use

    This product contains Sodium azide: a POISONOUS AND HAZARDOUS SUBSTANCE which should be handled by trained staff only.

    Storage

    4 °C,-20 °C

    Storage Comment

    Store at 4°C for frequent use. Stored at -20°C in a manual defrost freezer for two year without detectable loss of activity. Avoid repeated freeze-thaw cycles.

    Expiry Date

    24 months
  • Target

    Cardiac Troponin T2 (cTnT) (Cardiac Troponin T (cTnT))

    Alternative Name

    TNNT2

    Background

    CMH2, cTnT, TnTc, Cardiomyopathy,Hypertrophic 2, Cardiac muscle troponin T

    UniProt

    H8WGD7
You are here:
Chat with us!