Phone:
+1 877 302 8632
Fax:
+1 888 205 9894 (Toll-free)
E-Mail:
orders@antibodies-online.com

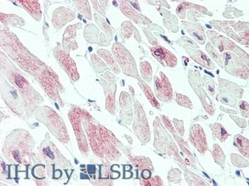
MYLK3 antibody (AA 555-786)

The Rabbit Polyclonal anti-MYLK3 antibody (ABIN7443302) specifically detects MYLK3 in WB, IHC, IP and ICC. The antibody is reactive with Human samples.
Catalog No. ABIN7443302
$326.15
Plus shipping costs $50.00
Shipping to: United States
Delivery in 13 to 17 Business Days

Quick Overview for MYLK3 antibody (AA 555-786) (ABIN7443302)

Target

See all MYLK3 Antibodies
MYLK3 (Myosin Light Chain Kinase 3 (MYLK3))

Reactivity

  • 46
  • 37
  • 19
  • 1
  • 1
  • 1
  • 1
Human

Host

  • 56
Rabbit

Clonality

  • 56
Polyclonal

Conjugate

  • 21
  • 4
  • 4
  • 4
  • 3
  • 3
  • 1
  • 1
  • 1
  • 1
  • 1
  • 1
  • 1
  • 1
  • 1
  • 1
  • 1
  • 1
  • 1
  • 1
  • 1
  • 1
  • 1
This MYLK3 antibody is un-conjugated

Application

  • 46
  • 24
  • 19
  • 4
  • 2
  • 1
  • 1
  • 1
Western Blotting (WB), Immunohistochemistry (IHC), Immunoprecipitation (IP), Immunocytochemistry (ICC)
  • Binding Specificity

    • 8
    • 8
    • 7
    • 2
    • 2
    • 2
    • 2
    • 1
    • 1
    • 1
    • 1
    AA 555-786

    Purpose

    Polyclonal Antibody to Myosin Light Chain Kinase 3 (MYLK3)

    Specificity

    The antibody is a rabbit polyclonal antibody raised against MYLK3. It has been selected for its ability to recognize MYLK3 in immunohistochemical staining and western blotting.

    Purification

    Antigen-specific affinity chromatography followed by Protein A affinity chromatography

    Immunogen

    Recombinant Myosin Light Chain Kinase 3 (MYLK3) corresdonding to Glu555~Ser786 with N-terminal His Tag

    Isotype

    IgG
  • Application Notes

    Western blotting: 0.01-2 μg/mL,Immunohistochemistry: 5-20 μg/mL,Immunocytochemistry: 5-20 μg/mL,Optimal working dilutions must be determined by end user.

    Comment

    The thermal stability is described by the loss rate. The loss rate was determined by accelerated thermal degradation test, that is, incubate the protein at 37°C for 48h, and no obvious degradation and precipitation were observed. The loss rate is less than 5% within the expiration date under appropriate storage condition.

    Restrictions

    For Research Use only
  • Format

    Liquid

    Concentration

    0.5 mg/mL

    Buffer

    PBS, pH 7.4, containing 0.02 % Sodium azide, 50 % glycerol.

    Preservative

    Sodium azide

    Precaution of Use

    This product contains Sodium azide: a POISONOUS AND HAZARDOUS SUBSTANCE which should be handled by trained staff only.

    Storage

    4 °C,-20 °C

    Storage Comment

    Store at 4°C for frequent use. Stored at -20°C in a manual defrost freezer for two year without detectable loss of activity. Avoid repeated freeze-thaw cycles.

    Expiry Date

    24 months
  • Target

    MYLK3 (Myosin Light Chain Kinase 3 (MYLK3))

    Alternative Name

    MYLK3

    Background

    MLCK3, MLCK, MLCK2, caMLCK, MLC Kinase, Cardiac Myosin Light Chain Kinase, Cardiac-MyBP-C-associated Ca/CaM kinase

    UniProt

    Q32MK0

    Pathways

    Regulation of Muscle Cell Differentiation
You are here:
Chat with us!