Phone:
+1 877 302 8632
Fax:
+1 888 205 9894 (Toll-free)
E-Mail:
orders@antibodies-online.com

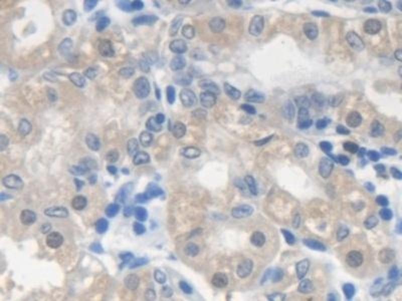
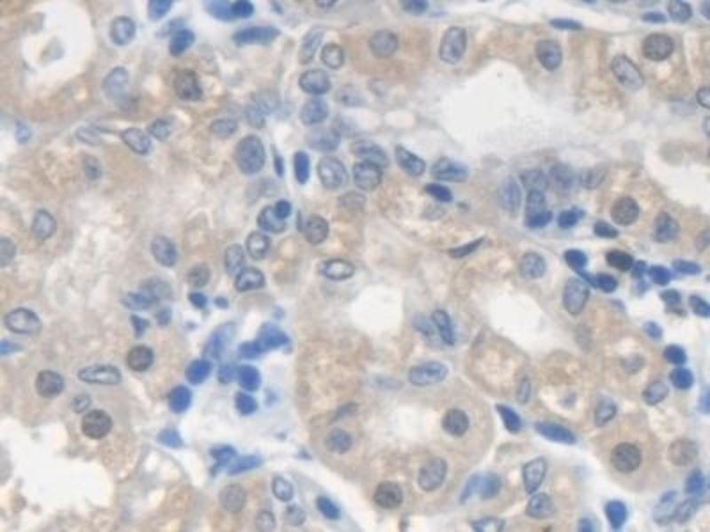
SMN2 antibody (AA 16-251)

The Rabbit Polyclonal anti-SMN2 antibody is suitable to detect SMN2 in samples from Human. It has been validated for WB and IHC.
Catalog No. ABIN7435538
$326.15
Plus shipping costs $50.00
Shipping to: United States
Delivery in 13 to 17 Business Days

Quick Overview for SMN2 antibody (AA 16-251) (ABIN7435538)

Target

See all SMN2 Antibodies
SMN2 (Survival of Motor Neuron 2, Centromeric (SMN2))

Reactivity

  • 12
  • 1
  • 1
  • 1
  • 1
  • 1
  • 1
Human

Host

  • 7
  • 6
Rabbit

Clonality

  • 9
  • 4
Polyclonal

Conjugate

  • 13
This SMN2 antibody is un-conjugated

Application

  • 10
  • 5
  • 4
  • 3
  • 3
  • 2
  • 1
  • 1
Western Blotting (WB), Immunohistochemistry (IHC)
  • Binding Specificity

    • 3
    • 2
    • 1
    • 1
    • 1
    • 1
    AA 16-251

    Purpose

    Polyclonal Antibody to Survival Of Motor Neuron 2, Centromeric (SMN2)

    Specificity

    The antibody is a rabbit polyclonal antibody raised against SMN2. It has been selected for its ability to recognize SMN2 in immunohistochemical staining and western blotting.

    Cross-Reactivity

    Mouse

    Purification

    Antigen-specific affinity chromatography followed by Protein A affinity chromatography

    Immunogen

    Recombinant Survival Of Motor Neuron 2, Centromeric (SMN2) corresdonding to Glu16~Pro251 with N-terminal His Tag

    Isotype

    IgG
  • Application Notes

    Western blotting: 0.01-2 μg/mL,Immunohistochemistry: 5-20 μg/mL,Optimal working dilutions must be determined by end user.

    Comment

    The thermal stability is described by the loss rate. The loss rate was determined by accelerated thermal degradation test, that is, incubate the protein at 37°C for 48h, and no obvious degradation and precipitation were observed. The loss rate is less than 5% within the expiration date under appropriate storage condition.

    Restrictions

    For Research Use only
  • Format

    Liquid

    Concentration

    0.5 mg/mL

    Buffer

    0.01M PBS, pH 7.4, containing 0.05 % Proclin-300, 50 % glycerol.

    Preservative

    ProClin

    Precaution of Use

    This product contains ProClin: a POISONOUS AND HAZARDOUS SUBSTANCE which should be handled by trained staff only.

    Storage

    4 °C,-20 °C

    Storage Comment

    Store at 4°C for frequent use. Stored at -20°C in a manual defrost freezer for two year without detectable loss of activity. Avoid repeated freeze-thaw cycles.

    Expiry Date

    24 months
  • Target

    SMN2 (Survival of Motor Neuron 2, Centromeric (SMN2))

    Alternative Name

    SMN2

    Background

    SMNC, SMNT, SMA2, BCD541, SMA3, SMA4, SMA1, SMA

    UniProt

    Q16637

    Pathways

    Ribonucleoprotein Complex Subunit Organization
You are here:
Chat with us!