Phone:
+1 877 302 8632
Fax:
+1 888 205 9894 (Toll-free)
E-Mail:
orders@antibodies-online.com

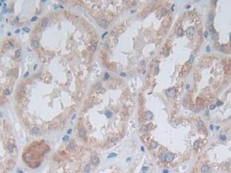
OAT antibody (AA 1-301)

The Rabbit Polyclonal anti-OAT antibody (ABIN7441106) specifically detects OAT in WB, IHC, ICC and IP. The antibody is reactive with Human samples.
Catalog No. ABIN7441106
$326.15
Plus shipping costs $50.00
Shipping to: United States
Delivery in 13 to 17 Business Days

Quick Overview for OAT antibody (AA 1-301) (ABIN7441106)

Target

See all OAT Antibodies
OAT (Ornithine Aminotransferase (OAT))

Reactivity

  • 45
  • 21
  • 20
  • 4
  • 4
  • 4
  • 3
  • 3
  • 3
  • 3
  • 1
  • 1
  • 1
  • 1
Human

Host

  • 43
  • 3
Rabbit

Clonality

  • 43
  • 3
Polyclonal

Conjugate

  • 27
  • 3
  • 2
  • 2
  • 2
  • 2
  • 2
  • 2
  • 1
  • 1
  • 1
  • 1
This OAT antibody is un-conjugated

Application

  • 29
  • 14
  • 10
  • 6
  • 4
  • 4
  • 4
  • 2
  • 1
Western Blotting (WB), Immunohistochemistry (IHC), Immunocytochemistry (ICC), Immunoprecipitation (IP)
  • Binding Specificity

    • 8
    • 2
    • 2
    • 2
    • 2
    • 2
    • 1
    • 1
    • 1
    • 1
    • 1
    • 1
    • 1
    • 1
    • 1
    AA 1-301

    Purpose

    Polyclonal Antibody to Ornithine Aminotransferase (OAT)

    Specificity

    The antibody is a rabbit polyclonal antibody raised against OAT. It has been selected for its ability to recognize OAT in immunohistochemical staining and western blotting.

    Cross-Reactivity

    Mouse, Pig, Rat

    Purification

    Antigen-specific affinity chromatography followed by Protein A affinity chromatography

    Immunogen

    Recombinant Ornithine Aminotransferase (OAT) corresdonding to Met1~Phe301

    Isotype

    IgG
  • Application Notes

    Western blotting: 0.01-2 μg/mL,Immunohistochemistry: 5-30 μg/mL,Immunocytochemistry: 5-30 μg/mL,Optimal working dilutions must be determined by end user.

    Comment

    The thermal stability is described by the loss rate. The loss rate was determined by accelerated thermal degradation test, that is, incubate the protein at 37°C for 48h, and no obvious degradation and precipitation were observed. The loss rate is less than 5% within the expiration date under appropriate storage condition.

    Restrictions

    For Research Use only
  • Format

    Liquid

    Concentration

    0.5 mg/mL

    Buffer

    0.01M PBS, pH 7.4, containing 0.05 % Proclin-300, 50 % glycerol.

    Preservative

    ProClin

    Precaution of Use

    This product contains ProClin: a POISONOUS AND HAZARDOUS SUBSTANCE which should be handled by trained staff only.

    Storage

    4 °C,-20 °C

    Storage Comment

    Store at 4°C for frequent use. Stored at -20°C in a manual defrost freezer for two year without detectable loss of activity. Avoid repeated freeze-thaw cycles.

    Expiry Date

    24 months
  • Target

    OAT (Ornithine Aminotransferase (OAT))

    Alternative Name

    Ornithine Aminotransferase

    Background

    HOGA, Grate Arophy, Ornithine delta-aminotransferase, Ornithine--oxo-acid aminotransferase

    UniProt

    P04181
You are here:
Chat with us!