Phone:
+1 877 302 8632
Fax:
+1 888 205 9894 (Toll-free)
E-Mail:
orders@antibodies-online.com

PCDH15 antibody (AA 45-270)

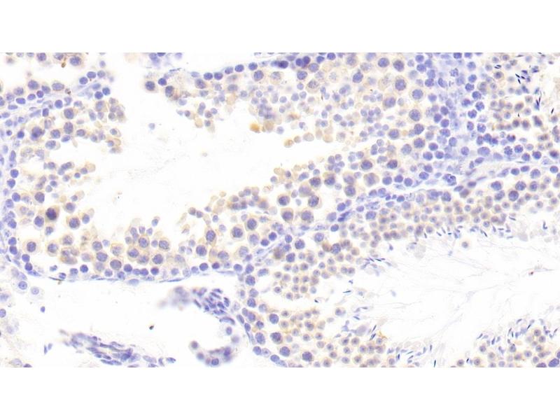
The Rabbit Polyclonal anti-PCDH15 antibody (ABIN7435715) specifically detects PCDH15 in WB and IHC. The antibody is reactive with Mouse samples.
Catalog No. ABIN7435715
$333.16
Plus shipping costs $50.00
Shipping to: United States
Delivery in 13 to 17 Business Days

Quick Overview for PCDH15 antibody (AA 45-270) (ABIN7435715)

Target

See all PCDH15 Antibodies
PCDH15 (Protocadherin-15 (PCDH15))

Reactivity

  • 15
  • 6
  • 6
  • 2
  • 2
  • 1
  • 1
  • 1
  • 1
  • 1
Mouse

Host

  • 11
  • 3
  • 2
Rabbit

Clonality

  • 14
  • 2
Polyclonal

Conjugate

  • 16
This PCDH15 antibody is un-conjugated

Application

  • 13
  • 7
  • 4
  • 4
  • 3
  • 2
  • 2
  • 1
  • 1
  • 1
Western Blotting (WB), Immunohistochemistry (IHC)
  • Binding Specificity

    • 2
    • 2
    • 2
    • 1
    • 1
    • 1
    • 1
    AA 45-270

    Purpose

    Polyclonal Antibody to Protocadherin 15 (PCDH15)

    Specificity

    The antibody is a rabbit polyclonal antibody raised against PCDH15. It has been selected for its ability to recognize PCDH15 in immunohistochemical staining and western blotting.

    Purification

    Antigen-specific affinity chromatography followed by Protein A affinity chromatography

    Immunogen

    Recombinant Protocadherin 15 (PCDH15) corresdonding to Pro45~Phe270

    Isotype

    IgG
  • Application Notes

    Western blotting: 0.01-2 μg/mL,Immunohistochemistry: 5-20 μg/mL,Optimal working dilutions must be determined by end user.

    Comment

    The thermal stability is described by the loss rate. The loss rate was determined by accelerated thermal degradation test, that is, incubate the protein at 37°C for 48h, and no obvious degradation and precipitation were observed. The loss rate is less than 5% within the expiration date under appropriate storage condition.

    Restrictions

    For Research Use only
  • Format

    Liquid

    Concentration

    0.5 mg/mL

    Buffer

    0.01M PBS, pH 7.4, containing 0.05 % Proclin-300, 50 % glycerol.

    Preservative

    ProClin

    Precaution of Use

    This product contains ProClin: a POISONOUS AND HAZARDOUS SUBSTANCE which should be handled by trained staff only.

    Storage

    4 °C,-20 °C

    Storage Comment

    Store at 4°C for frequent use. Stored at -20°C in a manual defrost freezer for two year without detectable loss of activity. Avoid repeated freeze-thaw cycles.

    Expiry Date

    24 months
  • Target

    PCDH15 (Protocadherin-15 (PCDH15))

    Alternative Name

    PCDH15

    Background

    USH1F, DFNB23, CDHR15, Deafness,Autosomal Recessive 23, Cadherin-Related Family Member 15

    UniProt

    Q99PJ1

    Pathways

    Sensory Perception of Sound
You are here:
Chat with us!