Phone:
+1 877 302 8632
Fax:
+1 888 205 9894 (Toll-free)
E-Mail:
orders@antibodies-online.com

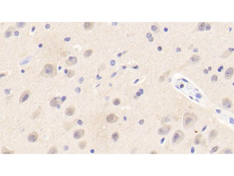
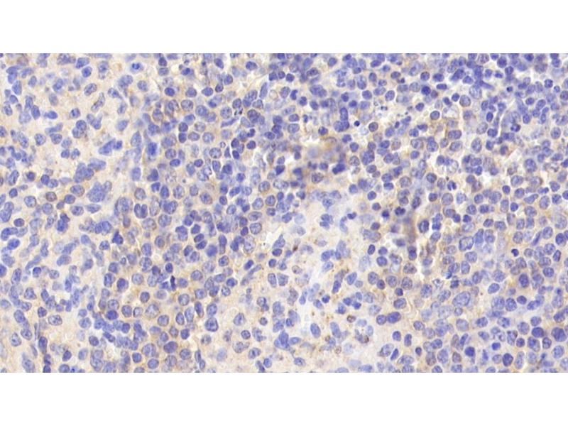
Ephrin A3 antibody (AA 30-238)

The Rabbit Polyclonal anti-Ephrin A3 antibody (ABIN7435721) specifically detects Ephrin A3 in WB and IHC. The antibody is reactive with Human samples.
Catalog No. ABIN7435721
$326.15
Plus shipping costs $50.00
Shipping to: United States
Delivery in 13 to 17 Business Days

Quick Overview for Ephrin A3 antibody (AA 30-238) (ABIN7435721)

Target

See all Ephrin A3 (EFNA3) Antibodies
Ephrin A3 (EFNA3)

Reactivity

  • 33
  • 14
  • 14
Human

Host

  • 24
  • 9
Rabbit

Clonality

  • 27
  • 6
Polyclonal

Conjugate

  • 26
  • 1
  • 1
  • 1
  • 1
  • 1
  • 1
  • 1
This Ephrin A3 antibody is un-conjugated

Application

  • 22
  • 11
  • 9
  • 9
  • 4
  • 3
  • 2
  • 2
  • 1
Western Blotting (WB), Immunohistochemistry (IHC)
  • Binding Specificity

    • 7
    • 5
    • 2
    • 2
    • 1
    • 1
    • 1
    • 1
    • 1
    • 1
    AA 30-238

    Purpose

    Polyclonal Antibody to Ephrin A3 (EFNA3)

    Specificity

    The antibody is a rabbit polyclonal antibody raised against EFNA3. It has been selected for its ability to recognize EFNA3 in immunohistochemical staining and western blotting.

    Cross-Reactivity

    Mouse, Pig

    Purification

    Antigen-specific affinity chromatography followed by Protein A affinity chromatography

    Immunogen

    Recombinant Ephrin A3 (EFNA3) corresdonding to Gly30~Ser238

    Isotype

    IgG
  • Application Notes

    Western blotting: 0.01-2 μg/mL,Immunohistochemistry: 5-20 μg/mL,Optimal working dilutions must be determined by end user.

    Comment

    The thermal stability is described by the loss rate. The loss rate was determined by accelerated thermal degradation test, that is, incubate the protein at 37°C for 48h, and no obvious degradation and precipitation were observed. The loss rate is less than 5% within the expiration date under appropriate storage condition.

    Restrictions

    For Research Use only
  • Format

    Liquid

    Concentration

    0.45 mg/mL

    Buffer

    PBS, pH 7.4, containing 0.02 % Sodium azide, 50 % glycerol.

    Preservative

    Sodium azide

    Precaution of Use

    This product contains Sodium azide: a POISONOUS AND HAZARDOUS SUBSTANCE which should be handled by trained staff only.

    Storage

    4 °C,-20 °C

    Storage Comment

    Store at 4°C for frequent use. Stored at -20°C in a manual defrost freezer for two year without detectable loss of activity. Avoid repeated freeze-thaw cycles.

    Expiry Date

    24 months
  • Target

    Ephrin A3 (EFNA3)

    Alternative Name

    EFNA3

    Background

    EFL2, EPLG3, Ehk1-L, LERK3, EHK1 ligand, EPH-related receptor tyrosine kinase ligand 3

    UniProt

    P52797

    Pathways

    RTK Signaling
You are here:
Chat with us!