Phone:
+1 877 302 8632
Fax:
+1 888 205 9894 (Toll-free)
E-Mail:
orders@antibodies-online.com

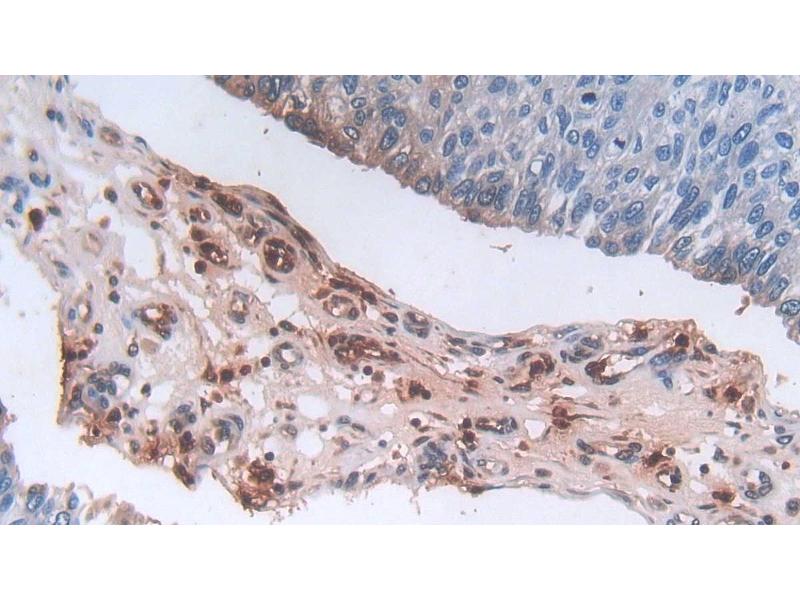
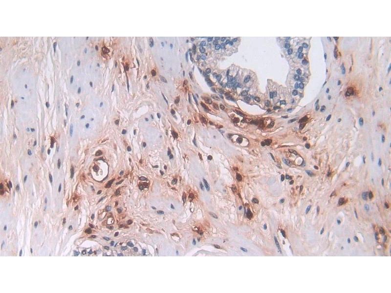
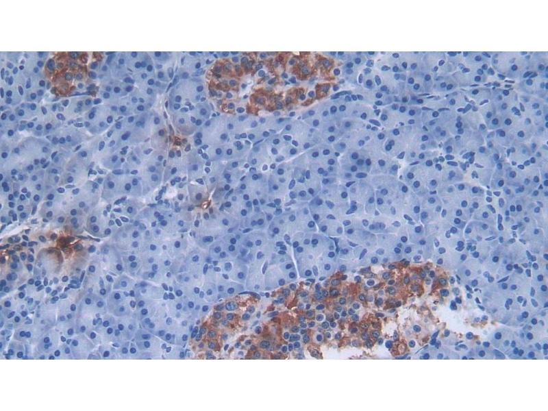
DEFa3 antibody (AA 21-94)

The Rabbit Polyclonal anti-DEFa3 antibody (ABIN7439243) specifically detects DEFa3 in WB and IHC. The antibody is reactive with Human samples.
Catalog No. ABIN7439243
$326.15
Plus shipping costs $50.00
Shipping to: United States
Delivery in 13 to 17 Business Days

Quick Overview for DEFa3 antibody (AA 21-94) (ABIN7439243)

Target

See all DEFa3 Antibodies
DEFa3 (Defensin, alpha 3, Neutrophil-Specific (DEFa3))

Reactivity

  • 25
  • 3
Human

Host

  • 26
  • 1
Rabbit

Clonality

  • 26
  • 1
Polyclonal

Conjugate

  • 17
  • 4
  • 3
  • 1
  • 1
  • 1
This DEFa3 antibody is un-conjugated

Application

  • 22
  • 13
  • 12
  • 5
  • 3
  • 3
  • 1
  • 1
Western Blotting (WB), Immunohistochemistry (IHC)
  • Binding Specificity

    • 8
    • 3
    • 2
    • 2
    • 2
    • 1
    • 1
    • 1
    • 1
    • 1
    • 1
    AA 21-94

    Purpose

    Polyclonal Antibody to Defensin Alpha 3, Neutrophil Specific (DEFa3)

    Specificity

    The antibody is a rabbit polyclonal antibody raised against DEFa3. It has been selected for its ability to recognize DEFa3 in immunohistochemical staining and western blotting.

    Cross-Reactivity

    Pig

    Purification

    Antigen-specific affinity chromatography followed by Protein A affinity chromatography

    Immunogen

    Recombinant Defensin Alpha 3, Neutrophil Specific (DEFa3) corresdonding to Pro21~Cys94 with N-terminal His Tag

    Isotype

    IgG
  • Application Notes

    Western blotting: 0.01-3 μg/mL,Immunohistochemistry: 5-30 μg/mL,Optimal working dilutions must be determined by end user.

    Comment

    The thermal stability is described by the loss rate. The loss rate was determined by accelerated thermal degradation test, that is, incubate the protein at 37°C for 48h, and no obvious degradation and precipitation were observed. The loss rate is less than 5% within the expiration date under appropriate storage condition.

    Restrictions

    For Research Use only
  • Format

    Liquid

    Concentration

    0.5 mg/mL

    Buffer

    0.01M PBS, pH 7.4, containing 0.05 % Proclin-300, 50 % glycerol.

    Preservative

    ProClin

    Precaution of Use

    This product contains ProClin: a POISONOUS AND HAZARDOUS SUBSTANCE which should be handled by trained staff only.

    Storage

    4 °C,-20 °C

    Storage Comment

    Store at 4°C for frequent use. Stored at -20°C in a manual defrost freezer for two year without detectable loss of activity. Avoid repeated freeze-thaw cycles.

    Expiry Date

    24 months
  • Target

    DEFa3 (Defensin, alpha 3, Neutrophil-Specific (DEFa3))

    Alternative Name

    DEFa3

    Background

    HNP3, DEF3, HNP-2, Neutrophil defensin 2

    UniProt

    P59666

    Pathways

    Cellular Response to Molecule of Bacterial Origin
You are here:
Chat with us!