Phone:
+1 877 302 8632
Fax:
+1 888 205 9894 (Toll-free)
E-Mail:
orders@antibodies-online.com

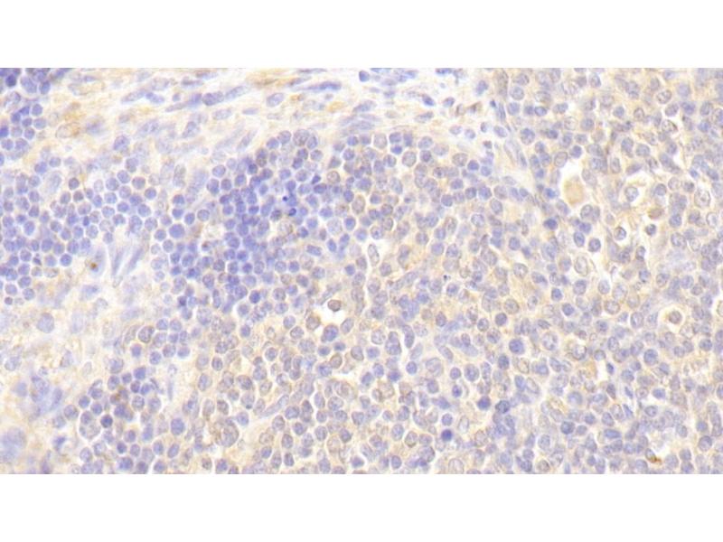
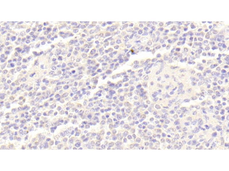
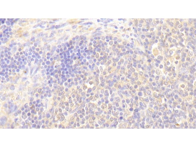
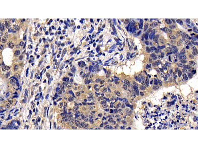
BLK antibody (AA 241-494)

The Rabbit Polyclonal anti-BLK antibody is suitable to detect BLK in samples from Human. It has been validated for WB, IHC, IP and ICC.
Catalog No. ABIN7441157
$326.15
Plus shipping costs $50.00
Shipping to: United States
Delivery in 13 to 17 Business Days

Quick Overview for BLK antibody (AA 241-494) (ABIN7441157)

Target

See all BLK Antibodies
BLK (B Lymphoid Tyrosine Kinase (BLK))

Reactivity

  • 65
  • 26
  • 17
  • 2
  • 1
  • 1
  • 1
  • 1
  • 1
  • 1
  • 1
Human

Host

  • 53
  • 9
  • 1
Rabbit

Clonality

  • 55
  • 10
Polyclonal

Conjugate

  • 38
  • 3
  • 2
  • 2
  • 2
  • 1
  • 1
  • 1
  • 1
  • 1
  • 1
  • 1
  • 1
  • 1
  • 1
  • 1
  • 1
  • 1
  • 1
  • 1
  • 1
  • 1
  • 1
This BLK antibody is un-conjugated

Application

  • 49
  • 35
  • 25
  • 13
  • 13
  • 7
  • 3
  • 3
  • 2
  • 1
  • 1
  • 1
Western Blotting (WB), Immunohistochemistry (IHC), Immunoprecipitation (IP), Immunocytochemistry (ICC)
  • Binding Specificity

    • 15
    • 9
    • 8
    • 5
    • 4
    • 4
    • 3
    • 2
    • 2
    • 1
    • 1
    • 1
    • 1
    • 1
    • 1
    • 1
    • 1
    AA 241-494

    Purpose

    Polyclonal Antibody to B-Lymphoid Tyrosine Kinase (BLK)

    Specificity

    The antibody is a rabbit polyclonal antibody raised against BLK. It has been selected for its ability to recognize BLK in immunohistochemical staining and western blotting.

    Cross-Reactivity

    Mouse, Pig, Rat

    Purification

    Antigen-specific affinity chromatography followed by Protein A affinity chromatography

    Immunogen

    Recombinant B-Lymphoid Tyrosine Kinase (BLK) corresdonding to Leu241~Tyr494

    Isotype

    IgG
  • Application Notes

    Western blotting: 0.01-2 μg/mL,Immunohistochemistry: 5-20 μg/mL,Immunocytochemistry: 5-20 μg/mL,Optimal working dilutions must be determined by end user.

    Comment

    The thermal stability is described by the loss rate. The loss rate was determined by accelerated thermal degradation test, that is, incubate the protein at 37°C for 48h, and no obvious degradation and precipitation were observed. The loss rate is less than 5% within the expiration date under appropriate storage condition.

    Restrictions

    For Research Use only
  • Format

    Liquid

    Concentration

    0.5 mg/mL

    Buffer

    PBS, pH 7.4, containing 0.02 % Sodium azide, 50 % glycerol.

    Preservative

    Sodium azide

    Precaution of Use

    This product contains Sodium azide: a POISONOUS AND HAZARDOUS SUBSTANCE which should be handled by trained staff only.

    Storage

    4 °C,-20 °C

    Storage Comment

    Store at 4°C for frequent use. Stored at -20°C in a manual defrost freezer for two year without detectable loss of activity. Avoid repeated freeze-thaw cycles.

    Expiry Date

    24 months
  • Target

    BLK (B Lymphoid Tyrosine Kinase (BLK))

    Alternative Name

    B-Lymphoid Tyrosine Kinase

    Background

    Tyrosine-protein kinase BLK, p55-Blk

    UniProt

    P51451

    Pathways

    Positive Regulation of Peptide Hormone Secretion, CXCR4-mediated Signaling Events, Thromboxane A2 Receptor Signaling
You are here:
Chat with us!