Phone:
+1 877 302 8632
Fax:
+1 888 205 9894 (Toll-free)
E-Mail:
orders@antibodies-online.com

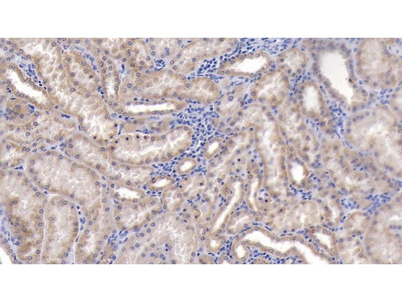
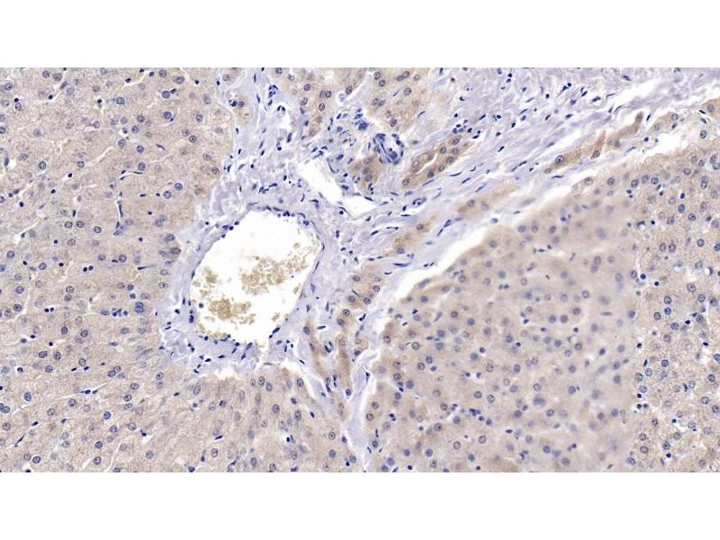
Peroxiredoxin 3 antibody (AA 5-233)

The Rabbit Polyclonal anti-Peroxiredoxin 3 antibody is suitable to detect Peroxiredoxin 3 in samples from Human. It has been validated for WB, IHC, ICC and IP.
Catalog No. ABIN7438094
$326.15
Plus shipping costs $50.00
Shipping to: United States
Delivery in 13 to 17 Business Days

Quick Overview for Peroxiredoxin 3 antibody (AA 5-233) (ABIN7438094)

Target

See all Peroxiredoxin 3 (PRDX3) Antibodies
Peroxiredoxin 3 (PRDX3)

Reactivity

  • 113
  • 43
  • 27
  • 2
Human

Host

  • 111
  • 11
  • 1
  • 1
Rabbit

Clonality

  • 85
  • 38
Polyclonal

Conjugate

  • 55
  • 13
  • 6
  • 5
  • 5
  • 5
  • 5
  • 5
  • 5
  • 2
  • 2
  • 2
  • 1
  • 1
  • 1
  • 1
  • 1
  • 1
  • 1
  • 1
  • 1
  • 1
  • 1
  • 1
  • 1
  • 1
This Peroxiredoxin 3 antibody is un-conjugated

Application

  • 93
  • 51
  • 29
  • 24
  • 24
  • 23
  • 23
  • 14
  • 13
  • 13
  • 3
  • 3
  • 3
  • 2
  • 1
  • 1
Western Blotting (WB), Immunohistochemistry (IHC), Immunocytochemistry (ICC), Immunoprecipitation (IP)
  • Binding Specificity

    • 15
    • 15
    • 6
    • 5
    • 4
    • 4
    • 3
    • 3
    • 2
    • 2
    • 2
    • 2
    • 1
    • 1
    • 1
    • 1
    • 1
    • 1
    AA 5-233

    Purpose

    Polyclonal Antibody to Peroxiredoxin 3 (PRDX3)

    Specificity

    The antibody is a rabbit polyclonal antibody raised against PRDX3. It has been selected for its ability to recognize PRDX3 in immunohistochemical staining and western blotting.

    Cross-Reactivity

    Mouse, Pig, Rat

    Purification

    Antigen-specific affinity chromatography followed by Protein A affinity chromatography

    Immunogen

    Recombinant Peroxiredoxin 3 (PRDX3) corresdonding to Val5~Trp233

    Isotype

    IgG
  • Application Notes

    Western blotting: 0.5-2 μg/mL,1:300-1200,Immunohistochemistry: 5-20 μg/mL,1:30-120,Immunocytochemistry: 5-20 μg/mL,1:30-120,Optimal working dilutions must be determined by end user.

    Comment

    The thermal stability is described by the loss rate. The loss rate was determined by accelerated thermal degradation test, that is, incubate the protein at 37°C for 48h, and no obvious degradation and precipitation were observed. The loss rate is less than 5% within the expiration date under appropriate storage condition.

    Restrictions

    For Research Use only
  • Format

    Liquid

    Concentration

    0.5 mg/mL

    Buffer

    0.01M PBS, pH 7.4, containing 0.05 % Proclin-300, 50 % glycerol.

    Preservative

    ProClin

    Precaution of Use

    This product contains ProClin: a POISONOUS AND HAZARDOUS SUBSTANCE which should be handled by trained staff only.

    Storage

    4 °C,-20 °C

    Storage Comment

    Store at 4°C for frequent use. Stored at -20°C in a manual defrost freezer for two year without detectable loss of activity. Avoid repeated freeze-thaw cycles.

    Expiry Date

    24 months
  • Target

    Peroxiredoxin 3 (PRDX3)

    Alternative Name

    PRDX3

    Background

    MER5, AOP-1, AOP1, SP-22, Antioxidant Protein 1, Thioredoxin-dependent peroxide reductase, mitochondrial

    UniProt

    P30048

    Pathways

    Ribonucleoside Biosynthetic Process, Methionine Biosynthetic Process
You are here:
Chat with us!