Phone:
+1 877 302 8632
Fax:
+1 888 205 9894 (Toll-free)
E-Mail:
orders@antibodies-online.com

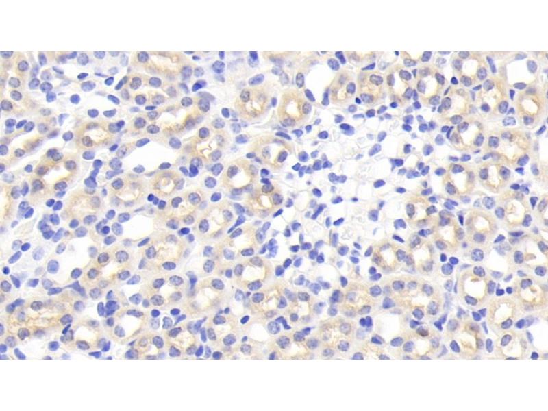
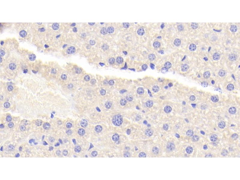
TNIP2 antibody (AA 170-413)

The Rabbit Polyclonal anti-TNIP2 antibody is suitable to detect TNIP2 in samples from Mouse. It has been validated for WB, IHC, IP and ICC.
Catalog No. ABIN7439429
$333.16
Plus shipping costs $50.00
Shipping to: United States
Delivery in 13 to 17 Business Days

Quick Overview for TNIP2 antibody (AA 170-413) (ABIN7439429)

Target

See all TNIP2 Antibodies
TNIP2 (TNFAIP3 Interacting Protein 2 (TNIP2))

Reactivity

  • 45
  • 26
  • 14
  • 1
Mouse

Host

  • 48
Rabbit

Clonality

  • 48
Polyclonal

Conjugate

  • 22
  • 3
  • 2
  • 2
  • 1
  • 1
  • 1
  • 1
  • 1
  • 1
  • 1
  • 1
  • 1
  • 1
  • 1
  • 1
  • 1
  • 1
  • 1
  • 1
  • 1
  • 1
  • 1
This TNIP2 antibody is un-conjugated

Application

  • 35
  • 17
  • 13
  • 13
  • 9
  • 6
  • 4
  • 4
  • 3
  • 2
  • 2
Western Blotting (WB), Immunohistochemistry (IHC), Immunoprecipitation (IP), Immunocytochemistry (ICC)
  • Binding Specificity

    • 15
    • 7
    • 2
    • 2
    • 2
    • 2
    • 1
    • 1
    • 1
    • 1
    • 1
    • 1
    • 1
    AA 170-413

    Purpose

    Polyclonal Antibody to Tumor Necrosis Factor Alpha Induced Protein 3 Interacting Protein 2 (TNIP2)

    Specificity

    The antibody is a rabbit polyclonal antibody raised against TNIP2. It has been selected for its ability to recognize TNIP2 in immunohistochemical staining and western blotting.

    Cross-Reactivity

    Human

    Purification

    Antigen-specific affinity chromatography followed by Protein A affinity chromatography

    Immunogen

    Recombinant Tumor Necrosis Factor Alpha Induced Protein 3 Interacting Protein 2 (TNIP2) corresdonding to Ala170~Phe413 with N-terminal His Tag

    Isotype

    IgG
  • Application Notes

    Western blotting: 0.01-5 μg/mL,Immunohistochemistry: 5-20 μg/mL,Immunocytochemistry: 5-20 μg/mL,Optimal working dilutions must be determined by end user.

    Comment

    The thermal stability is described by the loss rate. The loss rate was determined by accelerated thermal degradation test, that is, incubate the protein at 37°C for 48h, and no obvious degradation and precipitation were observed. The loss rate is less than 5% within the expiration date under appropriate storage condition.

    Restrictions

    For Research Use only
  • Format

    Liquid

    Concentration

    0.3 mg/mL

    Buffer

    0.01M PBS, pH 7.4, containing 0.05 % Proclin-300, 50 % glycerol.

    Preservative

    ProClin

    Precaution of Use

    This product contains ProClin: a POISONOUS AND HAZARDOUS SUBSTANCE which should be handled by trained staff only.

    Storage

    4 °C,-20 °C

    Storage Comment

    Store at 4°C for frequent use. Stored at -20°C in a manual defrost freezer for two year without detectable loss of activity. Avoid repeated freeze-thaw cycles.

    Expiry Date

    24 months
  • Target

    TNIP2 (TNFAIP3 Interacting Protein 2 (TNIP2))

    Alternative Name

    TNIP2

    Background

    ABIN-2, ABIN2, FLIP1, KLIP, A20-binding inhibitor of NF-kappa-B activation 2, Fetal liver LKB1-interacting protein

    UniProt

    Q99JG7

    Pathways

    Activation of Innate immune Response, Cellular Response to Molecule of Bacterial Origin
You are here:
Chat with us!