Phone:
+1 877 302 8632
Fax:
+1 888 205 9894 (Toll-free)
E-Mail:
orders@antibodies-online.com

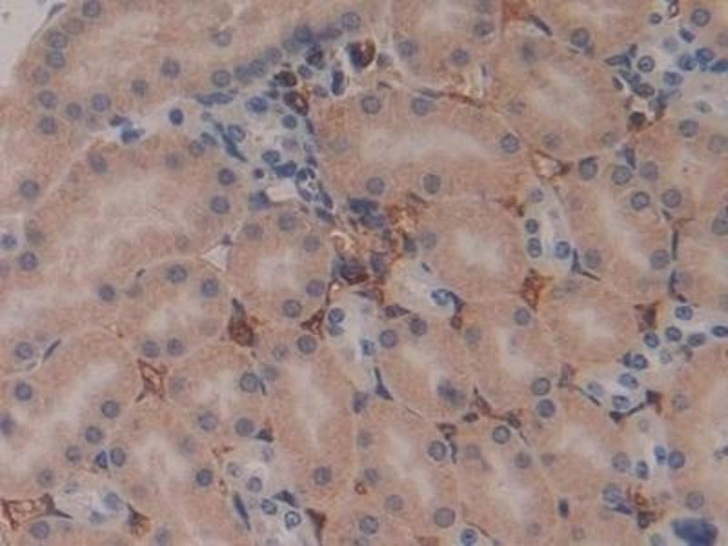
PZP antibody (AA 1224-1495)

The Rabbit Polyclonal anti-PZP antibody is suitable to detect PZP in samples from Mouse. It has been validated for WB, IHC, ICC and IP.
Catalog No. ABIN7438847
$333.16
Plus shipping costs $50.00
Shipping to: United States
Delivery in 13 to 17 Business Days

Quick Overview for PZP antibody (AA 1224-1495) (ABIN7438847)

Target

See all PZP Antibodies
PZP (Pregnancy Zone Protein (PZP))

Reactivity

  • 21
  • 12
  • 7
Mouse

Host

  • 37
  • 1
Rabbit

Clonality

  • 37
  • 1
Polyclonal

Conjugate

  • 18
  • 10
  • 7
  • 3
This PZP antibody is un-conjugated

Application

  • 32
  • 21
  • 13
  • 9
  • 8
  • 5
  • 2
  • 2
  • 1
Western Blotting (WB), Immunohistochemistry (IHC), Immunocytochemistry (ICC), Immunoprecipitation (IP)
  • Binding Specificity

    • 5
    • 3
    • 2
    • 2
    • 2
    • 1
    • 1
    • 1
    • 1
    • 1
    • 1
    • 1
    AA 1224-1495

    Purpose

    Polyclonal Antibody to Pregnancy Zone Protein (PZP)

    Specificity

    The antibody is a rabbit polyclonal antibody raised against PZP. It has been selected for its ability to recognize PZP in immunohistochemical staining and western blotting.

    Purification

    Antigen-specific affinity chromatography followed by Protein A affinity chromatography

    Immunogen

    Recombinant Pregnancy Zone Protein (PZP) corresdonding to Tyr1224~Ala1495 with N-terminal His and GST Tag

    Isotype

    IgG
  • Application Notes

    Western blotting: 0.01-2 μg/mL,Immunohistochemistry: 5-20 μg/mL,Immunocytochemistry: 5-20 μg/mL,Optimal working dilutions must be determined by end user.

    Comment

    The thermal stability is described by the loss rate. The loss rate was determined by accelerated thermal degradation test, that is, incubate the protein at 37°C for 48h, and no obvious degradation and precipitation were observed. The loss rate is less than 5% within the expiration date under appropriate storage condition.

    Restrictions

    For Research Use only
  • Format

    Liquid

    Concentration

    0.5 mg/mL

    Buffer

    0.01M PBS, pH 7.4, containing 0.05 % Proclin-300, 50 % glycerol.

    Preservative

    ProClin, Sodium azide

    Precaution of Use

    This product contains ProClin and Sodium azide: POISONOUS AND HAZARDOUS SUBSTANCES which should be handled by trained staff only.

    Storage

    4 °C,-20 °C

    Storage Comment

    Store at 4°C for frequent use. Stored at -20°C in a manual defrost freezer for two year without detectable loss of activity. Avoid repeated freeze-thaw cycles.

    Expiry Date

    24 months
  • Target

    PZP (Pregnancy Zone Protein (PZP))

    Alternative Name

    Pregnancy Zone Protein

    Background

    CPAMD6, C3 and PZP-like alpha-2-macroglobulin domain-containing protein 6

    UniProt

    Q61838
You are here:
Chat with us!