Phone:
+1 877 302 8632
Fax:
+1 888 205 9894 (Toll-free)
E-Mail:
orders@antibodies-online.com

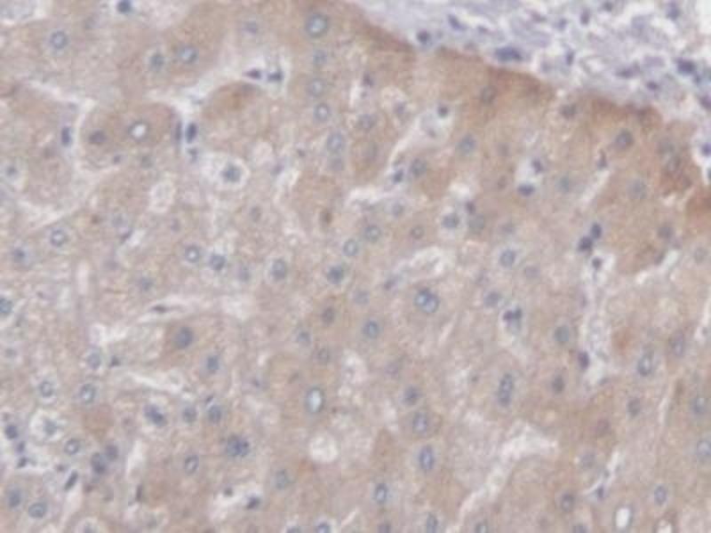
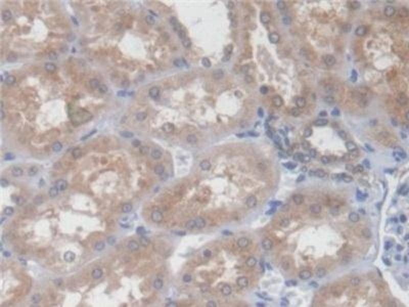
PCYOX1 antibody (AA 174-505)

The Rabbit Polyclonal anti-PCYOX1 antibody (ABIN7436465) specifically detects PCYOX1 in WB and IHC. The antibody is reactive with Human samples.
Catalog No. ABIN7436465
$326.15
Plus shipping costs $50.00
Shipping to: United States
Delivery in 13 to 17 Business Days

Quick Overview for PCYOX1 antibody (AA 174-505) (ABIN7436465)

Target

See all PCYOX1 Antibodies
PCYOX1 (Prenylcysteine Oxidase 1 (PCYOX1))

Reactivity

  • 12
  • 4
  • 3
  • 1
  • 1
  • 1
  • 1
  • 1
  • 1
Human

Host

  • 10
  • 3
Rabbit

Clonality

  • 11
  • 2
Polyclonal

Conjugate

  • 13
This PCYOX1 antibody is un-conjugated

Application

  • 9
  • 7
  • 7
  • 2
  • 2
  • 1
  • 1
  • 1
  • 1
Western Blotting (WB), Immunohistochemistry (IHC)
  • Binding Specificity

    • 2
    • 1
    • 1
    • 1
    • 1
    • 1
    • 1
    AA 174-505

    Purpose

    Polyclonal Antibody to Prenylcysteine Oxidase 1 (PCYOX1)

    Specificity

    The antibody is a rabbit polyclonal antibody raised against PCYOX1. It has been selected for its ability to recognize PCYOX1 in immunohistochemical staining and western blotting.

    Cross-Reactivity

    Mouse

    Purification

    Antigen-specific affinity chromatography followed by Protein A affinity chromatography

    Immunogen

    Recombinant Prenylcysteine Oxidase 1 (PCYOX1) corresdonding to Tyr174~Leu505 with N-terminal His and GST Tag

    Isotype

    IgG
  • Application Notes

    Western blotting: 0.01-2 μg/mL,Immunohistochemistry: 5-20 μg/mL,Immunocytochemistry: 5-20 μg/mL,Optimal working dilutions must be determined by end user.

    Comment

    The thermal stability is described by the loss rate. The loss rate was determined by accelerated thermal degradation test, that is, incubate the protein at 37°C for 48h, and no obvious degradation and precipitation were observed. The loss rate is less than 5% within the expiration date under appropriate storage condition.

    Restrictions

    For Research Use only
  • Format

    Liquid

    Concentration

    0.5 mg/mL

    Buffer

    0.01M PBS, pH 7.4, containing 0.05 % Proclin-300, 50 % glycerol.

    Preservative

    ProClin

    Precaution of Use

    This product contains ProClin: a POISONOUS AND HAZARDOUS SUBSTANCE which should be handled by trained staff only.

    Storage

    4 °C,-20 °C

    Storage Comment

    Store at 4°C for frequent use. Stored at -20°C in a manual defrost freezer for two year without detectable loss of activity. Avoid repeated freeze-thaw cycles.

    Expiry Date

    24 months
  • Target

    PCYOX1 (Prenylcysteine Oxidase 1 (PCYOX1))

    Alternative Name

    PCYOX1

    Background

    PCL1, Prenylcysteine lyase

    UniProt

    Q9UHG3
You are here:
Chat with us!