Phone:
+1 877 302 8632
Fax:
+1 888 205 9894 (Toll-free)
E-Mail:
orders@antibodies-online.com

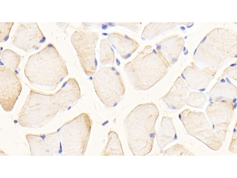
Glutaminase antibody (AA 31-253)

The Rabbit Polyclonal anti-Glutaminase antibody (ABIN7436600) specifically detects Glutaminase in WB and IHC. The antibody is reactive with Mouse samples.
Catalog No. ABIN7436600
$333.16
Plus shipping costs $50.00
Shipping to: United States
Delivery in 13 to 17 Business Days

Quick Overview for Glutaminase antibody (AA 31-253) (ABIN7436600)

Target

See all Glutaminase (GLS) Antibodies
Glutaminase (GLS)

Reactivity

  • 65
  • 39
  • 27
  • 4
  • 3
  • 2
  • 2
  • 2
  • 2
  • 1
Mouse

Host

  • 63
  • 8
Rabbit

Clonality

  • 43
  • 28
Polyclonal

Conjugate

  • 35
  • 6
  • 5
  • 3
  • 3
  • 3
  • 3
  • 3
  • 3
  • 3
  • 1
  • 1
  • 1
  • 1
This Glutaminase antibody is un-conjugated

Application

  • 52
  • 32
  • 31
  • 24
  • 21
  • 12
  • 8
  • 5
  • 1
  • 1
Western Blotting (WB), Immunohistochemistry (IHC)
  • Binding Specificity

    • 11
    • 10
    • 6
    • 3
    • 2
    • 2
    • 1
    • 1
    • 1
    • 1
    • 1
    AA 31-253

    Purpose

    Polyclonal Antibody to Glutaminase (GLS)

    Specificity

    The antibody is a rabbit polyclonal antibody raised against GLS. It has been selected for its ability to recognize GLS in immunohistochemical staining and western blotting.

    Cross-Reactivity

    Human

    Purification

    Antigen-specific affinity chromatography followed by Protein A affinity chromatography

    Immunogen

    Recombinant Glutaminase (GLS) corresdonding to Leu31~Asp253 with N-terminal His Tag

    Isotype

    IgG
  • Application Notes

    Western blotting: 0.01-2 μg/mL,Immunohistochemistry: 5-20 μg/mL,Optimal working dilutions must be determined by end user.

    Comment

    The thermal stability is described by the loss rate. The loss rate was determined by accelerated thermal degradation test, that is, incubate the protein at 37°C for 48h, and no obvious degradation and precipitation were observed. The loss rate is less than 5% within the expiration date under appropriate storage condition.

    Restrictions

    For Research Use only
  • Format

    Liquid

    Concentration

    0.5 mg/mL

    Buffer

    0.01M PBS, pH 7.4, containing 0.05 % Proclin-300, 50 % glycerol.

    Preservative

    ProClin

    Precaution of Use

    This product contains ProClin: a POISONOUS AND HAZARDOUS SUBSTANCE which should be handled by trained staff only.

    Storage

    4 °C,-20 °C

    Storage Comment

    Store at 4°C for frequent use. Stored at -20°C in a manual defrost freezer for two year without detectable loss of activity. Avoid repeated freeze-thaw cycles.

    Expiry Date

    24 months
  • Target

    Glutaminase (GLS)

    Alternative Name

    Glutaminase

    Background

    GLS1, Glutaminase kidney isoform, mitochondrial, K-glutaminase, L-glutamine amidohydrolase

    UniProt

    D3Z7P3

    Pathways

    Feeding Behaviour, Dicarboxylic Acid Transport, Warburg Effect
You are here:
Chat with us!