Phone:
+1 877 302 8632
Fax:
+1 888 205 9894 (Toll-free)
E-Mail:
orders@antibodies-online.com

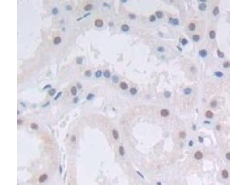
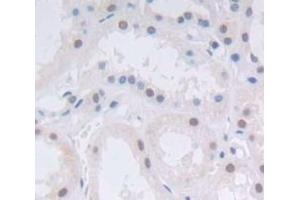
ASCL1 antibody (AA 84-236)

The Rabbit Polyclonal anti-ASCL1 antibody is suitable to detect ASCL1 in samples from Human. It has been validated for WB, IHC, ICC and IP.
Catalog No. ABIN7443467
$326.15
Plus shipping costs $50.00
Shipping to: United States
Delivery in 13 to 17 Business Days

Quick Overview for ASCL1 antibody (AA 84-236) (ABIN7443467)

Target

See all ASCL1 Antibodies
ASCL1 (Achaete-Scute Complex Homolog 1 (Drosophila) (ASCL1))

Reactivity

  • 83
  • 53
  • 35
  • 10
  • 5
  • 5
  • 3
  • 3
  • 3
  • 2
  • 1
Human

Host

  • 84
  • 6
  • 4
Rabbit

Clonality

  • 87
  • 7
Polyclonal

Conjugate

  • 46
  • 9
  • 7
  • 7
  • 4
  • 4
  • 1
  • 1
  • 1
  • 1
  • 1
  • 1
  • 1
  • 1
  • 1
  • 1
  • 1
  • 1
  • 1
  • 1
  • 1
  • 1
  • 1
This ASCL1 antibody is un-conjugated

Application

  • 75
  • 52
  • 28
  • 13
  • 13
  • 11
  • 5
  • 3
  • 3
  • 2
  • 2
  • 1
  • 1
Western Blotting (WB), Immunohistochemistry (IHC), Immunocytochemistry (ICC), Immunoprecipitation (IP)
  • Binding Specificity

    • 15
    • 11
    • 9
    • 8
    • 8
    • 6
    • 6
    • 4
    • 3
    • 2
    • 1
    • 1
    • 1
    • 1
    • 1
    • 1
    • 1
    • 1
    • 1
    • 1
    • 1
    • 1
    • 1
    • 1
    AA 84-236

    Purpose

    Polyclonal Antibody to Achaete Scute Complex Like Protein 1 (ASCL1)

    Specificity

    The antibody is a rabbit polyclonal antibody raised against ASCL1. It has been selected for its ability to recognize ASCL1 in immunohistochemical staining and western blotting.

    Purification

    Antigen-specific affinity chromatography followed by Protein A affinity chromatography

    Immunogen

    Recombinant Achaete Scute Complex Like Protein 1 (ASCL1) corresdonding to Lys84~Phe236 with N-terminal His Tag

    Isotype

    IgG
  • Application Notes

    Western blotting: 0.01-2 μg/mL,Immunohistochemistry: 5-20 μg/mL,Immunocytochemistry: 5-20 μg/mL,Optimal working dilutions must be determined by end user.

    Comment

    The thermal stability is described by the loss rate. The loss rate was determined by accelerated thermal degradation test, that is, incubate the protein at 37°C for 48h, and no obvious degradation and precipitation were observed. The loss rate is less than 5% within the expiration date under appropriate storage condition.

    Restrictions

    For Research Use only
  • Format

    Liquid

    Concentration

    0.5 mg/mL

    Buffer

    PBS, pH 7.4, containing 0.02 % Sodium azide, 50 % glycerol.

    Preservative

    Sodium azide

    Precaution of Use

    This product contains Sodium azide: a POISONOUS AND HAZARDOUS SUBSTANCE which should be handled by trained staff only.

    Storage

    4 °C,-20 °C

    Storage Comment

    Store at 4°C for frequent use. Stored at -20°C in a manual defrost freezer for two year without detectable loss of activity. Avoid repeated freeze-thaw cycles.

    Expiry Date

    24 months
  • Target

    ASCL1 (Achaete-Scute Complex Homolog 1 (Drosophila) (ASCL1))

    Alternative Name

    ASCL1

    Background

    ASH1, HASH1, MASH1, BHLHA46, Achaete Scute Homolog 1, Class A basic helix-loop-helix protein 46

    UniProt

    P50553

    Pathways

    Dopaminergic Neurogenesis
You are here:
Chat with us!