Phone:
+1 877 302 8632
Fax:
+1 888 205 9894 (Toll-free)
E-Mail:
orders@antibodies-online.com

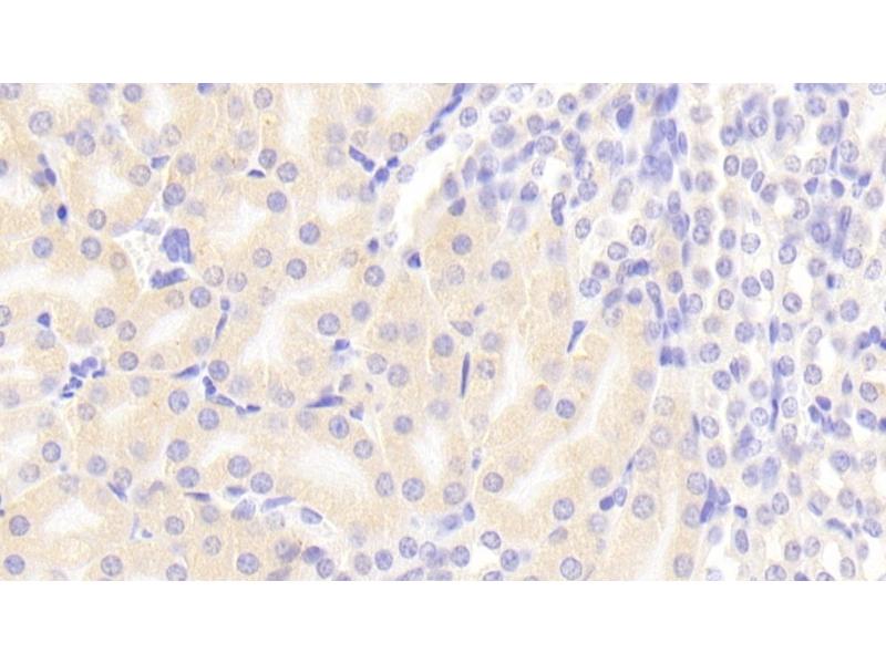
FADD antibody (AA 7-178)

The Rabbit Polyclonal anti-FADD antibody (ABIN7439453) specifically detects FADD in WB and IHC. The antibody is reactive with Mouse samples.
Catalog No. ABIN7439453
$333.16
Plus shipping costs $50.00
Shipping to: United States
Delivery in 13 to 17 Business Days

Quick Overview for FADD antibody (AA 7-178) (ABIN7439453)

Target

See all FADD Antibodies
FADD (Fas (TNFRSF6)-Associated Via Death Domain (FADD))

Reactivity

  • 101
  • 62
  • 20
  • 19
  • 15
Mouse

Host

  • 112
  • 17
Rabbit

Clonality

  • 86
  • 43
Polyclonal

Conjugate

  • 71
  • 8
  • 4
  • 4
  • 4
  • 4
  • 4
  • 4
  • 3
  • 3
  • 2
  • 2
  • 2
  • 2
  • 1
  • 1
  • 1
  • 1
  • 1
  • 1
  • 1
  • 1
  • 1
  • 1
  • 1
  • 1
This FADD antibody is un-conjugated

Application

  • 110
  • 50
  • 48
  • 23
  • 20
  • 15
  • 15
  • 15
  • 12
  • 5
  • 4
  • 3
  • 2
  • 1
Western Blotting (WB), Immunohistochemistry (IHC)
  • Binding Specificity

    • 17
    • 17
    • 15
    • 9
    • 8
    • 8
    • 3
    • 2
    • 2
    • 2
    • 2
    • 1
    • 1
    • 1
    • 1
    • 1
    • 1
    • 1
    • 1
    • 1
    AA 7-178

    Purpose

    Polyclonal Antibody to Fas Associating Death Domain Containing Protein (FADD)

    Specificity

    The antibody is a rabbit polyclonal antibody raised against FADD. It has been selected for its ability to recognize FADD in immunohistochemical staining and western blotting.

    Cross-Reactivity

    Rat

    Purification

    Antigen-specific affinity chromatography followed by Protein A affinity chromatography

    Immunogen

    Recombinant Fas Associating Death Domain Containing Protein (FADD) corresdonding to Leu7~Glu178 with N-terminal His Tag

    Isotype

    IgG
  • Application Notes

    Western blotting: 0.01-2 μg/mL,Immunohistochemistry: 2-20 μg/mL,Optimal working dilutions must be determined by end user.

    Comment

    The thermal stability is described by the loss rate. The loss rate was determined by accelerated thermal degradation test, that is, incubate the protein at 37°C for 48h, and no obvious degradation and precipitation were observed. The loss rate is less than 5% within the expiration date under appropriate storage condition.

    Restrictions

    For Research Use only
  • Format

    Liquid

    Concentration

    0.5 mg/mL

    Buffer

    0.01M PBS, pH 7.4, containing 0.05 % Proclin-300, 50 % glycerol.

    Preservative

    ProClin

    Precaution of Use

    This product contains ProClin: a POISONOUS AND HAZARDOUS SUBSTANCE which should be handled by trained staff only.

    Storage

    4 °C,-20 °C

    Storage Comment

    Store at 4°C for frequent use. Stored at -20°C in a manual defrost freezer for two year without detectable loss of activity. Avoid repeated freeze-thaw cycles.

    Expiry Date

    24 months
  • Target

    FADD (Fas (TNFRSF6)-Associated Via Death Domain (FADD))

    Alternative Name

    FADD

    Background

    GIG3, MORT1, FADD Death Effector Domain, Fas-Associated Protein With Death Domain, Mediator Of Receptor-Induced Toxicity, Growth-Inhibiting Gene 3

    UniProt

    Q61160

    Pathways

    Apoptosis, TLR Signaling, Activation of Innate immune Response, Positive Regulation of Endopeptidase Activity, Toll-Like Receptors Cascades
You are here:
Chat with us!