Phone:
+1 877 302 8632
Fax:
+1 888 205 9894 (Toll-free)
E-Mail:
orders@antibodies-online.com

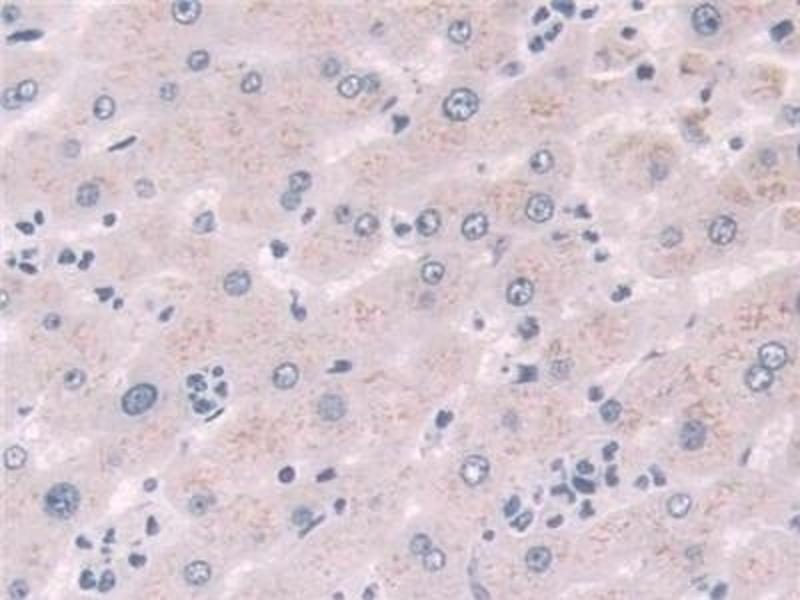
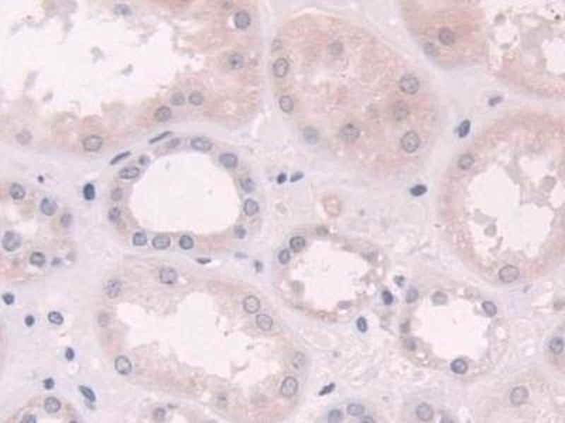
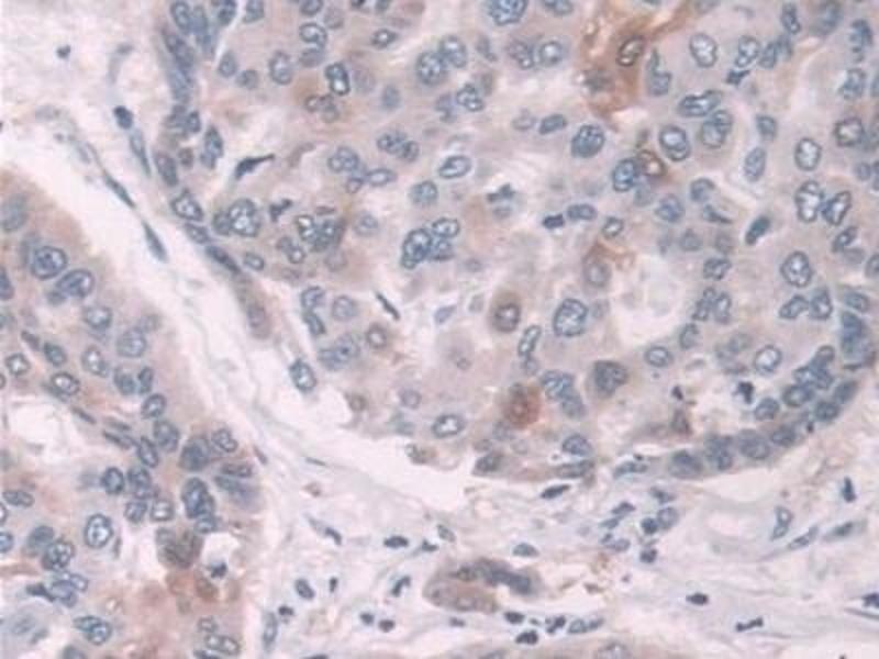
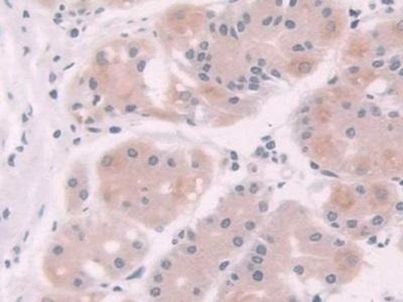
NQO1 antibody (AA 2-274)

The Rabbit Polyclonal anti-NQO1 antibody is suitable to detect NQO1 in samples from Human. It has been validated for WB, IHC, IP, ICC and FACS.
Catalog No. ABIN7430126
$351.18
Plus shipping costs $50.00
Shipping to: United States
Delivery in 13 to 17 Business Days

Quick Overview for NQO1 antibody (AA 2-274) (ABIN7430126)

Target

See all NQO1 Antibodies
NQO1 (NAD(P)H Dehydrogenase, Quinone 1 (NQO1))

Reactivity

  • 81
  • 44
  • 43
  • 4
  • 3
  • 3
  • 3
  • 2
  • 2
  • 1
Human

Host

  • 73
  • 7
  • 2
  • 2
Rabbit

Clonality

  • 58
  • 26
Polyclonal

Conjugate

  • 43
  • 4
  • 3
  • 3
  • 3
  • 3
  • 3
  • 3
  • 3
  • 2
  • 1
  • 1
  • 1
  • 1
  • 1
  • 1
  • 1
  • 1
  • 1
  • 1
  • 1
  • 1
  • 1
  • 1
This NQO1 antibody is un-conjugated

Application

  • 65
  • 27
  • 25
  • 19
  • 17
  • 17
  • 15
  • 14
  • 14
  • 7
  • 4
  • 1
Western Blotting (WB), Immunohistochemistry (IHC), Immunoprecipitation (IP), Immunocytochemistry (ICC), Flow Cytometry (FACS)
  • Binding Specificity

    • 16
    • 8
    • 7
    • 5
    • 2
    • 2
    • 1
    • 1
    • 1
    • 1
    • 1
    • 1
    • 1
    • 1
    • 1
    • 1
    • 1
    AA 2-274

    Purpose

    Polyclonal Antibody to NADH Dehydrogenase, Quinone 1 (NQO1)

    Specificity

    The antibody is a rabbit polyclonal antibody raised against NQO1. It has been selected for its ability to recognize NQO1 in immunohistochemical staining and western blotting.

    Cross-Reactivity

    Mouse, Rat

    Purification

    Antigen-specific affinity chromatography followed by Protein A affinity chromatography

    Immunogen

    Recombinant NADH Dehydrogenase, Quinone 1 (NQO1) corresdonding to Val2~Lys274 with N-terminal His Tag

    Isotype

    IgG
  • Application Notes

    Western blotting: 0.01-2 μg/mL,Immunohistochemistry: 5-20 μg/mL,Immunocytochemistry: 5-20 μg/mL,Flow cytometry:20 μg/mL,Optimal working dilutions must be determined by end user.,

    Comment

    The thermal stability is described by the loss rate. The loss rate was determined by accelerated thermal degradation test, that is, incubate the protein at 37°C for 48h, and no obvious degradation and precipitation were observed. The loss rate is less than 5% within the expiration date under appropriate storage condition.

    Restrictions

    For Research Use only
  • Format

    Liquid

    Concentration

    0.5 mg/mL

    Buffer

    0.01M PBS, pH 7.4, containing 0.05 % Proclin-300, 50 % glycerol.

    Preservative

    ProClin

    Precaution of Use

    This product contains ProClin: a POISONOUS AND HAZARDOUS SUBSTANCE which should be handled by trained staff only.

    Storage

    4 °C,-20 °C

    Storage Comment

    Store at 4°C for frequent use. Stored at -20°C in a manual defrost freezer for two year without detectable loss of activity. Avoid repeated freeze-thaw cycles.

    Expiry Date

    24 months
  • Target

    NQO1 (NAD(P)H Dehydrogenase, Quinone 1 (NQO1))

    Alternative Name

    NQO1

    Background

    DHQU, DIA4, DTD, NMOR1, NMORI, QR1, Azoreductase, DT-diaphorase, Menadione reductase, Phylloquinone reductase, Quinone reductase 1, NAD(P)H:quinone oxidoreductase 1

    UniProt

    P15559
You are here:
Chat with us!