Phone:
+1 877 302 8632
Fax:
+1 888 205 9894 (Toll-free)
E-Mail:
orders@antibodies-online.com

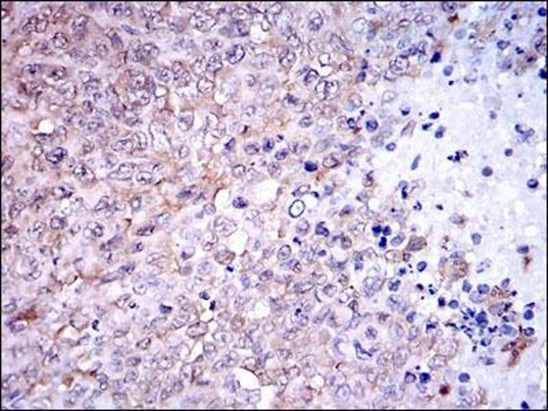
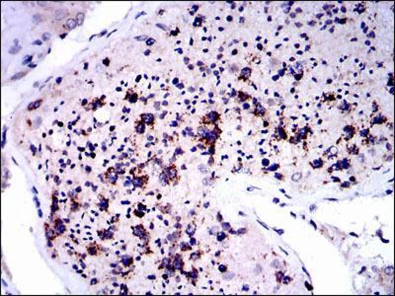
NQO1 antibody

This Mouse Monoclonal antibody specifically detects NQO1 in WB, ELISA, IHC and FACS. It exhibits reactivity toward Human. It has been mentioned in 2+ publications
Catalog No. ABIN969319
$473.33
Plus shipping costs $50.00
100 μL
Shipping to: United States
Delivery in 3 to 5 Business Days

Quick Overview for NQO1 antibody (ABIN969319)

Target

See all NQO1 Antibodies
NQO1 (NAD(P)H Dehydrogenase, Quinone 1 (NQO1))

Reactivity

  • 81
  • 44
  • 43
  • 4
  • 3
  • 3
  • 3
  • 2
  • 2
  • 1
Human

Host

  • 74
  • 6
  • 2
  • 2
Mouse

Clonality

  • 59
  • 25
Monoclonal

Conjugate

  • 43
  • 4
  • 3
  • 3
  • 3
  • 3
  • 3
  • 3
  • 3
  • 2
  • 1
  • 1
  • 1
  • 1
  • 1
  • 1
  • 1
  • 1
  • 1
  • 1
  • 1
  • 1
  • 1
  • 1
This NQO1 antibody is un-conjugated

Application

  • 65
  • 26
  • 25
  • 20
  • 18
  • 17
  • 15
  • 14
  • 14
  • 7
  • 4
  • 1
Western Blotting (WB), ELISA, Immunohistochemistry (IHC), Flow Cytometry (FACS)

Clone

4D12
  • Purpose

    NQO1 Antibody

    Purification

    Ascitic fluid

    Immunogen

    Purified recombinant fragment of human NQO1 expressed in E. Coli.

    Isotype

    IgG1
  • Application Notes

    ELISA: 1/10000

    FCM: 1/200 - 1/400

    Restrictions

    For Research Use only
  • Format

    Liquid

    Buffer

    Ascitic fluid containing 0.03 % sodium azide.

    Preservative

    Sodium azide

    Precaution of Use

    This product contains Sodium azide: a POISONOUS AND HAZARDOUS SUBSTANCE which should be handled by trained staff only.

    Storage

    4 °C,-20 °C

    Storage Comment

    Store at 4°C short term. Aliquot and store at -20°C long term. Avoid freeze/thaw cycles.
  • Kansanen, Jyrkkänen, Volger, Leinonen, Kivelä, Häkkinen, Woodcock, Schopfer, Horrevoets, Ylä-Herttuala, Freeman, Levonen: "Nrf2-dependent and -independent responses to nitro-fatty acids in human endothelial cells: identification of heat shock response as the major pathway activated by nitro-oleic acid." in: The Journal of biological chemistry, Vol. 284, Issue 48, pp. 33233-41, (2009) (PubMed).

    Douglas, Lim, Porter, West, Pink, Ge, Wylie, Tibbits, Biggs, Curtis, Palombella, Adams, Fritz, Normant: "The antiproliferative activity of the heat shock protein 90 inhibitor IPI-504 is not dependent on NAD(P)H:quinone oxidoreductase 1 activity in vivo." in: Molecular cancer therapeutics, Vol. 8, Issue 12, pp. 3369-78, (2009) (PubMed).

  • Target

    NQO1 (NAD(P)H Dehydrogenase, Quinone 1 (NQO1))

    Alternative Name

    NQO1

    Background

    This gene is a member of the NAD(P)H dehydrogenase (quinone) family and encodes a cytoplasmic 2-electron reductase. This FAD-binding protein forms homodimers and reduces quinones to hydroquinones. This protein's enzymatic activity prevents the one electron reduction of quinones that results in the production of radical species. Mutations in this gene have been associated with tardive dyskinesia (TD), an increased risk of hematotoxicity after exposure to benzene, and susceptibility to various forms of cancer. Altered expression of this protein has been seen in many tumors and is also associated with Alzheimer's disease (AD). Alternate transcriptional splice variants, encoding different isoforms, have been characterized.

    Molecular Weight

    31 kDa

    Gene ID

    1728

    UniProt

    P15559
You are here:
Chat with us!