Phone:
+1 877 302 8632
Fax:
+1 888 205 9894 (Toll-free)
E-Mail:
orders@antibodies-online.com

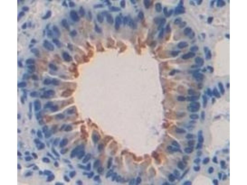
SLURP1 antibody (AA 1-110)

The Rabbit Polyclonal anti-SLURP1 antibody (ABIN7443746) specifically detects SLURP1 in WB and IHC. The antibody is reactive with Mouse samples.
Catalog No. ABIN7443746
$358.20
Plus shipping costs $50.00
Shipping to: United States
Delivery in 13 to 17 Business Days

Quick Overview for SLURP1 antibody (AA 1-110) (ABIN7443746)

Target

See all SLURP1 Antibodies
SLURP1 (Secreted LY6/PLAUR Domain Containing 1 (SLURP1))

Reactivity

  • 36
  • 2
  • 1
Mouse

Host

  • 32
  • 5
Rabbit

Clonality

  • 34
  • 3
Polyclonal

Conjugate

  • 13
  • 3
  • 2
  • 2
  • 1
  • 1
  • 1
  • 1
  • 1
  • 1
  • 1
  • 1
  • 1
  • 1
  • 1
  • 1
  • 1
  • 1
  • 1
  • 1
  • 1
This SLURP1 antibody is un-conjugated

Application

  • 24
  • 13
  • 9
  • 6
  • 4
  • 3
  • 2
  • 1
Western Blotting (WB), Immunohistochemistry (IHC)
  • Binding Specificity

    • 5
    • 5
    • 2
    • 1
    • 1
    • 1
    AA 1-110

    Purpose

    Polyclonal Antibody to Secreted Ly6/uPAR Related Protein 1 (SLURP1)

    Specificity

    The antibody is a rabbit polyclonal antibody raised against SLURP1. It has been selected for its ability to recognize SLURP1 in immunohistochemical staining and western blotting.

    Purification

    Antigen-specific affinity chromatography followed by Protein A affinity chromatography

    Immunogen

    Recombinant Secreted Ly6/uPAR Related Protein 1 (SLURP1) corresdonding to Met1~Leu110 with N-terminal His and GST Tag

    Isotype

    IgG
  • Application Notes

    Western blotting: 0.01-2 μg/mL,Immunohistochemistry: 5-20 μg/mL,Optimal working dilutions must be determined by end user.

    Comment

    The thermal stability is described by the loss rate. The loss rate was determined by accelerated thermal degradation test, that is, incubate the protein at 37°C for 48h, and no obvious degradation and precipitation were observed. The loss rate is less than 5% within the expiration date under appropriate storage condition.

    Restrictions

    For Research Use only
  • Format

    Liquid

    Concentration

    0.46 mg/mL

    Buffer

    0.01M PBS, pH 7.4, containing 0.05 % Proclin-300, 50 % glycerol.

    Preservative

    ProClin

    Precaution of Use

    This product contains ProClin: a POISONOUS AND HAZARDOUS SUBSTANCE which should be handled by trained staff only.

    Storage

    4 °C,-20 °C

    Storage Comment

    Store at 4°C for frequent use. Stored at -20°C in a manual defrost freezer for two year without detectable loss of activity. Avoid repeated freeze-thaw cycles.

    Expiry Date

    24 months
  • Target

    SLURP1 (Secreted LY6/PLAUR Domain Containing 1 (SLURP1))

    Alternative Name

    SLURP1

    Background

    ARS, ANUP, ArsB, LY6LS, MDM, Lymphocyte Antigen 6-Like Secreted, ARS Component B, Anti-neoplastic urinary protein

    UniProt

    Q9Z0K7
You are here:
Chat with us!