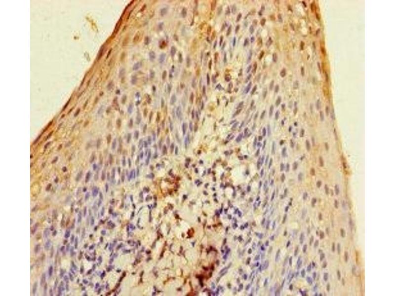
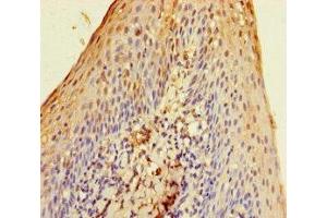
SLURP1 antibody (AA 23-103)
Quick Overview for SLURP1 antibody (AA 23-103) (ABIN7168695)
Target
See all SLURP1 AntibodiesReactivity
Host
Clonality
Conjugate
Application
-
-
Binding Specificity
- AA 23-103
-
Purpose
- SLURP1 Antibody
-
Purification
- Protein G purified
-
Purity
- >95 %
-
Immunogen
- Recombinant Human Secreted Ly-6/uPAR-related protein 1 protein (23-103AA)
-
Isotype
- IgG
-
-
-
-
Application Notes
- Optimal working dilution should be determined by the investigator.
-
Restrictions
- For Research Use only
-
-
-
Format
- Liquid
-
Buffer
-
Preservative: 0.03 % Proclin 300
Constituents: 50 % Glycerol, 0.01M PBS, PH 7.4 -
Preservative
- ProClin
-
Precaution of Use
- This product contains ProClin: a POISONOUS AND HAZARDOUS SUBSTANCE which should be handled by trained staff only.
-
Storage
- -20 °C,-80 °C
-
Storage Comment
- Upon receipt, store at -20°C or -80°C. Avoid repeated freeze.
-
-
- SLURP1 (Secreted LY6/PLAUR Domain Containing 1 (SLURP1))
-
Alternative Name
- SLURP1
-
Background
-
Background: Has an antitumor activity. Was found to be a marker of late differentiation of the skin. Implicated in maintaining the physiological and structural integrity of the keratinocyte layers of the skin.
Aliases: SLURP1 antibody, ARS antibody, Secreted Ly-6/uPAR-related protein 1 antibody, SLURP-1 antibody, ARS component B antibody, ARS(component B)-81/S antibody, Anti-neoplastic urinary protein antibody, ANUP antibody
-
UniProt
- P55000
Target
-