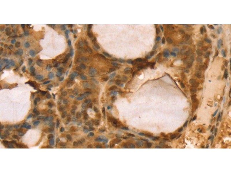
The Rabbit Polyclonal anti-TAF11 antibody is suitable to detect TAF11 in samples from Human, Mouse and Rat. It has been validated for WB, ELISA and IHC.
TAF11
Reactivity: Human
WB, ELISA
Host: Rabbit
Polyclonal
HRP
Application Notes
WB 1:500-1:2000, IHC 1:35-1:150
Restrictions
For Research Use only
Format
Liquid
Concentration
0.5 mg/mL
Buffer
PBS with 0.05 % sodium azide and 50 % glycerol, PH7.4
Preservative
Sodium azide
Precaution of Use
This product contains Sodium azide: a POISONOUS AND HAZARDOUS SUBSTANCE which should be handled by trained staff only.
Storage
-20 °C
Storage Comment
Store at -20°C. Avoid freeze / thaw cycles.
Target
TAF11
(TATA Box Binding Protein Associated Factor 11 (TAF11))
Alternative Name
TAF11
Background
Initiation of transcription by RNA polymerase II requires the activities of more than 70 polypeptides. The protein that coordinates these activities is transcription factor IID (TFIID), which binds to the core promoter to position the polymerase properly, serves as the scaffold for assembly of the remainder of the transcription complex, and acts as a channel for regulatory signals. TFIID is composed of the TATA-binding protein (TBP) and a group of evolutionarily conserved proteins known as TBP-associated factors or TAFs. TAFs may participate in basal transcription, serve as coactivators, function in promoter recognition or modify general transcription factors (GTFs) to facilitate complex assembly and transcription initiation. This gene encodes a small subunit of TFIID that is present in all TFIID complexes and interacts with TBP. This subunit also interacts with another small subunit, TAF13, to form a heterodimer with a structure similar to the histone core structure. Two transcript variants encoding different isoforms have been found for this gene.