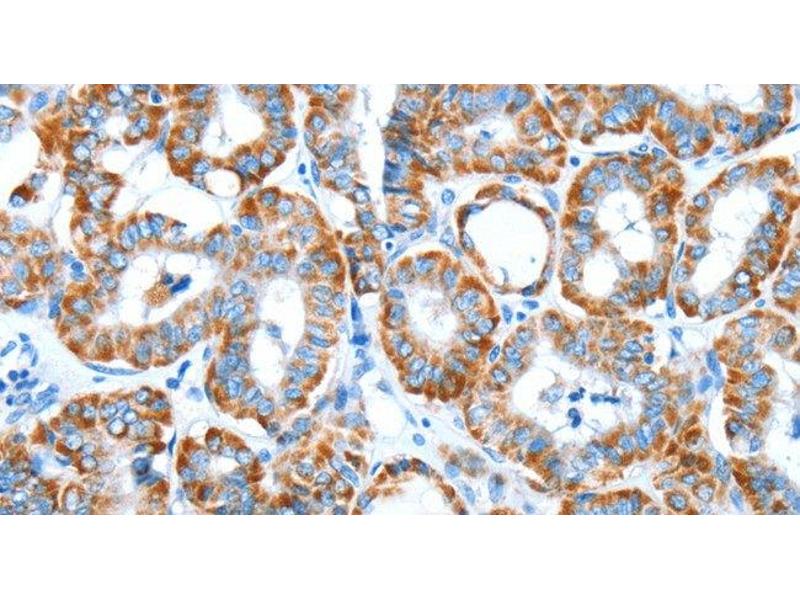
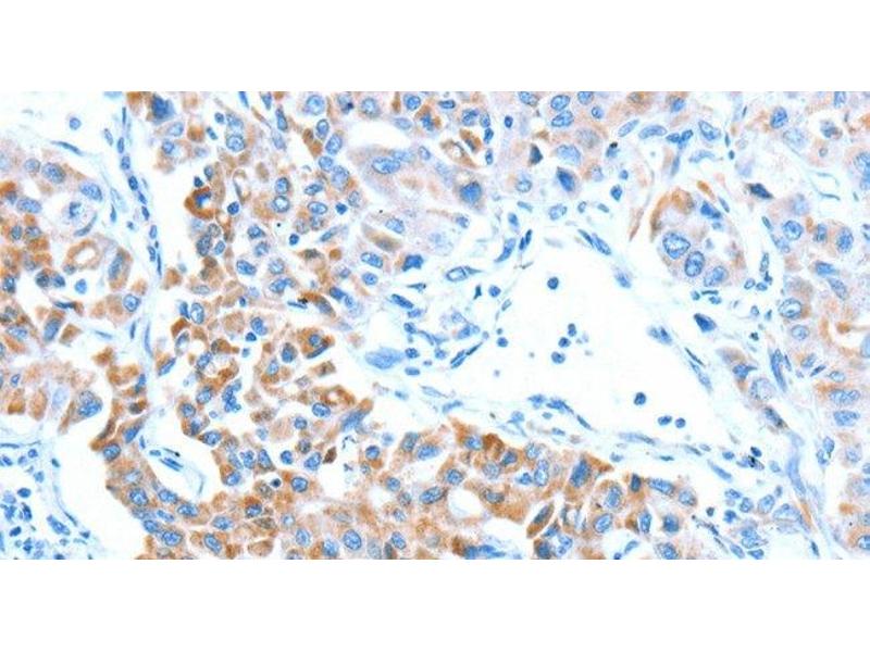
The Rabbit Polyclonal anti-ALDH5A1 antibody (ABIN7238516) specifically detects ALDH5A1 in ELISA and IHC.
The antibody is reactive with Human, Rat and Mouse samples.
PBS with 0.05 % sodium azide and 50 % glycerol, PH7.4
Preservative
Sodium azide
Precaution of Use
This product contains Sodium azide: a POISONOUS AND HAZARDOUS SUBSTANCE which should be handled by trained staff only.
Storage
-20 °C
Storage Comment
Store at -20°C. Avoid freeze / thaw cycles.
Target
ALDH5A1
(Aldehyde Dehydrogenase 5 Family, Member A1 (ALDH5A1))
Alternative Name
ALDH5A1
Background
This protein belongs to the aldehyde dehydrogenase family of proteins. This gene encodes a mitochondrial NAD(+)-dependent succinic semialdehyde dehydrogenase. A deficiency of this enzyme, known as 4-hydroxybutyricaciduria, is a rare inborn error in the metabolism of the neurotransmitter 4-aminobutyric acid (GABA). In response to the defect, physiologic fluids from patients accumulate GHB, a compound with numerous neuromodulatory properties. Two transcript variants encoding distinct isoforms have been identified for this gene.