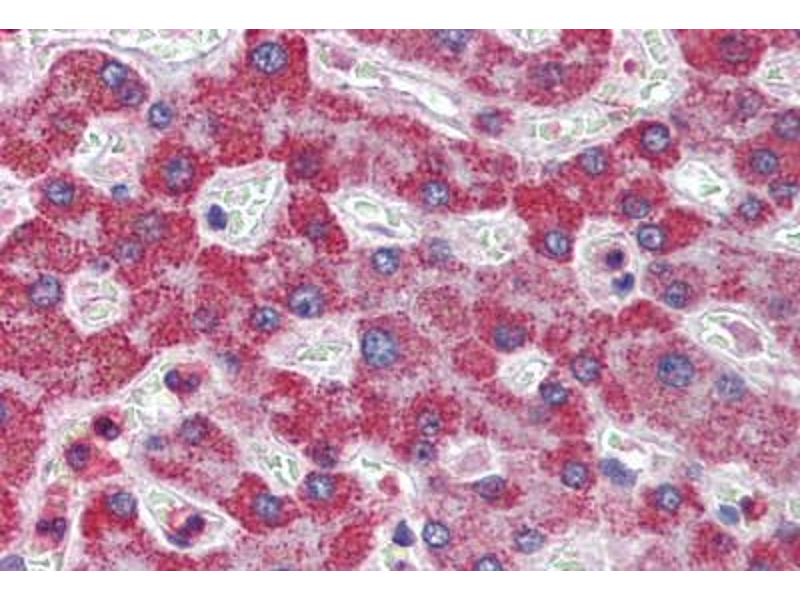
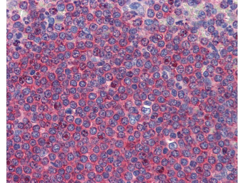
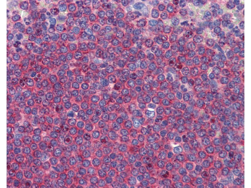
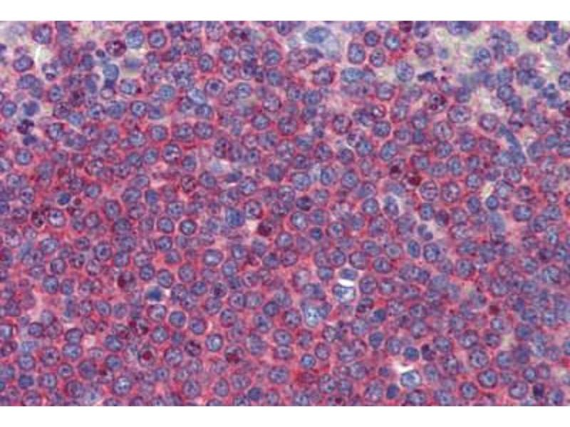
ALDH5A1 antibody (C-Term)
Quick Overview for ALDH5A1 antibody (C-Term) (ABIN574091)
Target
See all ALDH5A1 AntibodiesReactivity
Host
Clonality
Conjugate
Application
-
-
Binding Specificity
- C-Term
-
Purification
- Immunoaffinity purified
-
Isotype
- IgG
-
-
-
-
Application Notes
-
Approved: IHC, IHC-P (5 μg/mL), WB (1 - 2 μg/mL)
Usage: Aldh5A1 antibody can be used for detection of Aldh5A1 by Western blot at 1-2 μg/mL -
Comment
-
Target Species of Antibody: Human
-
Restrictions
- For Research Use only
-
-
-
Format
- Liquid
-
Concentration
- Lot specific
-
Buffer
- PBS, 0.02 % sodium azide
-
Preservative
- Sodium azide
-
Precaution of Use
- This product contains Sodium azide: a POISONOUS AND HAZARDOUS SUBSTANCE which should be handled by trained staff only.
-
Handling Advice
- avoid freeze thaw cycles. Store undiluted.
-
Storage
- 4 °C,-20 °C
-
Storage Comment
- Store at 4°C for 3 months and -20°C, stable for up to 1 year. Avoid repeated freeze-thaw cycles.
-
Expiry Date
- 12 months
-
-
- ALDH5A1 (Aldehyde Dehydrogenase 5 Family, Member A1 (ALDH5A1))
-
Alternative Name
- ALDH5A1
-
Background
-
Name/Gene ID: ALDH5A1
Synonyms: ALDH5A1, SSADH, SSDH -
Gene ID
- 7915
-
UniProt
- P51649
-
Pathways
- Monocarboxylic Acid Catabolic Process
Target
-