Phone:
+1 877 302 8632
Fax:
+1 888 205 9894 (Toll-free)
E-Mail:
orders@antibodies-online.com

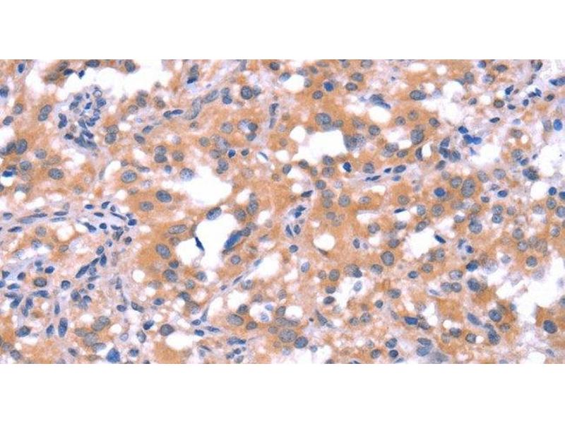
FAT1 antibody

The Rabbit Polyclonal anti-FAT1 antibody is suitable to detect FAT1 in samples from Human. It has been validated for ELISA and IHC.
Catalog No. ABIN7238957
$538.80
Plus shipping costs $50.00
Shipping to: United States
Delivery in 11 to 15 Business Days

Quick Overview for FAT1 antibody (ABIN7238957)

Target

See all FAT1 Antibodies
FAT1 (FAT Tumor Suppressor Homolog 1 (FAT1))

Reactivity

  • 17
  • 3
  • 1
  • 1
Human

Host

  • 14
  • 6
Rabbit

Clonality

  • 14
  • 6
Polyclonal

Conjugate

  • 13
  • 1
  • 1
  • 1
  • 1
  • 1
  • 1
  • 1
This FAT1 antibody is un-conjugated

Application

  • 9
  • 2
  • 2
  • 1
  • 1
  • 1
  • 1
  • 1
ELISA, Immunohistochemistry (IHC)
  • Characteristics

    Polyclonal Antibody

    Purification

    Affinity purification

    Immunogen

    Synthetic peptide of human FAT1

    Isotype

    IgG
  • Application Notes

    IHC 1:50-1:200

    Restrictions

    For Research Use only
  • Format

    Liquid

    Concentration

    0.4 mg/mL

    Buffer

    PBS with 0.05 % sodium azide and 50 % glycerol, PH7.4

    Preservative

    Sodium azide

    Precaution of Use

    This product contains Sodium azide: a POISONOUS AND HAZARDOUS SUBSTANCE which should be handled by trained staff only.

    Storage

    -20 °C

    Storage Comment

    Store at -20°C. Avoid freeze / thaw cycles.
  • Target

    FAT1 (FAT Tumor Suppressor Homolog 1 (FAT1))

    Alternative Name

    FAT1

    Background

    This gene is an ortholog of the Drosophila fat gene, which encodes a tumor suppressor essential for controlling cell proliferation during Drosophila development. The gene product is a member of the cadherin superfamily, a group of integral membrane proteins characterized by the presence of cadherin-type repeats. In addition to containing 34 tandem cadherin-type repeats, the gene product has five epidermal growth factor (EGF)-like repeats and one laminin A-G domain. This gene is expressed at high levels in a number of fetal epithelia. Its product probably functions as an adhesion molecule and/or signaling receptor, and is likely to be important in developmental processes and cell communication. Transcript variants derived from alternative splicing and/or alternative promoter usage exist, but they have not been fully described.

    NCBI Accession

    NP_005236

    UniProt

    Q14517
You are here:
Chat with us!