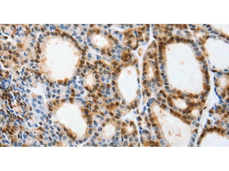
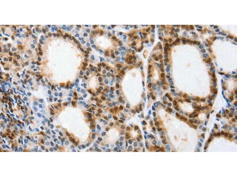
Selenoprotein S antibody
Quick Overview for Selenoprotein S antibody (ABIN7242446)
Target
See all Selenoprotein S (SELS) AntibodiesReactivity
Host
Clonality
Conjugate
Application
-
-
Characteristics
- Polyclonal Antibody
-
Purification
- Affinity purification
-
Immunogen
- Synthetic peptide of human VIMP
-
Isotype
- IgG
-
-
-
-
Application Notes
- IHC 1:50-1:200
-
Restrictions
- For Research Use only
-
-
-
Format
- Liquid
-
Concentration
- 0.4 mg/mL
-
Buffer
- PBS with 0.05 % sodium azide and 50 % glycerol, PH7.4
-
Preservative
- Sodium azide
-
Precaution of Use
- This product contains Sodium azide: a POISONOUS AND HAZARDOUS SUBSTANCE which should be handled by trained staff only.
-
Storage
- -20 °C
-
Storage Comment
- Store at -20°C. Avoid freeze / thaw cycles.
-
-
- Selenoprotein S (SELS)
-
Alternative Name
- SELENOS
-
Background
- This gene encodes a selenoprotein, which contains a selenocysteine (Sec) residue at its active site. The selenocysteine is encoded by the UGA codon that normally signals translation termination. The 3' UTR of selenoprotein genes have a common stem-loop structure, the sec insertion sequence (SECIS), that is necessary for the recognition of UGA as a Sec codon rather than as a stop signal. Studies suggest that this protein may regulate cytokine production, and thus play a key role in the control of the inflammatory response. Two alternatively spliced transcript variants encoding the same protein have been found for this gene.
-
NCBI Accession
- NP_060915
-
UniProt
- Q9BQE4
-
Pathways
- Cellular Response to Molecule of Bacterial Origin, ER-Nucleus Signaling, Regulation of Carbohydrate Metabolic Process, Cell RedoxHomeostasis, Negative Regulation of intrinsic apoptotic Signaling, SARS-CoV-2 Protein Interactome
Target
-