Phone:
+1 877 302 8632
Fax:
+1 888 205 9894 (Toll-free)
E-Mail:
orders@antibodies-online.com

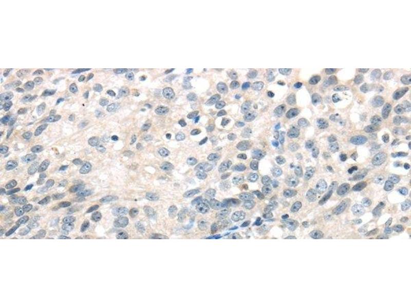
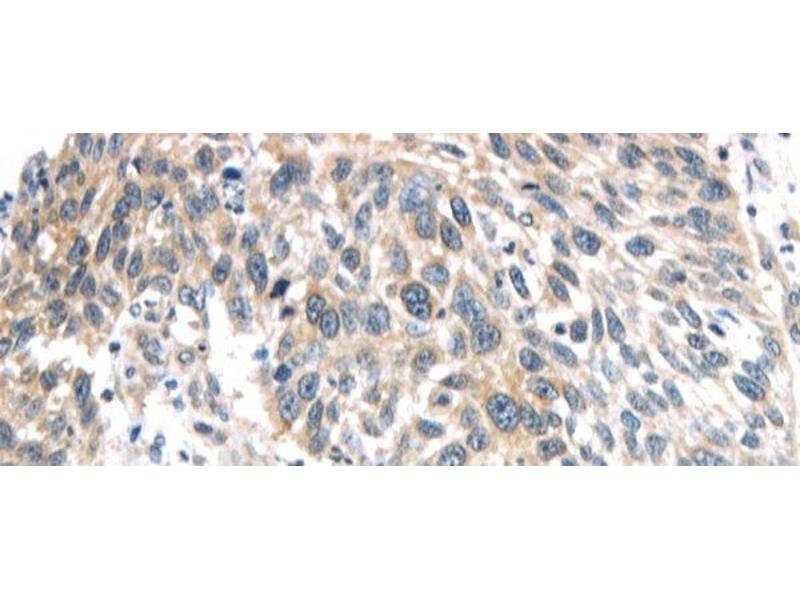
IQGAP2 antibody

The Rabbit Polyclonal anti-IQGAP2 antibody is suitable to detect IQGAP2 in samples from Human and Mouse. It has been validated for IHC and ELISA.
Catalog No. ABIN7244252
$538.80
Plus shipping costs $50.00
Shipping to: United States
Delivery in 11 to 15 Business Days

Quick Overview for IQGAP2 antibody (ABIN7244252)

Target

See all IQGAP2 Antibodies
IQGAP2 (IQ Motif Containing GTPase Activating Protein 2 (IQGAP2))

Reactivity

  • 65
  • 14
  • 2
  • 2
  • 2
  • 2
  • 2
  • 1
  • 1
Human, Mouse

Host

  • 64
  • 1
Rabbit

Clonality

  • 40
  • 25
Polyclonal

Conjugate

  • 19
  • 5
  • 3
  • 3
  • 3
  • 3
  • 3
  • 3
  • 3
  • 3
  • 2
  • 2
  • 1
  • 1
  • 1
  • 1
  • 1
  • 1
  • 1
  • 1
  • 1
  • 1
  • 1
  • 1
  • 1
This IQGAP2 antibody is un-conjugated

Application

  • 40
  • 25
  • 17
  • 14
  • 13
  • 11
  • 11
  • 4
  • 3
  • 3
Immunohistochemistry (IHC), ELISA
You are here:
Chat with us!