Phone:
+1 877 302 8632
Fax:
+1 888 205 9894 (Toll-free)
E-Mail:
orders@antibodies-online.com

IQGAP2 antibody (AA 1330-1440)

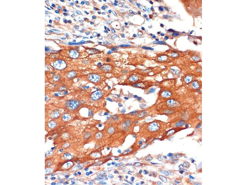
The Rabbit Polyclonal anti-IQGAP2 antibody (ABIN7268022) specifically detects IQGAP2 in WB and IHC. The antibody is reactive with Human samples.
Catalog No. ABIN7268022
$383.00
Plus shipping costs $50.00
Shipping to: United States
Delivery in 7 to 10 Business Days

Quick Overview for IQGAP2 antibody (AA 1330-1440) (ABIN7268022)

Target

See all IQGAP2 Antibodies
IQGAP2 (IQ Motif Containing GTPase Activating Protein 2 (IQGAP2))

Reactivity

  • 65
  • 15
  • 2
  • 2
  • 2
  • 2
  • 2
  • 1
  • 1
Human

Host

  • 64
  • 1
Rabbit

Clonality

  • 40
  • 25
Polyclonal

Conjugate

  • 19
  • 5
  • 3
  • 3
  • 3
  • 3
  • 3
  • 3
  • 3
  • 3
  • 2
  • 2
  • 1
  • 1
  • 1
  • 1
  • 1
  • 1
  • 1
  • 1
  • 1
  • 1
  • 1
  • 1
  • 1
This IQGAP2 antibody is un-conjugated

Application

  • 39
  • 25
  • 18
  • 14
  • 13
  • 11
  • 11
  • 4
  • 3
  • 3
Western Blotting (WB), Immunohistochemistry (IHC)
  • Binding Specificity

    • 15
    • 8
    • 4
    • 3
    • 1
    • 1
    • 1
    • 1
    AA 1330-1440

    Purpose

    IQGAP2 Rabbit pAb

    Sequence

    QQEVDHATDM VSRAMIDSRT PEEMKHSQSM IEDAQLPLEQ KKRKIQRNLR TLEQTGHVSS ENKYQDILNE IAKDIRNQRI YRKLRKAELA KLQQTLNALN KKAAFYEEQI N

    Cross-Reactivity

    Human, Mouse, Rat

    Characteristics

    Polyclonal Antibodies

    Purification

    Affinity purification

    Immunogen

    Recombinant fusion protein containing a sequence corresponding to amino acids 1330-1440 of human IQGAP2 (NP_006624.2).

    Isotype

    IgG
  • Application Notes

    WB,1:200 - 1:2000,IHC,1:50 - 1:200

    Restrictions

    For Research Use only
  • Format

    Liquid

    Buffer

    PBS with 0.02 % sodium azide,50 % glycerol, pH 7.3.

    Preservative

    Sodium azide

    Precaution of Use

    This product contains Sodium azide: a POISONOUS AND HAZARDOUS SUBSTANCE which should be handled by trained staff only.

    Storage

    -20 °C

    Storage Comment

    Store at -20°C. Avoid freeze / thaw cycles.
  • Target

    IQGAP2 (IQ Motif Containing GTPase Activating Protein 2 (IQGAP2))

    Alternative Name

    IQGAP2

    Background

    This gene encodes a member of the IQGAP family. The encoded protein contains three IQ domains, one calponin homology domain, one Ras-GAP domain and one WW domain. This protein interacts with components of the cytoskeleton, with cell adhesion molecules, and with several signaling molecules to regulate cell morphology and motility. It also acts as a tumor suppressor and has been found to play a role in regulating innate antiviral responses. Alternative splicing results in multiple transcript variants.,IQGAP2,Signal Transduction,G protein signaling,Signal Transduction,Cell Biology & Developmental Biology,Cell Adhesion,Neuroscience,Calcium Signaling,IQGAP2

    Molecular Weight

    122kDa/180kDa

    Gene ID

    10788

    UniProt

    Q13576
You are here:
Chat with us!