VPS4A antibody
Quick Overview for VPS4A antibody (ABIN7244423)
Target
See all VPS4A AntibodiesReactivity
Host
Clonality
Conjugate
Application
-
-
Characteristics
- Polyclonal Antibody
-
Purification
- Affinity purification
-
Immunogen
- Synthetic peptide of human VPS4A
-
Isotype
- IgG
-
-
-
-
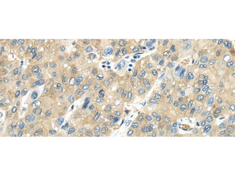
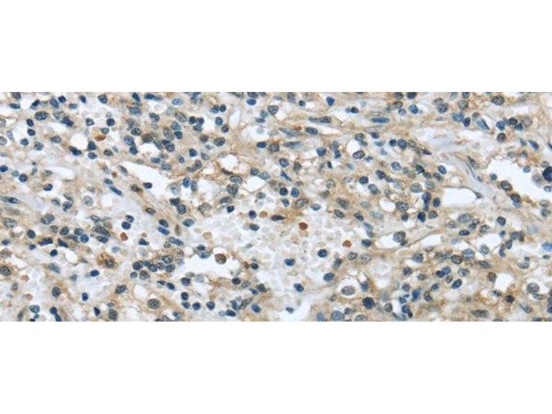
Application Notes
- IHC 1:30-150, ELISA 1:2000-10000
-
Restrictions
- For Research Use only
-
-
-
Format
- Liquid
-
Concentration
- 0.6 mg/mL
-
Buffer
- PBS with 0.05 % sodium azide and 50 % glycerol, PH7.4
-
Preservative
- Sodium azide
-
Precaution of Use
- This product contains Sodium azide: a POISONOUS AND HAZARDOUS SUBSTANCE which should be handled by trained staff only.
-
Storage
- -20 °C
-
Storage Comment
- Store at -20°C. Avoid freeze / thaw cycles.
-
-
- VPS4A (Vacuolar Protein Sorting-Associated Protein 4A (VPS4A))
-
Alternative Name
- VPS4A
-
Background
- The protein encoded by this gene is a member of the AAA protein family (ATPases associated with diverse cellular activities), and is the homolog of the yeast Vps4 protein. In humans, two paralogs of the yeast protein have been identified. The former share a high degree of aa sequence similarity with each other, and also with yeast Vps4 and mouse Skd1 proteins. The mouse Skd1 (suppressor of K+ transport defect 1) has been shown to be really an yeast Vps4 ortholog. Functional studies indicate that both human paralogs associate with the endosomal compartments, and are involved in intracellular protein trafficking, similar to Vps4 protein in yeast. The gene encoding this paralog has been mapped to chromosome 16, the gene for the other resides on chromosome 18.
-
NCBI Accession
- NP_037377
-
UniProt
- Q9UN37
-
Pathways
- Microtubule Dynamics, CXCR4-mediated Signaling Events
Target
-