Phone:
+1 877 302 8632
Fax:
+1 888 205 9894 (Toll-free)
E-Mail:
orders@antibodies-online.com

ELANE antibody

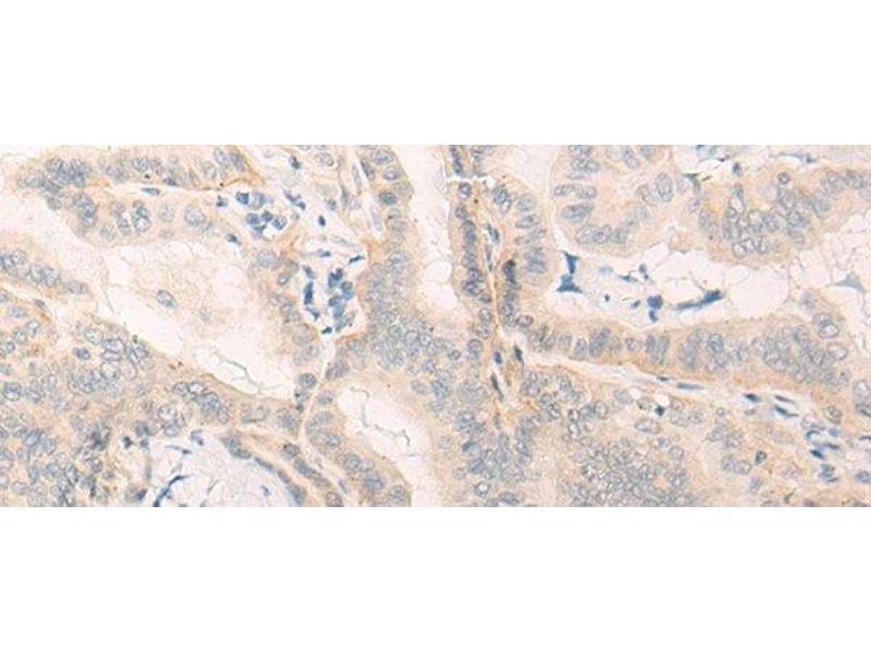
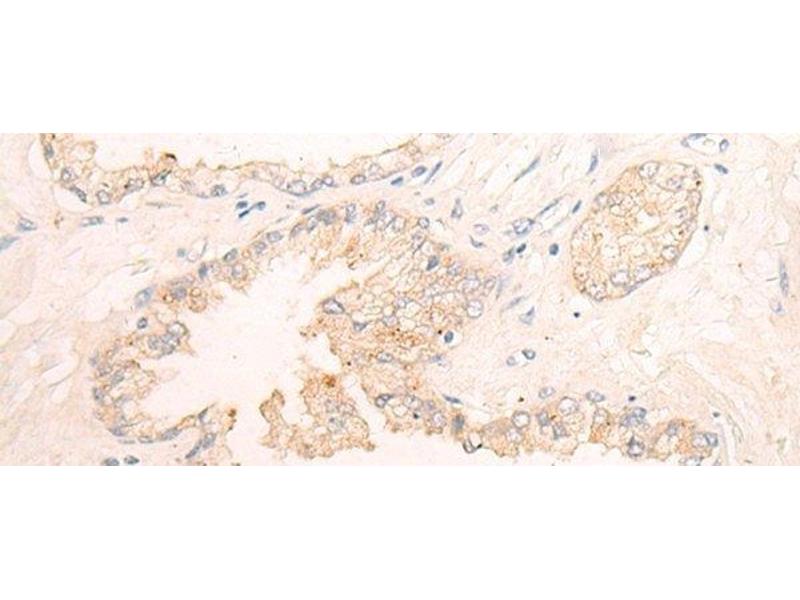
The Rabbit Polyclonal anti-ELANE antibody (ABIN7244825) specifically detects ELANE in ELISA and IHC. The antibody is reactive with Human samples.
Catalog No. ABIN7244825
$538.80
Plus shipping costs $50.00
Shipping to: United States
Delivery in 11 to 15 Business Days

Quick Overview for ELANE antibody (ABIN7244825)

Target

See all ELANE Antibodies
ELANE (Elastase, Neutrophil Expressed (ELANE))

Reactivity

  • 83
  • 6
  • 6
  • 2
  • 1
Human

Host

  • 62
  • 20
  • 5
  • 1
Rabbit

Clonality

  • 48
  • 40
Polyclonal

Conjugate

  • 49
  • 6
  • 5
  • 3
  • 3
  • 3
  • 3
  • 3
  • 3
  • 3
  • 2
  • 2
  • 1
  • 1
  • 1
This ELANE antibody is un-conjugated

Application

  • 50
  • 33
  • 29
  • 22
  • 19
  • 18
  • 8
  • 5
  • 3
  • 3
  • 3
  • 3
  • 3
  • 2
  • 2
  • 2
  • 1
  • 1
ELISA, Immunohistochemistry (IHC)
  • Characteristics

    Polyclonal Antibody

    Purification

    Antigen affinity purification

    Immunogen

    Synthetic peptide of human ELANE

    Isotype

    IgG
  • Application Notes

    IHC 1:30-1:150, ELISA 1:5000-1:10000

    Restrictions

    For Research Use only
  • Format

    Liquid

    Concentration

    0.9 mg/mL

    Buffer

    PBS with 0.05 % Sodium azide and 40 % Glycerol, pH 7.4

    Preservative

    Sodium azide

    Precaution of Use

    This product contains Sodium azide: a POISONOUS AND HAZARDOUS SUBSTANCE which should be handled by trained staff only.

    Storage

    -20 °C

    Storage Comment

    Store at -20°C. Avoid freeze / thaw cycles.
  • Target

    ELANE (Elastase, Neutrophil Expressed (ELANE))

    Alternative Name

    ELANE

    Background

    Elastases form a subfamily of serine proteases that hydrolyze many proteins in addition to elastin. Humans have six elastase genes which encode structurally similar proteins. The encoded preproprotein is proteolytically processed to generate the active protease. Following activation, this protease hydrolyzes proteins within specialized neutrophil lysosomes, called azurophil granules, as well as proteins of the extracellular matrix. The enzyme may play a role in degenerative and inflammatory diseases through proteolysis of collagen-IV and elastin. This protein also degrades the outer membrane protein A (OmpA) of E. coli as well as the virulence factors of such bacteria as Shigella, Salmonella and Yersinia. Mutations in this gene are associated with cyclic neutropenia and severe congenital neutropenia (SCN). This gene is present in a gene cluster on chromosome 19.

    UniProt

    P08246
You are here:
Chat with us!