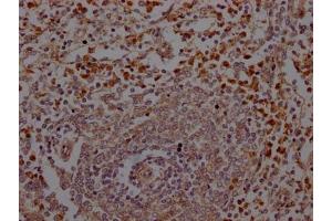
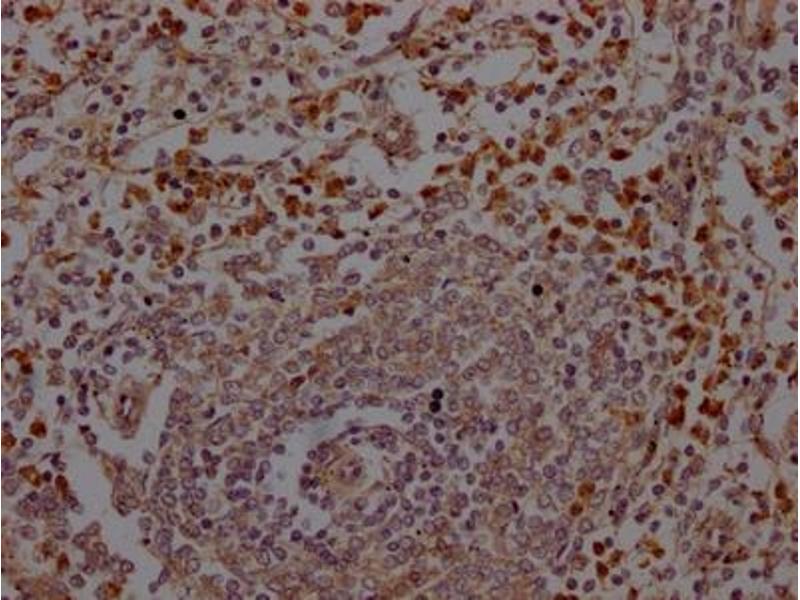
Recombinant ELANE antibody
Quick Overview for Recombinant ELANE antibody (ABIN7127640)
Target
See all ELANE AntibodiesAntibody Type
Reactivity
Host
Clonality
Conjugate
Application
Clone
-
-
Purpose
- ELANE Recombinant Monoclonal Antibody
-
Purification
- Affinity-chromatography
-
Immunogen
- A synthesized peptide derived from human Neutrophil Elastase
-
Isotype
- IgG
-
-
-
-
Application Notes
- IHC:1:50-1:200, FC:1:20-1:200
-
Restrictions
- For Research Use only
-
-
-
Format
- Liquid
-
Buffer
- phosphate buffered saline, pH 7.4, 150 mM NaCl, 0.02 % sodium azide and 50 % glycerol.
-
Preservative
- Sodium azide
-
Precaution of Use
- This product contains Sodium azide: a POISONOUS AND HAZARDOUS SUBSTANCE which should be handled by trained staff only.
-
Storage
- -20 °C,-80 °C
-
Storage Comment
- Upon receipt, store at -20°C or -80°C. Avoid repeated freeze.
-
-
- ELANE (Elastase, Neutrophil Expressed (ELANE))
-
Alternative Name
- ELANE
-
Background
-
Background: Modifies the functions of natural killer cells, monocytes and granulocytes. Inhibits C5a-dependent neutrophil enzyme release and chemotaxis.
Aliases: Neutrophil elastase (EC 3.4.21.37) (Bone marrow serine protease) (Elastase-2) (Human leukocyte elastase) (HLE) (Medullasin) (PMN elastase), ELANE, ELA2
-
UniProt
- P08246
Target
-